아카이브 요약
이 페이지의 역할
서울센텀치과의원 신사역의 네이버 블로그 원문을 보존한 아카이브 페이지입니다. 대표원장 증례 이야기 카테고리의 뼈이식 임플란트와 라미네이트 수복 증례 소개 글을 통해 병원의 한국어 정보 제공 방식과 진료 관련 안내 톤을 확인할 수 있습니다.
원문 검증
필요하면 원문 블로그와 병원 프로필로 바로 이동해 문맥을 다시 확인할 수 있습니다.
출처 아카이브 열기아카이브된 블로그 글
서울센텀치과의원 신사역 · Naver Blog
안녕하십니까, 이현섭 원장입니다. 10월도 무탈하게 잘 보내고 계시나요? 오늘은 GBR 합성골 이식재를 사용한 뼈이식 임플란트 사례를 소개해 드리려고 합니다. 뼈이식 임플란트란? 인공 치아를 식립하기 전 토대가 되는 잇몸뼈가 부족한 경우 뼈를 보강해서 기반을 만드는 술식입니다. GBR 뼈 보강 종...
게시일
2024년 10월 15일
원문 기준으로 확인된 발행일입니다.
카테고리
대표원장 증례 이야기
원문 블로그 카테고리를 정리해 함께 표시합니다.
이미지 수
21
현재 아카이브에 연결된 이미지 수입니다.
아카이브 요약
서울센텀치과의원 신사역의 네이버 블로그 원문을 보존한 아카이브 페이지입니다. 대표원장 증례 이야기 카테고리의 뼈이식 임플란트와 라미네이트 수복 증례 소개 글을 통해 병원의 한국어 정보 제공 방식과 진료 관련 안내 톤을 확인할 수 있습니다.
원문 검증
필요하면 원문 블로그와 병원 프로필로 바로 이동해 문맥을 다시 확인할 수 있습니다.
출처 아카이브 열기
안녕하십니까, 이현섭 원장입니다.
10월도 무탈하게 잘 보내고 계시나요?
오늘은 GBR 합성골 이식재를 사용한
뼈이식 임플란트 사례를 소개해 드리려고 합니다.

뼈이식 임플란트란?
인공 치아를 식립하기 전 토대가 되는 잇몸뼈가 부족한 경우 뼈를 보강해서 기반을 만드는 술식입니다.
GBR 뼈 보강 종류로는 자가골이 있으며 그 외에도 동종골, 소뼈로 만든 이종골, 인공 재료를 사용하는 합성골이 있습니다.
뼈이식 임플란트를 진행하는 대상자는 치조골에 염증이 심하게 퍼졌거나 노화, 치주 질환 등으로 잇몸이 내려간 분, 주위염이 생겨 재이식하는 분을 대상으로 이행되는데요. 당일 발치 즉시 픽스처 식립보다 자가골 재생 유도 기간을 오래 가져야 해서 전체 기간이 1~2달 정도 길어지게 됩니다. 그러나 이 과정을 통해 안정적으로 인공 치근 고정을 할 수 있기에 골밀도와 높이가 부족한 분들에게 적합합니다.


서울센텀치과의
뼈이식 임플란트 증례
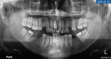
이번에 찾아오신 20대 환자분의 상태를 정확히 파악하기 위해 파노라마 엑스레이 촬영을 해보니 위턱과 아래턱 영구치 상실이 여러 군데 보였고 상악 전치부 부분 크랙이 심했습니다. 연령이 낮아 큰 골 소실은 없었지만 우측 상악 제1 소구치는 하방에 염증이 생겨 픽스처를 심는다면 GBR이 필요했는데요.
크랙도 범주가 크고 깊어 그대로 놔두게 되면 치수 감염과 하방 파절이 우려되어 조속한 대처가 필요했습니다.
아래턱도 자연치가 상실된 곳이 있었지만 먼저 위턱 개선을 원하셔서 요구 사항에 맞춰 계획을 세워드렸습니다.


진단
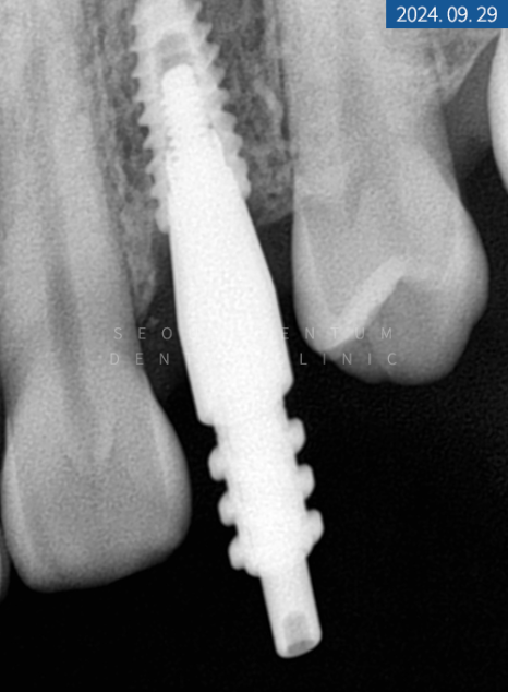
상실된 #14번은 합성골을 이식한 후 네이바이오텍 픽스처 직경 4.5mm, 높이 10mm로 이식하기로 했고 당일 좌측 상악 #15번 소구치도 동일한 브래드의 픽스처 4.0mm x 8.5mm 크기로 심기로 했습니다. 크랙이 심한 앞니와 측절치는 보철물을 수복해서 영구치를 보존하기로 했으며 크라운보다 치아 삭제량이 적고 심미적인 라미네이트를 부착하기로 했습니다.



과정
당일 #14번은 잇몸을 열고 GBR 합성골을 이식한 다음 바로 네이바이오텍 픽스처로 고정해 드렸습니다. 환자분이 1차 수술에 진행하길 원하셔서 힐링 어버트먼트로 체결해 드렸죠. 그리고 #24 좌측 소구치는 비절개를 통해 픽스처를 고정한 후 동일하게 힐링 어버트먼트로 체결해 드렸습니다. #14번 소구치는 5개월이라는 골 유착 시간을 가졌으며 #24번은 3개월이 소요되었습니다.
ISQ 장비로 인공 나사와 잇몸뼈가 잘 붙었는지 수치를 체크한 다음 정상 기준에 들어와서 힐링 어버트먼트를 제거하고 코핑을 연결했습니다. 그런 뒤 맞춤 지대주와 크라운 제작을 위해 인상 체득을 하고 다시 힐링 어버트먼트로 연결하게 되었습니다.



2주 후 기공소에서 제작된 커스텀 지대주와 크라운을 수복해 드리면서 마무리했는데요. 치근단 사진을 찍어보니 픽스처 주위에 염증 없이 단단하고 견고하게 고정되었습니다.
환자분의 #14, #24 인공치를 만들면서 중간에 전치부 라미네이트도 진행했는데요. 자연치와 유사한 색상을 구현하기 위해 쉐이드 가이드도 대조했으며 최소 치질 삭제 후 인상 체득을 했습니다. 동일하게 기공소에서 얇은 도자기 소재 판이 만들어져서 치과용 접착제로 틀어짐 없이 정확하게 붙여드렸답니다.
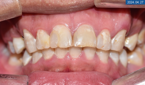
마무리된 앞니를 보면 전과 다르게 깨지고 갈라진 크랙 없이 단정하고 밝은 느낌이 들게 되었습니다.


두 달 후 재방문을 통해 치근단 사진과 세팔로 사진을 찍어 보니 원하는 위치에 픽스처가 잘 고정돼 있고 주변 구조에 염증 없이 견고하게 자리 잡고 있었습니다. 물론 전체 기간에 환자분이 저작도 마음껏 못하시고 위생 관리에 주의해야 한다는 부분이 있었지만 그래도 수고로운 과정을 견디고 튼튼한 제2의 영구치가 만들어졌습니다.
환자분도 현재 음식을 가리지 않고 잘 섭취하고 있다는 등 만족스럽다는 말씀을 주셨는데요.
특히 전치부를 친구들이 보면서 어디서 했냐고 물어본다고 하셨답니다^^

뼈이식을 동반한 임플란트는,
골 유착되는 충분한 시간이 필요하고 환자분도 조심스럽게 생활해야 한다는 점이 있지만 치조골이 부족한 분들에게는 필요한 방법입니다. 전체 기간이 5개월 이내로 마무리된 사례였지만 개인 골 유착 정도와 연령에 따라 1~2개월 정도 차이가 날 수 있습니다.
또한 초기 인공 치근을 각도와 깊이, 거리에 맞춰 심어야 교합이 안정적으로 나오고 불균형이 없어 장기간 사용할 수 있는데요. 무엇보다 잇몸뼈 폭을 살펴서 픽스처 길이를 정하는 것이 중요하고 전문 의료진과 환자분의 노력이 들어가는 술식이기에 충분히 고려한 다음 진행하는 것도 필요합니다.


오늘의 뼈이식 임플란트 및 라미네이트 수복 증례 이야기는 여기까지 나누겠습니다.
이와 관련된 치료를 진행해야 하는 분들께는 더 많은 도움이 되었길 바라며,
현재 치아 상실로 저작 기능의 불편함과 심미적 개선을 하고 싶다면 통합치의학과 전문의가 상주하고 있는 서울센텀치과를 찾아주셔도 좋다는 말씀을 드리고 싶습니다.
약 11,000개 이상의 임플란트 식립 경험을 바탕으로 찾아주시는 모든 분들 개개인의 문제점과 상태를 꼼꼼하게 파악 후 알맞은 치료를 진행해 드리겠습니다.



