아카이브 요약
이 페이지의 역할
서울센텀치과의원 신사역의 네이버 블로그 원문을 보존한 아카이브 페이지입니다. 대표원장 증례 이야기 카테고리의 라미네이트전후 치아의 가지런한 정도와 밝기 차이 확인하기 글을 통해 병원의 한국어 정보 제공 방식과 진료 관련 안내 톤을 확인할 수 있습니다.
원문 검증
필요하면 원문 블로그와 병원 프로필로 바로 이동해 문맥을 다시 확인할 수 있습니다.
출처 아카이브 열기아카이브된 블로그 글
서울센텀치과의원 신사역 · Naver Blog
라미네이트전후 치아의 가지런한 정도와 밝기 차이 확인하기 안녕하세요. 서울센텀치과 이현섭 대표원장입니다. 외모를 가꾸는 데 있어 어느 정도 밝고 고른 치아도 영향이 있기에 라미네이트라는 방법을 알아보는 사람들이 많아지고 있습니다. 치아에 조금이라도 관심이 있는 분이시라면 이 이름을 한 번쯤은 들어보셨을듯합니다. 다...
게시일
2024년 10월 29일
원문 기준으로 확인된 발행일입니다.
카테고리
대표원장 증례 이야기
원문 블로그 카테고리를 정리해 함께 표시합니다.
이미지 수
20
현재 아카이브에 연결된 이미지 수입니다.
아카이브 요약
서울센텀치과의원 신사역의 네이버 블로그 원문을 보존한 아카이브 페이지입니다. 대표원장 증례 이야기 카테고리의 라미네이트전후 치아의 가지런한 정도와 밝기 차이 확인하기 글을 통해 병원의 한국어 정보 제공 방식과 진료 관련 안내 톤을 확인할 수 있습니다.
원문 검증
필요하면 원문 블로그와 병원 프로필로 바로 이동해 문맥을 다시 확인할 수 있습니다.
출처 아카이브 열기라미네이트전후 치아의 가지런한 정도와
밝기 차이 확인하기
안녕하세요.
서울센텀치과 이현섭 대표원장입니다.
외모를 가꾸는 데 있어
어느 정도 밝고 고른 치아도 영향이 있기에
라미네이트라는 방법을
알아보는 사람들이 많아지고 있습니다.
치아에 조금이라도 관심이 있는 분이시라면
이 이름을 한 번쯤은 들어보셨을듯합니다.
다만 정확히는 모르실 수도 있겠다는 생각이 드는데요.

그래서 라미네이트 뜻을 정확히 알아봄과 함께
라미네이트전후 모습을 소개해 드릴 예정입니다.
고르고 밝은 치아를 만들고 싶으시다면
반드시 확인해 보시길 바랍니다.

라미네이트 뜻
치아의 기능적 손상과 변색을 보강하기 위해
치면을 소량 삭제한 후 도재를 붙여
형태와 색조를 재구성하는 기법이라고 할 수 있습니다.
개인 취향을 반영해 치아 성형술을 이행하므로
가지런하고 깨끗한 치아를 만들게 되면서
심미 복구는 물론이고
이미지 향상 효과도 얻으실 수 있습니다.
그리고 크라운에 비해
치질 삭제량이 상대적으로 적다 보니
미세 크랙이 생겼을 때도
영구치 보전을 위해 많이 시행되고 있습니다.
그뿐만 아니라
선천적으로 기형 치아(왜소치)를 갖고 있으신 분
상아질이 두껍고 법랑질이 얇아 누렇게 보이는 분
외상으로 인해 치아가 부분 파절된 분
치간이 벌어졌지만 교정을 원하지 않는 분
이러한 경우에 속하는 분들께서도
효과를 보실 수 있습니다.

전체 과정은 일주일 내에 마무리되어서
빠른 일상 복귀가 가능합니다.
또한 복합 하이브리드 레진보다 내구력이 좋아
조금 더 견고하게 사용할 수 있고 탈락 우려가 적습니다.
이제 본격적으로
라미네이트전후를 확인해 보겠습니다~
저희 서울센텀치과에 오셔서
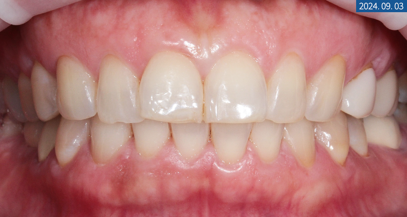
라미네이트 상담을 받으신 중년 여성분께서
변색된 치아색을 더 하얗게 바꾸고 싶고
살짝 금 간 부분 때문인지 시려서 불편해요.
라는 이유로 치료를
받아보고 싶다고 하셨습니다.

정확한 구내 파악을 위해
파노라마 엑스레이를 촬영해 보니
어금니 임플란트 식립과 크라운 수복,
신경 치료, 보철물로 때운 곳이 보였습니다.
다행히 라미네이트 받기를 원하시는 전치부에는
미세 크랙 외에 큰 이상 소견이 보이지 않아
도재를 아름답게 부착해 드리기로 했는데요.

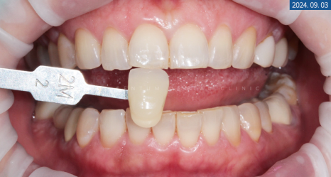
환자분께서 치아 형태와
색조를 변경하기를 원하시는
#13~23번 치아 중 대부분은
치질을 0.1mm가량 삭제하는
무삭제라미네이트가 가능하지만
#11, #21번 치아는 Rotation이 심한 것으로 확인되어
0.3~0.5mm의 평활면을 절삭할 수 있다고
충분히 설명해 드린 후 술식을 진행하게 되었습니다.


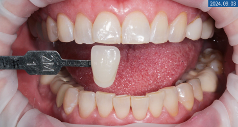
가장 먼저 원하시는 디자인과 색상을 확인하기 위해
쉐이드 체크와 가이드 형태를 보여드렸습니다.
보시고 나서 단정하고 깔끔한 걸로 요청 주셨기에
톤을 1.5단계를 높인 것으로 결정하게 됐습니다.

그런 후 구내 사진을 찍고
접착면을 고르게 다듬으면서 절삭하기 위해
버를 사용하여 다듬어드렸는데요.
환자분께서 최소 삭제를 원하셨기에
돌출과 회전감이 심한 #11, #21번 치아는
치질 삭제를 0.3mm 하고
나머지 #13~23번 치아는
0.1mm 미만으로 절삭해 드렸습니다.

간단하게 마취 가글만 시행하고 진행해도
크게 불편함을 느끼지 않으셔서
전체적으로 수월하게 진행되었습니다^^

본을 뜰 때 치아에 이물질들이 있으면
접착이 잘 안될 수 있기 때문에
이물질과 치태, 잔존물을 제거하기 위한
치면 세마 과정을 거쳤습니다.
그렇게 전치부 준비 과정을 마친 후
기공소에서 라미네이트를
제작하기 위한 본을 떴고,
인상 채득까지 완료한 다음
기공소에 보냈으며
며칠이 지난 후 도착한 라미네이트를
치과용 접착제로 부착해 드렸습니다.
이때 한번 부착하면 잘 떨어지지 않으므로
각도를 섬세하게 맞춰서 이행해 드렸습니다.

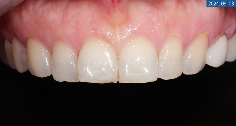
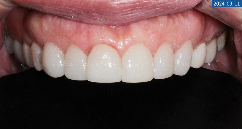
전체 과정을 마무리하고
어느 정도 경화 시간을 가진 후
After 구내 사진을 촬영해서
라미네이트전후 모습을 대조해 보았는데요.
웃을 때 치아가 깨끗해 보이면서
전체적으로 단정한 모습이 됐습니다~
전의 누렇고 마모된 부분이 전부 개선되는
무삭제라미네이트 특성상
새로운 치아로 재탄생된 것이랍니다.

환자분께서는 단정하고 깔끔함을 원하셨기에
그 방향으로 디자인해 드렸는데,
미세하게 시크함과 연예인 느낌,
사랑스러운 느낌까지 들게끔
만들어드릴 수 있었습니다.
이때 세라믹 도재를 부착해서
영구치 보존력을 높였으며
이전에 미세 크랙으로 발생했던
이시림 증상도 완화해 볼 수 있었기에
성공적인 술식으로 마쳤다고 할 수 있습니다.

다만 접착제가 일주일 정도
경화되는 시간이 필요하기에
그전까지 차갑거나 뜨거운 음료,
음료 섭취를 제한해 달라고 설명드렸으며
그 밖에 보철물 변색을 유발할 수 있는
색소가 가미된 음식도 일주일 정도는
피해달라고 함께 말씀드렸습니다.
더불어 깨끗함을 유지하기 위한
스케일링까지 지속적으로 받게 되면
아름다운 전치부가 장기간 유지된 채로
생활할 수 있게 되므로 이 또한 안내해 드렸습니다.
만족스러운 라미네이트 결과를
유지하기 위해서는
위 같은 주의사항을
반드시 숙지하셔야 합니다!

이렇게 부분적으로 무삭제라미네이트와
일반 술식을 병행하여 진행한
라미네이트전후 증례를 말씀드렸습니다.
0.1mm정도 소량 삭제하는 무삭제 공법은
영구치 손상을 거의 주지 않기에
많은 분들이 선호하고 있습니다.
이번 경우에는 미세 크랙으로 인한
이시림까지 개선하기 위해
도재를 붙이기도 했지만
균열이 심하면 크라운 수복이
더 좋은 대안이 될 수도 있습니다.

이번 이야기 같은 라미네이트전후 사례들을
꼼꼼하게 확인하고 상담, 시술을 받으시면
아름다워진 치아를 단기간만에 만나보실 수 있습니다.
추가적인 문제도 거의 발생하지 않겠고요.
하지만 라미네이트나 크라운 치료 모두
개인의 목적과 방향, 치성 상태 등에 따라
적용 가능한 술식과 그에 따른 비용이 달라지므로
의료진과의 충분한 논의를 통해
방향을 결정하셔야 합니다.
그렇다고 하더라도 무조건
의료진의 의견대로만 한다면
원하는 결과가 잘 나오지 않을 수도 있습니다.
의료진이 라미네이트에 대한
노하우나 스킬도 부족하다면
그럴 가능성은 더더욱 높아질 수 있겠습니다.


서울센텀치과는 환자분의 의견까지
어느 정도 반영을 한
라미네이트를 진행 중에 있습니다.
시술 시 경력이 많은 의료진이
직접 진행하기 때문에 오차가 거의 없으며
만족스러운 결과물을 얻어보실 수 있습니다.
선천적으로 치아가 변색된 분,
여러 번의 미백으로도
희망하는 치아 밝기가 재현되지 않은 분,
왜소치 등의 형태 변형, 마모, 부분 파절로
보철물 수복을 고려하고 계신 분들께
이번 라미네이트전후 증례가
좋은 예시가 되었길 바랍니다 ^^
서울센텀치과는
토요일, 일요일도 진료합니다.

궁금하신 사항이 있거나
라미네이트 시술 의향이 있으실 때는
저희 서울센텀치과에 문의 바랍니다.
| 진료 시간 | 월 |
|---|---|
| 점심 시간 | 월 |


개인별로 진료/치료가 다르게 진행될 수 있으며
부작용이 발생할 수도 있으므로
반드시 의료진과 상담 후 진행하셔야 합니다.