아카이브 요약
이 페이지의 역할
서울센텀치과의원 신사역의 네이버 블로그 원문을 보존한 아카이브 페이지입니다. 대표원장 증례 이야기 카테고리의 돌출입 및 신경치료와 임플란트 식립 동시 진행 증례 글을 통해 병원의 한국어 정보 제공 방식과 진료 관련 안내 톤을 확인할 수 있습니다.
원문 검증
필요하면 원문 블로그와 병원 프로필로 바로 이동해 문맥을 다시 확인할 수 있습니다.
출처 아카이브 열기아카이브된 블로그 글
서울센텀치과의원 신사역 · Naver Blog
돌출입 및 신경치료와 임플란트 식립 동시 진행 증례 이런저런 질병을 함께 치료할 수 있듯이 치아 또한 다양한 문제를 겪고 있을 때 꾸준히 치료만 받는다면 해결할 수 있습니다. 그래서 이번 시간에는 치아교정으로 돌출입을 개선함과 동시에 충치가 있는 부위는 신경치료를, 치아 상실이 있는 곳은 임플란트 식립을 하여...
게시일
2025년 3월 5일
원문 기준으로 확인된 발행일입니다.
카테고리
대표원장 증례 이야기
원문 블로그 카테고리를 정리해 함께 표시합니다.
이미지 수
32
현재 아카이브에 연결된 이미지 수입니다.
아카이브 요약
서울센텀치과의원 신사역의 네이버 블로그 원문을 보존한 아카이브 페이지입니다. 대표원장 증례 이야기 카테고리의 돌출입 및 신경치료와 임플란트 식립 동시 진행 증례 글을 통해 병원의 한국어 정보 제공 방식과 진료 관련 안내 톤을 확인할 수 있습니다.
원문 검증
필요하면 원문 블로그와 병원 프로필로 바로 이동해 문맥을 다시 확인할 수 있습니다.
출처 아카이브 열기
돌출입 및 신경치료와 임플란트 식립 동시 진행 증례
이런저런 질병을 함께 치료할 수 있듯이
치아 또한 다양한 문제를 겪고 있을 때
꾸준히 치료만 받는다면 해결할 수 있습니다.
그래서 이번 시간에는
치아교정으로 돌출입을 개선함과 동시에
충치가 있는 부위는 신경치료를,
치아 상실이 있는 곳은 임플란트 식립을 하여
구강 환경을 전반적으로
바르게 조성한 사례를 소개해 드리도록 하겠습니다.

복합 진료로 진행했기 때문에
이번 이야기의 사례자분과 같이
여러 치료가 필요한 분들께는
더욱 큰 도움으로 다가오실 것 같습니다.
환자분의 초기 내원 목적
① 돌출입 개선
② 임플란트 식립
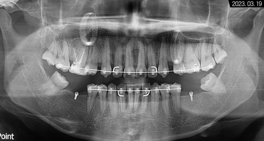
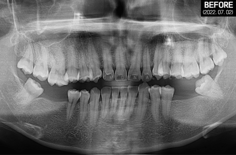
그래서 우선 파노라마 엑스레이 촬영으로
전체적인 구강 환경을 살펴봤는데요.

전치부는 과잉 밀집으로 몰려있는 것이 보였고
위턱은 사랑니까지 맹출 되어
아주 빽빽한 치열을 갖고 계셨습니다.
아래턱은 어금니 상실 부위가 여러 군데여서
식사가 불편하셨을 것으로 예상되었습니다.
어금니는 저작할 때 아주 중요한 부위이기 때문에
그 부위가 사라지면
단단한 음식을 씹는 것도 용이하지 않고
전치부에 힘이 몰려
앞니 파절과 마모도 야기할 수 있으며
오랜 기간이 지나면 맞은편
어금니 정출 현상도 나타날 수 있기 때문에
가급적 제기능을 할 수 있도록
치료하는 것이 좋습니다.


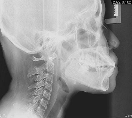
세팔로 사진으로는
잇몸과 치아 전돌 양상이 보이고
에스테틱 라인을 과하게 넘어가 있다는 것을
알 수 있었습니다.
계측점을 분석해 본 결과 정상 범주로 넣기 위해서는
치아 후방 이동이 상당히 필요한 경우였습니다.
뻐드러진 앞니 모양이 보이는데,
이 같은 상태면 앞니 사용이 좋지 않아
식사가 불편하고 아랫니가 잇몸을 자극해서
치주염까지 생길 수 있어 주의해야 합니다.

전면으로는 골격 비대칭 양상도 보여
다방면을 고려한 맞춤 치료를 진행하기로 했습니다.
돌출입은 적어도
1년 7개월에서 2년 이상은 바라보고
진행하셔야 하는데,
돌출 양상이 심하다면
더 오래 걸릴 수 있다는 점도 알고 계셔야 합니다.
그래서 교정 외에 다른 치료까지 진행해야 한다면
교정기를 부착하고 난 다음
추가 술기를 받는 것이 좋습니다.

때문에 해당 환자분께서는
치아교정 장치를 전체적으로 먼저 부착 후
어금니 신경치료를 진행하였습니다.
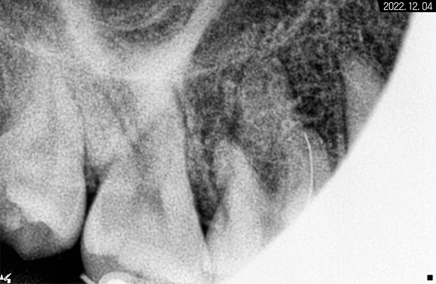
보통 어금니는 뿌리가 3~4개인 경우가 많아
신경 치료 시간이 조금 더 오래 걸리고
뿌리 형태도 휘어진 곳이 많다보니
앞니보다 난도 높은 술기에 해당합니다.
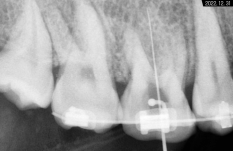
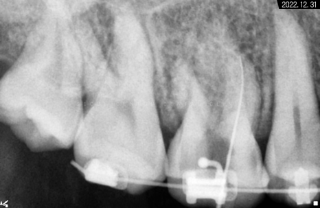
*기다란 막대기는 뿌리 끝 길이를
측정하기 위해 사용한 도구입니다.



교합면 우식을 제거하면서 근관 입구에 접근 후
근관장 길이 측정과 오염원 소파 및
소독 재료를 이용해서
근관을 멸균 상태로 만들고
그 후 안정 물질로 뿌리 끝까지
꼼꼼하게 메꿔드렸습니다.


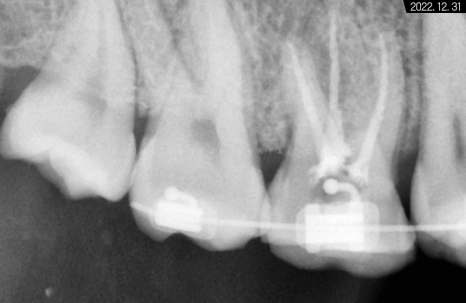
그렇게 해서 3개의 뿌리가
흰색으로 잘 완성된 것을 볼 수 있습니다.
충전재로 잘 채워져 있고
레진으로 밀봉까지 마무리해두어서
하얗게 보이고 있는 것입니다.
다행히 뿌리가 막혀있지 않고
곧게 뻗어 있어서 간단하게 마칠 수 있었습니다.
미니스크류 사용
치의학에서 아주 효과적인 재료 중 하나가
바로 미니스크류인데요.
미니나사, 미니임플란트라고도 불리는 이 재료는
효과적으로 치아 각도, 회전,
전돌, 이동 등을 도와주기 때문에
치아교정 시 꼭 필요합니다.
힘을 잘 받게 만들어주는
고정원 역할인 만큼
전체 교정 기간을 줄일 수 있어서
환자분 입장에서도 유리하죠.


이 같은 미니스크류를
치아 상실된 부위에 식립하였습니다.
와이어에 파워체인을 연결해서 당기면
힘도 잘 받고 원하는 방향으로
움직이기에 용이해져서
더 좋은 결과를 만들 수 있습니다.
종종 잇몸 구멍을 걱정하는 분이 계시는데,
제거 후 하루 이틀 정도면 구멍이 막히니
전혀 걱정하실 필요가 없습니다.
또, 식립할 때 통증도 거의 없다시피 하기 때문에
불편함도 덜하실 겁니다.^^

환자분께서는 치성, 잇몸 전돌 양상이
심한 편이셨기 때문에
양쪽에 미니스크류를 심고
파워체인을 걸어 조금 더 힘을 주었습니다.

빈자리에 고정원이 잘 심어진 것이 보이시죠?
아직은 기대 이상의 결과물이 나온 상태는 아니지만
브라켓도 떨어지지 않고 잘 유지되고 있어
지켜보기로 했습니다.

돌출감을 어느 정도 해소한 후
교합을 맞추기 전에
임플란트 과정을 시작하는 것이 좋습니다.
그래야 기간과 교합 측면에서
더 좋은 결과를 얻을 수 있습니다.


따라서 적정 시기에
CT를 촬영해 치조골 폭과 밀도를
철저하게 분석한 다음 정확한 자리를 선정하고
임플란트 식립을 진행했습니다.

하악 좌측 사랑니 발거 후
임플란트가 필요한 부분들에
픽스처를 견고하게 식립해 드렸습니다.


일정 기간이 지난 후 고정력을 체크하고
지대주에 이어서
크라운까지 예쁘게 수복해 드렸습니다~



크라운으로 감싸고 난 후의 치근단 모습입니다.
정확한 간격으로 견고하게 심어졌으며
주변 치조골 양도 풍부합니다.




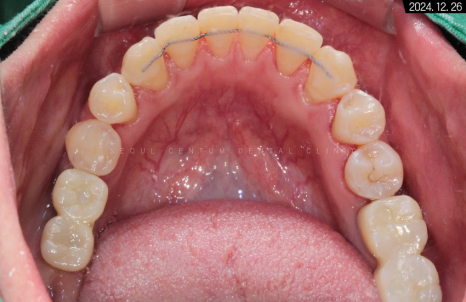
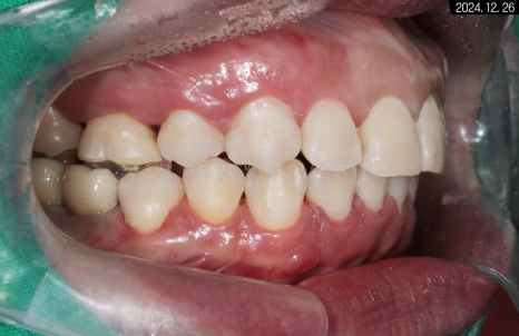
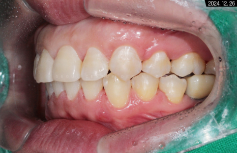
유지장치를 부착하고 난 후의 악궁 사진입니다.
수평 피개가 해소되었기 때문에
측면에서 봐도 중심선이 바릅니다.
둥글게 변하면서
교합 상태가 이상적인 모습을 보이네요.

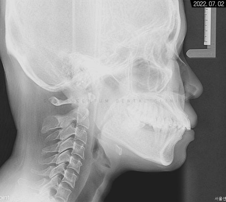
세팔로 사진으로 보면 전돌 해소가
더 확실하게 된 것을 볼 수 있어요.
에스테틱 라인도 좋아지고
전체적으로 부드러워진 비율이 나타나고 있습니다.
입술이 예전보다 슬립한 형태가 되기도 하셨고요.


이번에는 돌출입 및 신경치료와
임플란트 식립을 동시해 진행한,
말 그대로 복합 진료한 증례를 공개해 드렸습니다.
교정 기간 동안 치아교정 외에도
신경치료와 임플란트까지 진행하면서
시간을 절약할 수 있게 되었습니다~
이와 같이 다방면의 진료가 필요하신 경우
구강 상태에 따라 가능할 수도 있으니
치아 교정, 그외 치료 과목과 관련한
문의사항이 있으시거나 진료가 필요하시면
전화나 댓글 남겨주시길 바랍니다.