서울센텀치과 (신사역)
임플란트 브릿지와 크라운 수복으로 치아 기능을 회복시킨 증례
안녕하세요~ 신사역에 위치하고 있는 서울센텀치과의 이현섭 대표원장 인사드립니다. 여러분들은 좋아하는 음식이 있으신가요? 저도 좋아하는 음식이 정말 많은데요. '먹는 게 낙이다'라는 말이 있을 정도로 맛있는 음식을 먹는다는 건 자신에게 행복을 가져다주기도 하죠. 하지만 치아에 충치가 생기거나 치아가 부족한 등 치...
아카이브 요약
이 페이지의 역할
서울센텀치과 (신사역)의 네이버 블로그 원문을 보존한 아카이브 페이지입니다. 대표원장 증례 이야기 카테고리의 임플란트 브릿지와 크라운 수복으로 치아 기능을 회복시킨 증례 글을 통해 병원의 한국어 정보 제공 방식과 진료 관련 안내 톤을 확인할 수 있습니다.
안녕하세요~
신사역에 위치하고 있는
서울센텀치과의 이현섭 대표원장 인사드립니다.
여러분들은 좋아하는 음식이 있으신가요?
저도 좋아하는 음식이 정말 많은데요.
'먹는 게 낙이다'라는 말이 있을 정도로
맛있는 음식을 먹는다는 건
자신에게 행복을 가져다주기도 하죠.
하지만 치아에 충치가 생기거나
치아가 부족한 등 치아 상태가 좋지 않다면
맛있는 음식들을 먹기가 힘들 정도로
생활에 많은 불편함이 따를 수 있습니다.
그러한 분들께서는 치과 치료를
꼭 받아보시는 것이 좋답니다.

그리하여 이번에는
뼈이식을 동반한 임플란트 브릿지와
크라운 수복 식립
증례를 준비해 봤습니다.
여기서 잠깐!
임플란트 브릿지란?

치조골에 인공 뿌리를 전부 심는 것이 아니라
부분적으로 양호한 골밀도를 선택해서
픽스처 고정 후 상부에
브릿지로 보철물을 씌우는 방식입니다.
전악 임플란트보다 경제적으로 가성비가 뛰어나고
치관을 동일하게 만들 수 있기에
상태가 심각할 때 효과적입니다.
이 방식을 적용할 때는 상부 크라운이
잇몸에 잘 밀착될 수 있도록
인상 채득과 교합을 잘 맞춰서
진행하는 것이 중요합니다.
치통이 심하고
식사하기가 불편해요.
강남임플란트 브릿지

└ 첫 내원 당시 환자분의 잇몸과 치아 상태
위 사진의 상태를 갖고 계셨던
40대 남성분께서는 치아 상실이 돼서
저작 기능의 불편을 경험하고 계셨습니다.
파노라마 엑스레이를 찍어보니
상하악의 영구치가
전체적으로 많이 탈락돼있었습니다.
또한 좌측 상악 어금니에
치통과 더불어 염증 소견이 보여
신경 치료도 동반해야 했는데요.
환자분께서 음식을 어느 정도
씹을 수 있게 해달라고 하셨으며
경제적인 부분을 우려하셨기에
합리적인 방안으로 임플란트 브릿지를
식립하기로 했습니다.




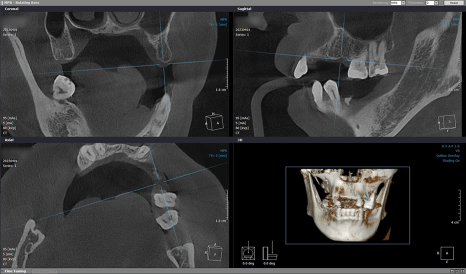
본격적인 치료 전,
픽스처를 심기 위한
치조골 위치를 정확히 파악하기 위해
3D-CT 촬영을 했으며
음식을 씹는 데 불편함이 없으시도록
좌측부터 인공치를 만들기로 했습니다.
픽스처를 심은 후
골밀도가 부족한 부분은
이종골로 GBR을,
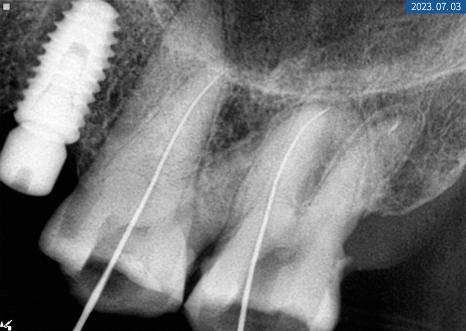
치근단 사진에서 좌측 상악
영구치(제 1대구치, 제 2대구치)가
손상된 곳은 신경 치료를 하기로 했습니다.

1차, 2차
수술 범위 나누기
부분적으로 치조골 높이와
골밀도가 낮은 곳은
2차 수술까지 하기로 했고
잇몸뼈 상태가 양호한 곳은
1차 수술로 마무리하기로 했습니다.
픽스처가 완전히 고정되면
브릿지 형태의 보철물을 수복해서
심미성까지 살리기로 했답니다.

환자분 뼈 상태의 해부학적 구조를
면밀하게 파악한 다음
잇몸뼈 높이와 폭, 각도 등을 고려해서
좌측부터 인공 치근을 심었습니다.
이때 신경 치료도 같이 해드렸는데요.
먼저 교합면을 삭제한 뒤 근관을 찾고 발수를 하고
근관장 측정 검사를 하면서 뿌리를 확대했습니다.
마무리로 충분히 세척하고 충전재 수복 후
치아 본을 뜬 다음 크라운까지 씌워드렸습니다.

신경치료중인 환자분의 치근단 X-ray
3개월 후 좌측 픽스처 고정력을
ISQ 장비로 확인한 다음
힐링 지대주를 제거하고
코핑을 연결해서 인상과 교합 채득 후
임시 치아로 수복해 드렸습니다.
2주가 더 지난 후에는 커스텀 어버트먼트와
지르코니아 크라운이 완성되어 씌워드렸는데요.
확실히 자연치의 기능이 되살아나
환자분이 너무 만족스러워하셨답니다.




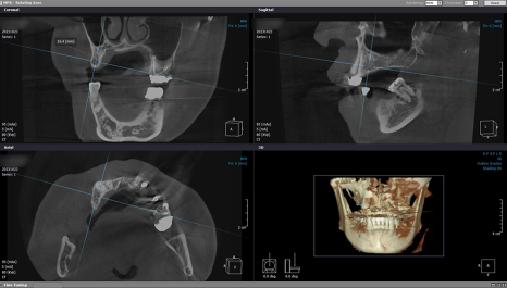
이어서 우측 임플란트를 위해
재검사를 시행했습니다.
처음과 같이 큰 변화는 없었지만
오차 없이 인공 치근을 식립하려면 검사는 필수죠 ^^

환자분이 한쪽으로라도 식사를 하실 수 있도록
사진상의 우측(환자분의 왼쪽) 임플란트와
크라운을 먼저 완성해드렸습니다.
그리고 환자분의
우측 임플란트 수술을 진행했습니다.
이 부위는 모두 2차 수술까지 필요한 경우로,
임플란트 픽스처 고정 후
커버스크류를 씌우고 잇몸을 봉합한 뒤
다음 내원 때 뵙기로 했습니다.
▶ 1차 수술할 때 꼭 확인하세요.
▶ 2차 수술할 때 꼭 확인하세요.

4개월의 골 유착 기간을 갖고
내원해 주신 환자분의
#14번 치아는 본을 뜨고 보철물 수복을 해드렸으며
2차 수술을 진행한 #16, #17, #46, #47번은
잇몸을 열고 커버 스크류 제거 후
힐링 어버트먼트를 체결해 드렸답니다.

2개월이 더 지나고 나서
잇몸이 둥글게 완성되어
다른 곳과 동일한 방식으로 코핑 연결 후
모양을 본뜨고 기공소에 의뢰했습니다.

도착한 맞춤 브릿지를 씌워드리고 나서
마무리로 치근단 사진 촬영을 해서
주위염은 없는지 체크했습니다.

전체 브릿지 임플란트 완성 후 교합 측정 시
상하악이 알맞게 다물렸으며
내구성 좋은 지르코니아 보철물을 수복했기 때문에
자연치와 조화롭게 어울림은 물론
단단한 식품도 저작할 수 있는 강도를
회복하시게 되었습니다.

마무리 후 시간을 두고
상태 체크를 하는 것이 중요하기에
한 달 동안 사용해 보시라는 안내를 드렸습니다.
그렇게 한 달 후 재방문하신 날짜에 검사를 해보니
뿌리와 치관 주변 등에
아무런 이상 없이 잘 사용하고 계셨습니다.


브릿지 임플란트 등 인공 치아를 만들 때
가장 기본이 되는 것은 치조골의 상태입니다.
뼈에 의해 견고함과 기대 수명,
주위염 발생률 등이 차이가 날 수 있으므로
반드시 본인의 구강 구조를
제대로 측정하고 파악해서
알맞은 술식을 적용하는 것이 바람직한 선택입니다.
약 11,000개 이상의
임플란트 식립 경험이 있는
의료진이 진료합니다.
임플란트 브릿지+크라운 치료는 서울센텀치과

서울센텀치과는
오차 없이 완성도 높은 인공치를 만들기 위해
3D-CT 등의 장비를 사용하여
해부학 구조를 면밀히 파악하고 있으며
재료, 생체 적합성 등의 사항을
다각적 측면에서 검토 후 추천해 드리고 있습니다.
오랫동안 건강하게 유지될 수 있을 정도의
치아 상태를 최대한 빠르게 완성해 드리기 위해
꾸준히 노력하는 의료진이 되겠습니다.




어떠한 치료와 수술이라도
개인에 따라 부작용이 발생할 수 있으며
결과와 치료 기간 등이 달라질 수 있으니
치료 및 수술 전 반드시 담당 의료진에게
상담을 받으신 후 진행하시길 바랍니다.
더 보기
이 병원의 공개 콘텐츠를 계속 살펴보세요
출처 아카이브로 돌아가 더 많은 글을 보거나, 병원 프로필로 이동해 다른 공개 채널도 함께 비교해보세요.