아카이브 요약
이 페이지의 역할
서울센텀치과의원 신사역의 네이버 블로그 원문을 보존한 아카이브 페이지입니다. 임플란트 카테고리의 임플란트2차수술과정 언제 필요한지 핵심만 짚어보기 글을 통해 병원의 한국어 정보 제공 방식과 진료 관련 안내 톤을 확인할 수 있습니다.
원문 검증
필요하면 원문 블로그와 병원 프로필로 바로 이동해 문맥을 다시 확인할 수 있습니다.
출처 아카이브 열기아카이브된 블로그 글
서울센텀치과의원 신사역 · Naver Blog
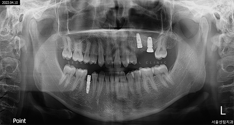
임플란트2차수술과정 언제 필요한지 핵심만 짚어보기 실제로 저희 치과에 내원해 주신 한 환자분의 파노라마 엑스레이 사진입니다. 임플란트는 치아가 없거나 자연치에 손상을 주지 않고 상실된 치아를 회복시키고 싶은 경우 등의 상황에서 진행하면 좋은 술식입니다. 자연치의 기능을 대체해 주기 때문에 치아를 상실했을 때에 비해...
게시일
2024년 11월 14일
원문 기준으로 확인된 발행일입니다.
카테고리
임플란트
원문 블로그 카테고리를 정리해 함께 표시합니다.
이미지 수
13
현재 아카이브에 연결된 이미지 수입니다.
아카이브 요약
서울센텀치과의원 신사역의 네이버 블로그 원문을 보존한 아카이브 페이지입니다. 임플란트 카테고리의 임플란트2차수술과정 언제 필요한지 핵심만 짚어보기 글을 통해 병원의 한국어 정보 제공 방식과 진료 관련 안내 톤을 확인할 수 있습니다.
원문 검증
필요하면 원문 블로그와 병원 프로필로 바로 이동해 문맥을 다시 확인할 수 있습니다.
출처 아카이브 열기임플란트2차수술과정
언제 필요한지 핵심만 짚어보기


실제로 저희 치과에 내원해 주신 한 환자분의 파노라마 엑스레이 사진입니다.
임플란트는 치아가 없거나 자연치에 손상을 주지 않고 상실된 치아를 회복시키고 싶은 경우 등의 상황에서 진행하면 좋은 술식입니다.
자연치의 기능을 대체해 주기 때문에 치아를 상실했을 때에 비해 생활에서 훨씬 도움이 됩니다.
또한 치관(크라운)을 씌우므로 자연치와 비슷한 외형을 유지할 수 있어 타인이나 자신이 봐도 많이 어색하지 않습니다. 다만 임플란트는 많은 비용과 시간을 필요로 하는 데다가 유지 기간도 길기 때문에 신중히 결정하셔야 합니다.

추가로 임플란트 과정이 1차와 2차 수술로 나눠지기도 하므로 치료 기간이 상이할 수 있는 것인데, 이 부분에 대해서는 잘 모르실 것 같습니다. 그럼 이번에는 임플란트 1차와 더불어 임플란트2차수술과정에 대해 설명드려보겠습니다.
임플란트 1차 과정

✔ 1차 수술 과정은 임플란트의 핵심 과정이라고 할 수 있을 정도로 가장 중요합니다. ✔
잇몸뼈에 픽스처를 이식 후 잇몸을 덮어서 잇몸뼈와 픽스처의 골융합이 이루어지게끔 만듭니다. 이 과정은 약 30분~1시간이 소요되고 임플란트를 해야 하는 치아가 많을수록 진행 시간은 더 늘어날 수 있습니다.
실밥은 잇몸이 어느 정도 아물면(약 일주일 소요) 제거하는데, 일주일 후에도 실밥을 제거하지 않으면 실밥 사이로 음식물이 끼면서 잇몸 질환이 발생할 수 있으니 잊지 말고 제거 받으시길 바랍니다.
임플란트 2차 과정

다음으로 임플란트2차수술과정에 대해 안내해 드리겠습니다.
임플란트2차수술과정은 먼저 잇몸을 개방하고 픽스처를 체결한 위치에 어버트먼트를 연결해 보철물을 장착할 수 있도록 다시 봉합시키고 치아본을 뜹니다. 그리고 약 2주 뒤에 지르코니아 같은 보철물을 장착하는 것이 되겠습니다. 임플란트2차수술과정은 1차에 비해 난도가 낮기 때문에 수술 시간이 10~20분으로 짧고 통증이나 출혈도 덜합니다.
임플란트 1차 / 2차 수술 기간

임플란트를 1차만 하면 23개월 정도가 소요되는 편이지만 2차 임플란트까지 진행하는 경우에는 1차 수술 후 골융합이 충분히 이뤄질 수 있는 기간(약 23개월)이 경과 후 진행합니다. 그래서 1차와 2차 임플란트 수술을 해야 한다면 총 3~6개월 정도가 소요되며 뼈이식을 많이 진행하거나 골융합 속도가 더딘 등의 이유로 기간이 더 길어질 수도 있습니다.
임플란트 2차 수술 후 주의사항
임플란트2차수술과정을 거친 후에도 임플란트 1차를 받으셨을 때처럼 주의사항을 숙지하셔야 합니다.
먼저 직후 주의사항에 대해 설명드려보겠습니다^^

출혈 : 잇몸을 덮은 후 약간의 출혈이 발생할 수 있습니다. 이는 정상적인 현상이며 수술 부위로 거즈를 1~2시간 물고 계시면 지혈이 될 것입니다. 2시간이 지난 후에도 출혈이 계속되는 경우에는 치과에 내원하시길 바랍니다.
통증 : 마취가 풀리면 약간의 통증이 느껴질 수 있기 때문에 처방받으신 약을 잊지 말고 복용해 주시기 바랍니다. 냉찜질도 하시면 더욱 좋습니다.
부기 : 잇몸에 영향을 주다 보니 부기가 발생하기도 합니다. 이럴 때에도 냉찜질을 하시면 증상이 점차 완화될 것입니다.
임플란트 부위를 건드리다 보면 힐링 어버트먼트(나사 단추)나 크라운이 빠질 수 있으니 주의해주시길 바라며, 빠진 경우에는 빠르게 치과에 내원 부탁드립니다.

다음으로 일상생활 속 관리에 대해 안내해 드리겠습니다.
임플란트에 충치가 생기지는 않지만 치석이 쌓이면 잇몸에 염증이 생기고 치조골이 녹을 수 있으니 스케일링을 주기적으로 받아보세요.
양치질과 함께 치간칫솔이나 치실로도 관리를 잘해주셔야 합니다.
(단, 2차 수술 후 일주일 정도는 수술 부위를 제외한 부위만 관리해 주세요)


임플란트는 높은 집중도와 숙련된 실력을 요구하는 치료 방법이기 때문에 의료진의 노하우가 중요합니다.
서울센텀치과는 임플란트 식립을 수없이 해온 의료진이 환자분들 개개인의 임플란트 전과정이 끝날 때까지 책임지고 진료 및 관리하고 있습니다. 정밀 진단과 상세한 설명을 통해 환자분 자신에 대한 상태를 면밀히 확인 후 치료를 받아보실 수 있습니다.

오늘 임플란트2차수술과정과 함께 안내해 드린 일상생활 속 관리 방법을 꾸준히 시행하는 것도 중요하니 이와 더불어 정기검진을 받는 걸 잊지 말아 주셨으면 합니다. 끈기와 함께 이 사항을 꼭 지키겠다는 마음가짐을 갖고 치료를 받아주신다면 만족스러운 결과를 만나실 수 있을 겁니다. 저희 의료진도 노력하겠습니다^^
본원의 진료시간은 다음과 같으니
내원 시 참고해 주시기 바랍니다.
| 서울센텀치과- 월요일부터 일요일까지 7일 모두 진료! - |
|---|
| 진료시간 |
| 평일 ➡ 오전 10:00~오후 7시 |
| 점심시간 |
| 평일+토요일 ➡ 오후 1시~2시 |


🔎다른 임플란트 정보도 확인해 보세요~