서울센텀치과 (신사역)
앞니 임플란트 식립으로 저작 기능을 끌어올린 증례
앞니 임플란트 식립으로 저작 기능을 끌어올린 증례 안녕하세요~ 서울센텀치과 대표원장 이현섭입니다. 이번에는 앞니 치료를 위해 저희 서울센텀치과에 내원하셨던 한 환자분의 치료 증례 이야기를 하려고 합니다. 임플란트가 필요했으며 심미성과 기능성 모두를 적절히 고려한 후 식립했고 환자분께서 잘 관리하셨기에 원활하게...
아카이브 요약
이 페이지의 역할
서울센텀치과 (신사역)의 네이버 블로그 원문을 보존한 아카이브 페이지입니다. 대표원장 증례 이야기 카테고리의 앞니 임플란트 식립으로 저작 기능을 끌어올린 증례 글을 통해 병원의 한국어 정보 제공 방식과 진료 관련 안내 톤을 확인할 수 있습니다.
앞니 임플란트 식립으로
저작 기능을 끌어올린 증례

안녕하세요~
서울센텀치과 대표원장 이현섭입니다.
이번에는 앞니 치료를 위해
저희 서울센텀치과에 내원하셨던
한 환자분의 치료 증례 이야기를 하려고 합니다.
임플란트가 필요했으며
심미성과 기능성 모두를
적절히 고려한 후 식립했고
환자분께서 잘 관리하셨기에
원활하게 회복이 이루어졌던 케이스입니다.

대문니 치조골은 구치구보다 폭이 좁으므로
인공 치근을 식립할 때
각도와 방향을 잘 설계해서
식립하는 것이 중요합니다.
기울기와 0.1mm의 오차가 생겨도
교합 불일치와 앞니 손상을 유발할 수 있기에
초기 디지털 모의 설계가
다른 임플란트보다 중요하기도 합니다.

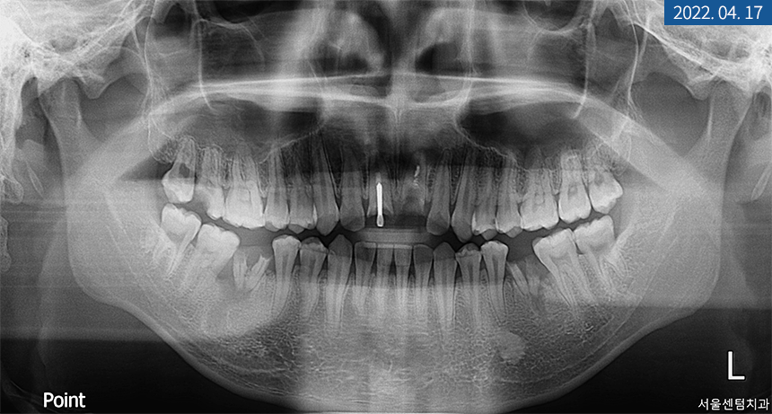
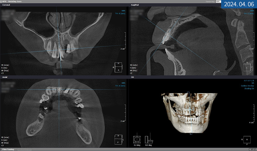
20대 남성분의 X-ray 사진
또한 임플란트 시
치조골의 폭이 좁은 경우,
편리성을 위하는 경우에는
인공 나사와 지대주에 연결된
일체형을 사용할 수 있고
의료진의 판단하에 결합해서 쓰는
분리형 구조를 사용할 수도 있습니다.
또한 상부 보철을 수복할 때도
눈에 드러나는 위치이기에
인접치 색상과 유사하게
쉐이드 가이드를 진행해야 합니다.
이제 본격적으로
치료 과정을 들려드리겠습니다.

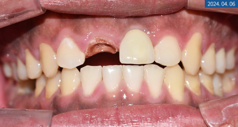
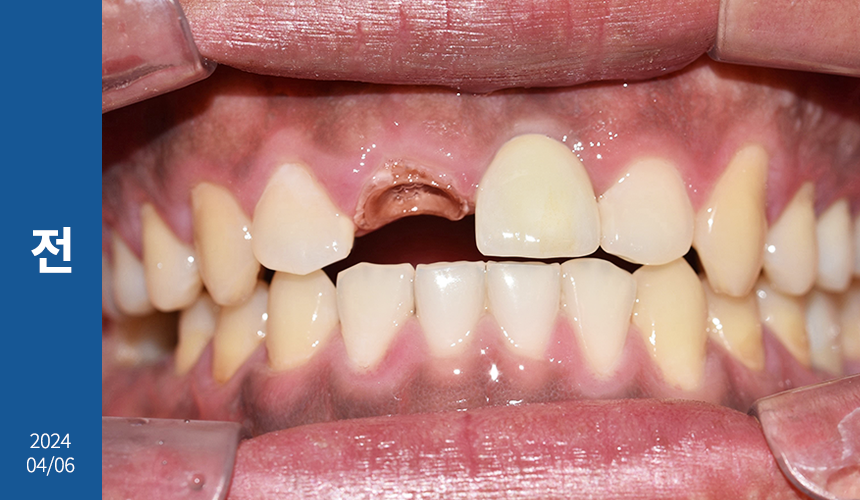
상담을 할 때 환자분께서
부드러운 음식만 주로 먹게 될 만큼
앞니가 많이 불편해요.
라고 하셨는데요.
X-ray 상 앞니 손상과 치근 염증이
심하다는 결과를 봐서는 발치가 필요해 보였으며
좌측 하악 어금니도 뿌리 밑에 염증이 생겨
치아 보존이 힘든 상황이었습니다.
그만큼 치아 강직과 만성 복합치주염으로 인한
난발치 상황이었죠.

우측도 파열돼있었지만
우선 치주 치료를 하면서 지켜봐도
좋을 것 같다는 판단이 들었습니다.
그래서 전체적으로 잇몸 치료를 진행함과 동시에
살릴 수 없는 어금니와 앞니는
임플란트를 이행하기로 했습니다.
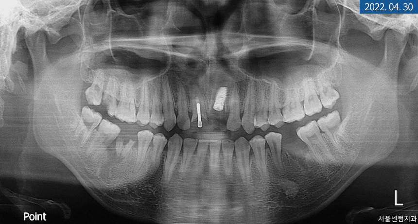
먼저 상악 #21번 어금니 발치를 진행하기로 했고
발치 후 기존 영구치 방향을 따라
인공 치근을 심은 후
필요시 GBR 골 이식재를 넣고
차폐막으로 덮기로 했습니다.

골 유착이 되는 동안에는
좌측 하악 어금니에 픽스처를 식립하고
전체 치주 질환을 개선하면서
경과를 관찰하기로 했습니다.


또, 좌측이 완성된 후에는
우측 앞니에 임플란트를 식립해서
마무리하기로 했고요.
#21번 주위에 침윤 마취를 하고
기존 영구치를 뽑는 과정 중
난발치는 Bur를 이용해 조심스럽게 꺼냈습니다.
복합치주염이 깊이 진행된 상황이라
뼈 소실이 커서 GBR 뼈 이식재 보강을 진행했고
그 후 차폐막으로 덮어서 마무리했습니다.

#21번을 진행하면서
하악 대구치도 픽스처 식립을 했는데요.
이 부분은 치조골 상태가 양호해서
바로 힐링 어버트먼트까지 체결해 드렸습니다.

그렇게 3개월 후 아래턱 어금니는
교합과 인상 체득을 한 다음 쉐이드 가이드를 통해
크라운 색을 결정하고 보철물 제작에 들어갔답니다.

앞니는 차폐막을 걷고
커버 스크류를 뺀 후
힐링 지대주를 연결해 드렸는데요.
한 달 후 잇몸이 잘 아문 것을 확인하고
대구치와 동일하게
상부 보철물 제작에 들어갔습니다.



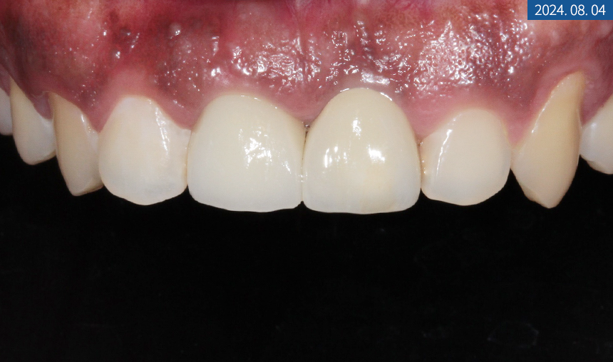
2주 후 기공소에서 받은
맞춤 크라운을 수복해 드렸으며
스크류도 단단히 조여서
풀리지 않게 고정해 드렸습니다.
좌측이 완성된 후 저작 기능이 회복되었기에
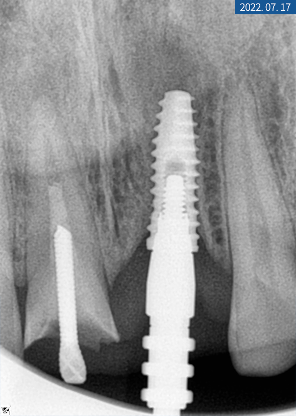
이어서 반대편 앞니 임플란트 식립에 들어갔습니다.
우측과 동일하게 각도와 깊이,
거리 등을 신경 쓰면서
픽스처 위치를 정했습니다.

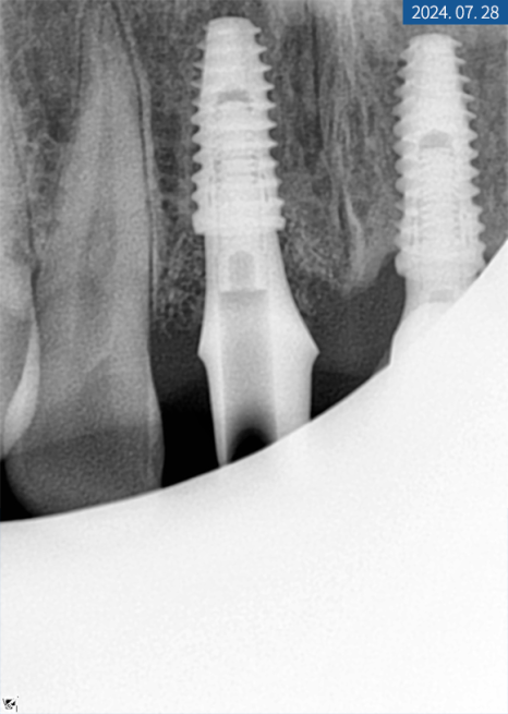
#11번은 인공 나사를 심고 힐링 어버트먼트를
바로 연결해서 잇몸을 만들었습니다.
3개월 후 골 유착을 확인하고
교합과 인상 채득을 한 다음 크라운 제작을 위해
색상 대조 후 기공소에 의뢰했습니다.
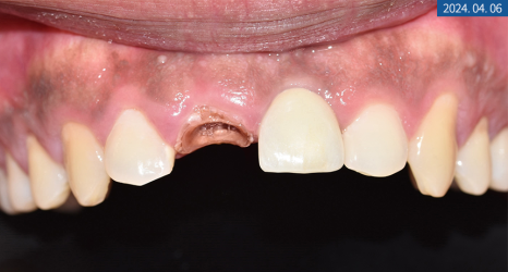
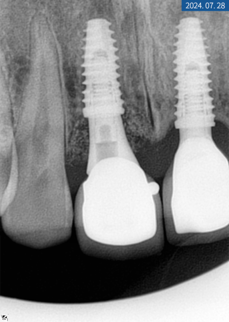
좌측과 다르게 우측은
*와이어 템포러리를 만들어서
심미 보강을 도와드렸고
2주 후 커스텀 어버트먼트와 크라운을
알맞게 체결, 수복해 드렸습니다.
와이어 템포러리
(Wire Temporary)

앞니 임플란트 수복을 할 때
빈자리로 가만히 두게 되면
그 모습을 가리기 위해 마스크를 착용하게 되거나
손으로 입을 가리게 되는 등
미적 불편함이 크게 다가옵니다.
이를 보완하기 위해 만들어진 것이
와이어 템포러리입니다.
이는 탈부착이 돼서
편하게 세척하고 사용할 수 있으며
옆의 치아에 와이어를 씌워
고정하여 사용하시면 됩니다.
다만 기능적인 역할을 하지 않으니
단단한 음식과 질긴 식품 등은 금지해달라는
말씀을 드리고 있습니다.
-
보철물이 있어도 불편하지 않아요.
-
전보다 편해졌어요.
환자분의 말씀

저작 활동이 수월하도록 좌측 인공치 완성 후
우측 임플란트 식립을 진행해 드렸으며
교합도 꼼꼼히 체크해서
안정적인 생활이 가능하게 해드렸답니다.
한 달 후 치근단 사진을 찍어보니
주위 염증 없이 이식된 자리에
잘 위치하고 있었습니다.


오늘은 앞니 임플란트 식립 증례를
소개해 드렸는데요.
난도 높은 위치이기도 했지만
염증이 치조골에 깊게 뻗어있었기 때문에
GBR 골 이식재도 사용해야 했던 케이스였습니다.




이 증례를 보고 계신 분들 중
앞니, 송곳니, 대구치 등의
치아 상실을 경험함에 따라
발음 구사, 식생활, 사회적 활동, 정서적 측면 등에서
어려움을 겪고 계신 분들께서는
저희 서울센텀치과에서 상담받아보시면 어떨까요?
불편함을 참으면 참을수록
더 심한 문제가 발생할 수 있으니
그전에 치료를 받아보시는 게
훨씬 더 좋을 거라 봅니다.

임플란트를 해야 하는 경우
수많은 임플란트 식립 경험을 기반으로
맞춤 임플란트를 진행해 드릴 것을 약속드리며
여러 케어를 통해 최대한 편하게,
오랫동안 사용하실 수 있도록 돕겠습니다.
| ✔ 서울센텀치과 예약 및 문의 ✔ |
|---|
| 전화 상담(02-543-9285) |
| 네이버 예약 |
✔ 오시는 길 ✔
✔ 진료 시간 ✔


더 보기
이 병원의 공개 콘텐츠를 계속 살펴보세요
출처 아카이브로 돌아가 더 많은 글을 보거나, 병원 프로필로 이동해 다른 공개 채널도 함께 비교해보세요.