아카이브 요약
이 페이지의 역할
서울센텀치과의원 신사역의 네이버 블로그 원문을 보존한 아카이브 페이지입니다. 대표원장 증례 이야기 카테고리의 신사역치과 발치후 임플란트 시술과정 30대 남성 케이스 글을 통해 병원의 한국어 정보 제공 방식과 진료 관련 안내 톤을 확인할 수 있습니다.
원문 검증
필요하면 원문 블로그와 병원 프로필로 바로 이동해 문맥을 다시 확인할 수 있습니다.
출처 아카이브 열기아카이브된 블로그 글
서울센텀치과의원 신사역 · Naver Blog
발치 후 임플란트 시술과정 30대 남성 케이스 오늘 소개드릴 사례는 임플란트를 하러 오신 남성 환자분입니다. 오자마자 단호하게 말씀하신 부분은 "이거 바로 당장 빼고 임플란트 해주세요." 30대 분이시기에 조금 이른 나이 치아관리가 안 되어 임플란트를 진행하게 된 케이스입니다. 치아가 불편감을 느낀지 이미 오래되었...
게시일
2025년 8월 4일
원문 기준으로 확인된 발행일입니다.
카테고리
대표원장 증례 이야기
원문 블로그 카테고리를 정리해 함께 표시합니다.
이미지 수
13
현재 아카이브에 연결된 이미지 수입니다.
아카이브 요약
서울센텀치과의원 신사역의 네이버 블로그 원문을 보존한 아카이브 페이지입니다. 대표원장 증례 이야기 카테고리의 신사역치과 발치후 임플란트 시술과정 30대 남성 케이스 글을 통해 병원의 한국어 정보 제공 방식과 진료 관련 안내 톤을 확인할 수 있습니다.
원문 검증
필요하면 원문 블로그와 병원 프로필로 바로 이동해 문맥을 다시 확인할 수 있습니다.
출처 아카이브 열기발치 후 임플란트 시술과정 30대 남성 케이스
오늘 소개드릴 사례는 임플란트를
하러 오신 남성 환자분입니다.
오자마자 단호하게 말씀하신 부분은
"이거 바로 당장 빼고 임플란트 해주세요."

30대 분이시기에 조금 이른 나이
치아관리가 안 되어 임플란트를
진행하게 된 케이스입니다.
치아가 불편감을 느낀지 이미 오래되었다 보니
빨리 치료하고 싶은 마음이 앞서신 것 같았습니다.
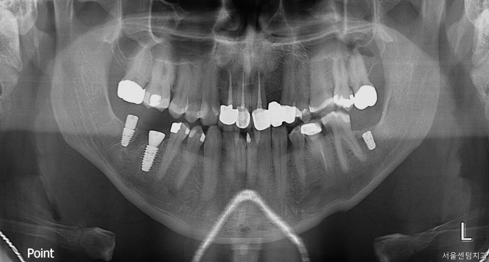
바로 파노라마 촬영을 진행하였습니다.
문제가 있던 치아는 #46번 치아는 깨져서 오셨고
#47번은 안좋아서 이미
발치 하신지 좀 되셨다고 하셨습니다.
반대편 #37번도 안좋아서 발치 하셨는데
계속 치아가 없는 상태로 있다보면
그 위에 맞닿아 있는 #17번 #27번 치아도
내려올 수 있는데 이미 조금 정출되어 보여
빨리 임플란트를 하시는 걸로 얘기드리고 당일날
바로 수술 진행하였습니다.
시술과정 진행 계획
아직 젊은 분인데도 불구하고
골폭이 부족해 뼈이식은 필요한 상황이었습니다.
당연히 수술은 환자분은 최소로
진행하고 싶어 하셨고요.
두 치아 다 이종골로 선택하셨고 수술은 1회로
가능한 케이스여서 1회로 진행 계획을 세웠습니다.
발치 후 임플란트 진행하게 된 케이스인데
단단한 해면골 + 얇은 피질골 상태였고
보통 어금니에서 흔한
전형적인 케이스의 경우라고 볼 수 있습니다.
오른쪽 아래는 보철 올라갈 시기는
2개월 후로 설정 후에
반대편도 바로 또 약속 잡아서 진행하셨습니다.
#37번은 발치가 이미 되어있었는데요.
여기는 생각보다 뼈가 더 없어서
뼈이식을 더 많이 하고 진행하게 되었습니다.
그래서 식립 후 힐링이 아닌 커버 스크류를 써서
좀 더 뼈랑 잘 유착이 되도록 만들었습니다.
여기는 좀 더 기다려야 할 것 같아
3개월 뒤 2차 OP 진행하기로 하였습니다.

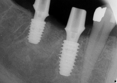
엑스레이 상에 보이는 것처럼 오른쪽 아래
#46 #47번은 힐링으로 지금 되어 있어
잇몸밖으로도 힐링이 보이고
#37은 커버스크류로 되어 잇몸 안에 있어
간혹 환자분들이 식립 후에 입안에서
안보이신다고 하시기도 합니다.
그래서 수술이 끝나고 엑스레이 촬영을 다시 하여
수술 성공 여부와 환자분께 확인시켜드리려
다시 한번 설명드리고 있습니다.
2주 뒤 경과 체크를 위해 다시 방문을 하셨습니다.
수술 경과도 좋고 잇몸도 잘 아무셨습니다.
5주차 임플란트 증상 체크와 충치치료
2주가 또 지나고 난 뒤에 방문하셨을 때는
치석이 많이 누적이 되어있어서
치석 제거를 진행했습니다.
이날은 처음 오셨을 때 치료 계획의 하나인
앞니 치료 오른쪽 아래 첫번째 치아
41번 치아의 인접면 레진 치료를 하기로 하셨습니다.
크기가 엄청 큰 충치는 아니었지만
진행이 되고 있는 충치로 발견되어
레진 수복 치료를 진행했습니다.
충치로 파인 부분을 수복을 위한 형태를
만들기 위해 드릴로 깨끗이 충치를 제거한 후에
충전재가 잘 붙어 있을 수 있도록
형태를 다듬습니다.
충치가 싶은 경우에는 신경에 가까운
부분을 보호하기 위해서 완충재를 먼저
깔아주는 과정을 거치는데요.
신경에 많이 가까울수록 베이스 깔고
레진 순서로 충전을 합니다.
충치 제거 후에 레진을 충전하였습니다.
그 다음 다듬어 주는 과정이 필요한데요.
레진 충전 후에 표면을 다듬는 단계가 필요합니다.
치아끼리 자연스럽게 이어지도록
잘 다듬어 주어야 합니다.
그렇지 않을 경우 음식물이 쉽게 잘 끼거나
잇몸이 자극 받을 수도 있고
착색이 일어나거나 가장 위험한
교합이상이 일어날 수 있습니다.
충전물을 다듬는 연마하는 과정은
매우 중요한 과정이라고 할 수 있겠네요.
두 달 뒤 픽스쳐 레벨 인상채득 및 상태점검
경과를 보기 위해 내원을 하셨는데요.
경과만 보러 온 게 아닌 픽스쳐 레벨
인상채득차 경과차 방문을 하셨습니다.
임플란트 픽스쳐(뼛속에 식립된 본체의 위치)를
정확하게 본뜨기 위한 인상채득 방법인데요.


뼛속에 식립된 본체에 인상용 부품을 연결해서
입안에서 본을 뜨면
픽스쳐 위치와 방향이 복제가 됩니다.
이 기준을 가지고 보철물을
정밀하게 제작하게 됩니다.
ISQ 측정을 진행했는데 임플란트와 뼈가
얼마나 잘 붙어있는지 고정력 체크를 하는데
전용 장비가 있습니다.
진동으로 체크를 하여 안정도 수치를
확인할 수 있어 이를 보고
임플란트 경과를 확인이 가능합니다.
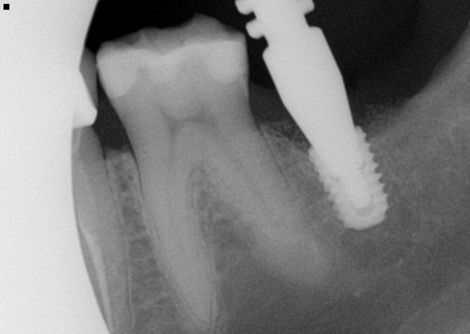
또한 치근단 촬영을 진행해 치아 전체적으로
주변 뼈를 자세히 촬영하여
여러 상태 확인을 합니다.
픽스쳐의 위치, 골유착여부, 보철물 체결 상태,
피개나 파절 여부를 확인했습니다.
일주일 뒤에는 보철물 체결을 위해
방문하시게 되었습니다.
임플란트 크라운 장착
드디어 긴 치료 끝에 임플란트 크라운을
장착하는 날이기에 환자분의
얼굴이 밝아짐을 느꼈습니다.


46번과 47번 치아에 어버트먼트를 장착한 후
스크류를 조이고 지르코니아 크라운을
장착하게 됩니다.
장착한 후에는 교합을 명확하게
확인할 필요가 있습니다.

치주인대를 한 번 더 확인하고
임시 접착 후 레진홀 충전을 진행합니다.
#37번 치아의 경우 다음 방문 시에 씨티 촬영 후
2차 수술 여부를 결정하기로 하였습니다.
한 달 뒤에 진행하게 된 2차 수술
씨티로 촬영하여 경과를 파악한 결과 2차 수술을
다음번에 해야 하는 상황으로 진단이 되었습니다.

씨티 체크 후에 다음 방문에 2차 OP를
진행하기로 결정했습니다.
아무래도 여기도 빨리 보철물이 올라갔으면
하시는 것 같아 조금 실망하신 듯 했지만
기다림의 필요성에 대해서
자세히 설명드리니 이해하셨습니다.
2차 수술 후
임플란트 코핑 연결 상태를 확인한 뒤에
픽스쳐 레벨 인상 채득을 진행했습니다.

1주일 뒤
임플란트 크라운 보철물을 장착 후 2달 후
경과 체크를 하기로 했는데요.
보철 진행 후 체크해보니 왼쪽에 통증을 느끼고
계셔서 30번대 라인 교합 조정 후 괜찮은지
체크가 필요한 상황이었고
40번대의 경우 치아에 음식물이 끼거나
하여 통증이 느껴지는 것은 아닌지 체크하였습니다.

간혹 치아가 오랫동안 없으시다가
치아가 들어가면 그 주위 또는 위에 치아가
저작활동을 하면서 잠깐 불편해 하시는
경우가 있습니다.
이는 반대편 치아가 없다가 생겨서 씹히면서
생기는 일시적인 느낌이시니 너무
걱정 안하셔도 되시는 증상입니다.
이 부분 조정 후에 2주 후 추가
재체크 진행이 들어갔습니다.
큰 특이사항은 없었고 6개월 정기검진 일정만
잡아드렸습니다.
이번 임플란트 치료의 경우 발치부터
식립, 보철의 장착, 교합조정까지
짧다면 짧고 길다면 긴 3개월이라는
시간 동안 이루어졌습니다.

치아 하나를 다시 심고 만들어 내는데
적지 않은 시간과 노력이 필요한데요.
환자분이 이런 치료 일정 소화를 잘 해주신 덕에
좋은 경과를 얻을 수 있었습니다.
임플란트는 하는 것만이 중요한 게 아니라
어떻게 잘 유지를 하느냐에 따라
수명이 달라질 수 있습니다.

치아 없으면 임플란트 교체하면 되지
간단하게 생각할 문제가 아니기에
꼭 꼼꼼하게 사후관리까지 할 수 있는 곳으로
선택을 하시기를 바랍니다.
신사역 치과는 무작정 치아를
발치 후 임플란트 하지 않습니다.
각 환자별로 현재의 상황에 따라 맞는
진단 및 진료만 진행합니다.
20대 임플란트 가격 후기 비용
임플란트 순서 어디부터 할까요
