아카이브 요약
이 페이지의 역할
서울센텀치과의원 신사역의 네이버 블로그 원문을 보존한 아카이브 페이지입니다. 사랑니발치 카테고리의 사랑니 발치 통증 붓기 줄이는 법 글을 통해 병원의 한국어 정보 제공 방식과 진료 관련 안내 톤을 확인할 수 있습니다.
원문 검증
필요하면 원문 블로그와 병원 프로필로 바로 이동해 문맥을 다시 확인할 수 있습니다.
출처 아카이브 열기아카이브된 블로그 글
서울센텀치과의원 신사역 · Naver Blog
안녕하세요! 이현섭 원장입니다 저희가 근무하고 있는 신사 지역은 대한민국에서도 가장 유동인구가 활발하고 젊은 분들이 많은 지역 중에 하나죠 그래서 그런지, 저희도 치과에서 생활을 하다보면, 사랑니 발치 관련해서 문의가 정말 많이 오는 편이거든요 빼고 많이 붓죠? 통증이 심해서, 생활을 못하진 않나요?...
게시일
2024년 7월 5일
원문 기준으로 확인된 발행일입니다.
카테고리
사랑니발치
원문 블로그 카테고리를 정리해 함께 표시합니다.
이미지 수
9
현재 아카이브에 연결된 이미지 수입니다.
아카이브 요약
서울센텀치과의원 신사역의 네이버 블로그 원문을 보존한 아카이브 페이지입니다. 사랑니발치 카테고리의 사랑니 발치 통증 붓기 줄이는 법 글을 통해 병원의 한국어 정보 제공 방식과 진료 관련 안내 톤을 확인할 수 있습니다.
원문 검증
필요하면 원문 블로그와 병원 프로필로 바로 이동해 문맥을 다시 확인할 수 있습니다.
출처 아카이브 열기
안녕하세요!
이현섭 원장입니다

저희가 근무하고 있는 신사 지역은
대한민국에서도 가장 유동인구가 활발하고
젊은 분들이 많은 지역 중에 하나죠
그래서 그런지, 저희도 치과에서
생활을 하다보면, 사랑니 발치 관련해서
문의가 정말 많이 오는 편이거든요

빼고 많이 붓죠?
통증이 심해서,
생활을 못하진 않나요?
이런 질문들을 많이 주시곤 하는데요
전혀 아프지 않냐?
전혀 아픔이 없다 라고 한다면
사실 조금은 거짓말이겠죠
어떻게 치아를 발치했는데 아무 느낌이
없을 수 있겠습니까만은
뽑고 나서 주의사항만 잘 지켜주시면
붓는 경우는 거의 없기 때문에
크게 걱정은 안하셔도 되고요
그리고 특히, 경험 많은 의사가
빠른 시간 안에 뽑을 수 있다면
통증도 거의 최소화 할 수 있습니다.

이 말이 무슨 말이냐 하면.
발치 과정에서 치과 의사가 사랑니를
오래 붙잡고,
흔들고, 당기고, 쪼개면
잇몸뼈와 치아에 가해지는 힘은 커지고
그에따른 외상도 커지고, 그에따른
통증도 커지게 되는거죠.
그래서 빠르게 발치할 수 있는
경험 많은 의료진을 찾아보세요

대학병원에 가서
발치를 해야하나요?
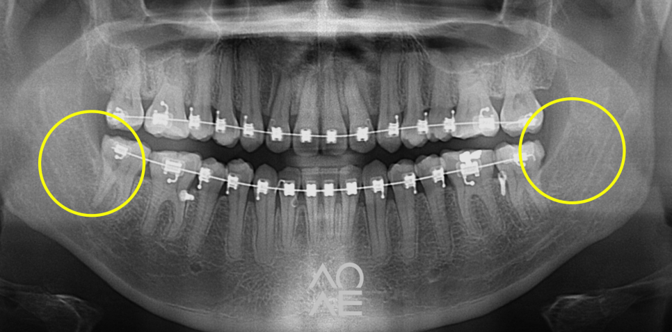
위 주소로 내원하신 학생분이신데요
저희 치과에서 교정을 하고 계셔서
사랑니의 존재는 익히 알고 있었는데요
그럼에도 사랑니는 대학병원에 가야하는지
고민하시면서 말씀을 해주시더라고요.
파노라마라고 불리는 X-ray 를 보니
걱정하신 것 만큼 심각한 상황도 아니라서
당일 발치를 진행하였습니다

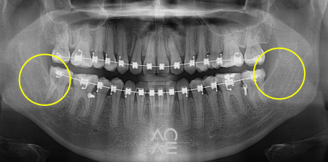
24.6.29
5분만에 발치하였습니다!
저희 치과와는 통증이나 붓기가
적은 발치로 좀 신뢰를 받거든요
이번 발치 케이스도, 최소 침습과 최단 시간
발치로 깔끔하게 해결해드렸습니다!
사랑니는 제가 저만 잘해! 라고 하는건
절대 아니고요. 발치를 잘하시는
원장님들이 많이 계시니까요.
잘 확인해보시면 좋을 것 같고요
그리고, 쉬운 발치인지 아닌지도
치과에 와보셔야 아는 것이기 때문에
먼저 치과에 오셔서 상담 받아보시면
더욱 좋을 것 같습니다.
(물론, 저와도 한 번 상의해주세요!)
저희는 주말에도 항상
문을 열고 자리를 지키고 있습니다!
감사합니다 ^^
이현섭 드림
| 발치 전 | 발치 후 |


