서울센텀치과 (신사역)
임플란트 틀니 가격 치과마다 다른 진짜 이유가 있다?
임플란트 틀니 가격이 치과마다 달라 의아해요. 치아 상실은 음식 저작을 충분히 하지 못해 영양 불균형과 소화불량을 불러오기도 하고 부정확한 발음으로 얼굴 윤곽 변화가 일어나 자신감이 하락되는 등 다양한 불편을 야기할 수 있습니다. 특히 많은 치아가 상실된 경우라면 더더욱 그 문제는 커질 겁니다. 대안으로 임플란트틀니를...
아카이브 요약
이 페이지의 역할
서울센텀치과 (신사역)의 네이버 블로그 원문을 보존한 아카이브 페이지입니다. 임플란트 카테고리의 임플란트 틀니 가격 치과마다 다른 진짜 이유가 있다? 글을 통해 병원의 한국어 정보 제공 방식과 진료 관련 안내 톤을 확인할 수 있습니다.
임플란트 틀니 가격이 치과마다 달라 의아해요.
치아 상실은 음식 저작을 충분히 하지 못해
영양 불균형과 소화불량을 불러오기도 하고
부정확한 발음으로 얼굴 윤곽 변화가 일어나
자신감이 하락되는 등
다양한 불편을 야기할 수 있습니다.
특히 많은 치아가 상실된 경우라면
더더욱 그 문제는 커질 겁니다.

대안으로 임플란트틀니를
알아보시는 분들이 계세요.
사람에 따라 치료 계획이 달라질 수 있고
치과마다 비용도 다르기 때문에
어느 지역의 어떤 치과를 가서
치료를 받아야 할지 고민되실 겁니다.
이 치료 방법에 대해 정확히는 모르나
좋다고는 생각하시는 분들도 계시고요.
정확히 어떤 치료일까요?
자세히는 모르시는 분들을 위해
지금부터 설명드리려고 해요.

임플란트틀니라는 건 이름과 같이
임플란트와 틀니의 기능이 결합된 치료입니다.
2~6개 정도의 임플란트를 식립한 뒤
그 위에 틀니를 고정하는 방식이에요.
이 방식을 적용하면 일반적인 틀니에서
느낄 수 있는 헐거움이나
탈착 시의 번거로움을 크게 낮출 수 있습니다.
임플란트의 강한 저작력도 누릴 수 있으니
틀니를 하기에는 불편하고
모든 치아를 임플란트 하기에는
부담되시는 분들께 안성맞춤이라고 할 수 있죠.
여러 장단점이 있다? 치료받기 전 확인해 보세요
일반적인 틀니와 비교했을 때
많은 장점을 갖고 있지만
단점도 몇 가지 있습니다.

장점
- 임플란트 틀니는 고정력이 우수해
일반 틀니처럼 쉽게 빠지지 않습니다.
- 강한 저작력을 갖고 있어
치아 상실로 잘 못 드셨던 음식을
더 편히 섭취하실 수 있습니다.
- 장시간 입을 움직여도
이물감과 무게감이 적습니다.
- 입모양과 표정이 자연스러워져
자신감을 회복할 수 있습니다.
단점
-
일반 틀니보다 비용이 높습니다.
-
임플란트 식립이 추가적으로 필요합니다.
-
틀니 제작+임플란트 식립으로 인해
치료 과정과 소요되는 시간이 깁니다.
5~7년에 한 번씩 교체가 필요할 수 있습니다.
(임플란트와 틀니를 연결하는 부품이
마모됐을 때에도 교체가 필요할 수 있습니다)
이 치료 방식이 본인은 괜찮다고 해도 전신 건강
상태에 따라 가능 여부가 달라질 수 있기 때문에
사전에 충분한 상담과 검사로
적합 여부를 반드시 확인해야 해요.
당뇨병, 골다공증, 고혈압과 같은 전신질환이 있는
환자는 치료를 시작하기 전까지
며칠간은 약물 중단과 같은 방법을
시행해야 할 수 있으므로 더더욱 필수입니다.
가격이 궁금하시죠?비용이 제각각인 이유도 알려드립니다

가장 궁금해 하실만한 비용은
300~700만원 정도로 형성돼있어요.
가격 편차가 크죠?
이는 임플란트 식립 개수, 브랜드와 재료,
의료진의 숙련도 등에 따라 달라지기 때문입니다.
치과가 있는 지역이 대도시인지
소도시인지에 따라 달라지기도 해요.
경쟁이 치열한 대도시는 가격이 비교적 낮지만
소도시면 반대로 가격이 비교적 높습니다.
전체 임플란트를 식립할 때와 비교하면
어느 지역에서 진행하든
상당히 경제적인 선택이라고 할 수 있습니다.
치과 선택 기준에 대하여

단순히 비용만을 기준으로 선택하기보다는
치료 방식이나 사후 관리까지
종합적으로 고려한 선택이 필요합니다.
우선 풍부한 치료 경험을 가진
의료진이 상주해있는지 확인해 봐야 합니다.
정밀 진단을 통해 잇몸뼈가 충분하게 있는지
구강 구조는 어떤지 확인한 후 치료를 진행하면
성공 가능성이 높아질 수 있습니다.
사용하는 임플란트의 브랜드 및 재료,
틀니 제작 방식도 치료 결과에 영향이 있습니다.
임플란트의 경우 워낙 다양한 브랜드와
재료가 있으며 그 재료마다 특징이 다르므로
상황에 따라 고심해 선택하는 것이 좋습니다.
틀니는 구강 구조와 맞춤으로 제작해야
힘이 골고루 분산되어 저작 시 문제가 없고
자체적인 수명도 늘어날 수 있습니다.
마지막으로 문제가 생겼을 때 즉각적으로
해결할 수 있어야 하기 때문에
A/S 시스템이 잘 구축되어 있는지
면밀하게 파악하는 것도 중요합니다.

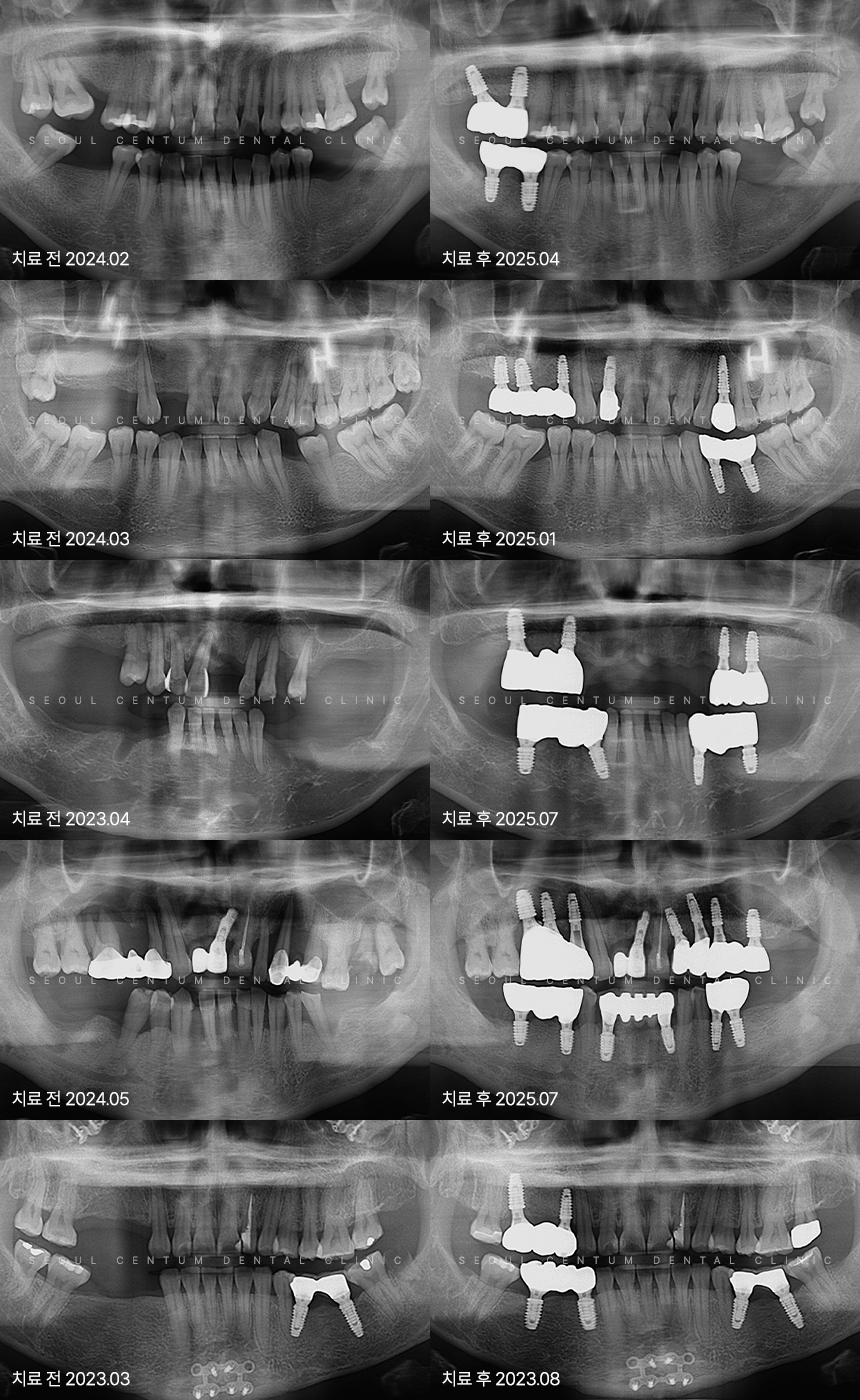
임플란트 실제 사례
임플란트 틀니는 일반적인 틀니의
불편함은 줄이면서도 전체 임플란트의 부담은
덜어낼 수 있는 선택지라고 볼 수 있어요.
현 상황에서 임플란트만 하는 게 훨씬 좋을
가능성도 있으니 치과 선택 기준을 참고하여
신뢰할 수 있는 치과를 찾고 맞춤 진단
& 상담으로 꼭 맞는 치료 계획을 세우세요.

빠른 내원 결정은 편안한 일상에 한걸음
더 빨리 가까워질겁니다.
앞니임플란트 비용?
임플란트 치약 아무거나 괜찮나요
임플란트틀니나 그 외 다른 문의사항이 있으시면
언제든지 연락 주세요.
친절하고 자세히 안내해 드리겠습니다.
더 보기
이 병원의 공개 콘텐츠를 계속 살펴보세요
출처 아카이브로 돌아가 더 많은 글을 보거나, 병원 프로필로 이동해 다른 공개 채널도 함께 비교해보세요.