아카이브 요약
이 페이지의 역할
서울센텀치과의원 신사역의 네이버 블로그 원문을 보존한 아카이브 페이지입니다. 충치/치주 카테고리의 치경부마모증 가격 gi 레진 갈색치아 원인 통증 글을 통해 병원의 한국어 정보 제공 방식과 진료 관련 안내 톤을 확인할 수 있습니다.
원문 검증
필요하면 원문 블로그와 병원 프로필로 바로 이동해 문맥을 다시 확인할 수 있습니다.
출처 아카이브 열기아카이브된 블로그 글
서울센텀치과의원 신사역 · Naver Blog
치경부마모증 들어보신적 있으신가요? 어디서 많이 들어는 봤지만 정확하게 어떤 치료가 필요한건지 그게 지금의 내 상황인건지 잘 구분을 못하시는 경우도 많이 있는데요. 40대 이상부터는 흔한 치경부마모증 어떤건지 한번 오늘 살펴볼게요. 내가 10대 20대 30대다 하시는 분들은 집에가서 부모님 치아 한번씩 확인해보시면 좋...
게시일
2025년 11월 17일
원문 기준으로 확인된 발행일입니다.
카테고리
충치/치주
원문 블로그 카테고리를 정리해 함께 표시합니다.
이미지 수
16
현재 아카이브에 연결된 이미지 수입니다.
아카이브 요약
서울센텀치과의원 신사역의 네이버 블로그 원문을 보존한 아카이브 페이지입니다. 충치/치주 카테고리의 치경부마모증 가격 gi 레진 갈색치아 원인 통증 글을 통해 병원의 한국어 정보 제공 방식과 진료 관련 안내 톤을 확인할 수 있습니다.
원문 검증
필요하면 원문 블로그와 병원 프로필로 바로 이동해 문맥을 다시 확인할 수 있습니다.
출처 아카이브 열기치경부마모증 들어보신적 있으신가요?
어디서 많이 들어는 봤지만
정확하게 어떤 치료가 필요한건지
그게 지금의 내 상황인건지 잘 구분을
못하시는 경우도 많이 있는데요.
40대 이상부터는 흔한 치경부마모증
어떤건지 한번 오늘 살펴볼게요.

내가 10대 20대 30대다 하시는 분들은
집에가서 부모님 치아 한번씩
확인해보시면 좋을 것 같습니다.
바로 나이가 들면서 눈에 띄게 보이기
시작하는 갈색 치아에 대해서
살펴보도록 할게요.
치경부마모증이란?
치경부 마모증은 40대 부터는 흔하게
볼 수 있는 생활 질환이라고도
할 수 있겠는데요.

거울로 딱 봤을 때 치아와 잇몸이 맞닿는
경계부분의 색상이 갈색이거나
패여있는 느낌이거나 누렇다 라는
색으로 보인다면 바로
치경부 마모증일 수 있습니다.
치경부 마모증은 치아의 뿌리가
마모되었다 라는 뜻인데요.
실질적으로 환자에게 직접적인 통증이
느껴지는 증상은 아니기에
방치되는 경우가 많습니다.
하지만 실질적으로는 치아의 신경과
매우 가까운 위치일 수 밖에 없기에
더 진행이 되는 경우에 치아 시림이나
통증, 또는 더 심각하게 나아가
신경치료를 해야할 수도 있습니다.
초기에 발견한다면 간단하게
치료가 가능하고 치료비용도 저렴한데요.
그렇기에 초기 발견시 치과내원을
권장드리고 있습니다.
친구들 다 그렇지는 않던데 왜 나만?
물론 30대에서 40대가 되었다고 해서
모두가 치경부 마모증에 걸리는건 아닙니다.
이유가 있습니다.
양치질을 너무 세게 하는 경우에
칫솔 모를 너무 거친 친구를 사용하는 경우에
치아의 표면을 깎아낼 수 있습니다.
이갈이, 이악물기가 습관인 경우에도
이런 증상이 나타날 수 있는데요.
특히 이갈이 이악물기는 치경부 마모증 외에도
다른 문제를 일으킬 수 있으니 초기에 꼭
병원을 방문하시기를 바랍니다.

또 모든 사람들이 정확한 치아와 치아의
맞물림 즉, 교합을 가지고 태어나지는
않는 부분인데요.
특정한 치아에 힘이 가중된다던지
하는 경우에 치아 뿌리가 마모될 수 있습니다.
산성음식을 자주 즐겨 드시는 분도
문제가 될 확률이 높은데요.
탄산과 식초 과일즙 등 산성이 높은 음식을
계속 지속적으로 즐겨 섭취할 경우
치아의 마모가 진행 될 확률이 높습니다.
2030대에는 1020%정도 발생하고
4050대 사이에는 4060% 그 이상 발생하고
60대 이상에서는 70% 이상이니
거의 인생에서 한번쯤은
지나갈수도 있겠다 싶더라고요.
확실히 알 수 있는 방법은 없나요?
차가운 음식을 먹을 때 치아가 시리거나
찌릿한 통증이 있는지
양치할 때 잇몸쪽과
가까운 부위가 아프지는 않는지
치아 아래쪽이 v 모양으로 패이지 않았는지
잇몸이 내려가 치아 뿌리가 보이지 않는지
치아가 노르스름 또는 갈색빛인지

위에서 하나라도 해당이 된다면
빠른 시일 내에 가까운 치과를
방문하시는 것을 권장드립니다.
더 시간이 지체될 수록 통증이 생길 수 있고
낮은 가격에 간단히 치료할 수 있는 치료가
신경치료로 까지 커질 수 있습니다.
치료비용 얼마에요? gi? 레진?
치경부마모증 뭔가 명칭을 들었을때는
거창한 것 같고 큰일난 것 같고
큰 비용이 나오는 것은 아닌지
걱정이 되실 수 있겠습니다.

하지만 초기에는 이외로
간단한 치료로 해결이 가능한데요.
치아색과 동일한 재료로 마모가 된 부위를
메워서 형태를 만들어 시린증상을 막고
더이상 치아가 마모되는 것을 막아줍니다.
보통 치료를 하는 재료는 두가지로 나뉘는데요.
레진과 GI로 나뉩니다.
치과에서는 보통 레진을 더 많이 권유하는데요.
GI가 매우 저렴하다보니 의문을
가지실 수 있어요.
"더 비싼거로 왜 해야하지?"
GI는 레진에 비해 상대적으로 약한 재료라
치아를 조심해서 쓰지 않아
긴 케이스의 경우
그 습관을 버리기가 쉽지 않거든요.
강도가 약한 GI를 쓸 경우 또 마모가
쉽게 오거나 탈락되어 치과를 여러번
방문해야하는 번거로움이나
비용이 추가로 들 수 있는 부분이 있어요.
심미적으로도 치아 색깔과 레진이
더 흡사한 부분이에요.
특히나 앞니같은 경우는 보이는 부위라
심미적으로도 레진을 많이 권하는 편이에요.
GI는 보험적용이 될 경우 1만원대부터
받아보실 수 있는 부분이고요.
레진같은 경우는 5만원부터 15만원사이
가격대를 평균적으로 형성하고 있어요.
치료 걱정마세요

치아의 모양을 재료로 복원 하는 치료로
생각해주시면 되는데 통증이 없기에
마취도 하지 않는 진료에요.
보통 전체적이지 않는 이상은 10분~20분 사이
끝나는 진료라 간단한 치료죠.
그렇기에 더더욱 의심이 된다면
미룰 필요가 없는 치료에요.
시간이 지날수록 더 어려워지고
가격은 올라가고 통증은 심해질테니까요.
사실 심각한 질환은 아니나
가장 중요한 문제는 모르고 방치해
점점 질환이 커진다는 점이
가장 큰 문제가 되지 않나 싶어요.
그냥 약간 시리네 하고 넘어갔다가
치료시기를 놓쳐 치아 파절로 임플란트까지
가는 경우나 신경치료를 하는 경우도
꽤 많이 있는 편이거든요.
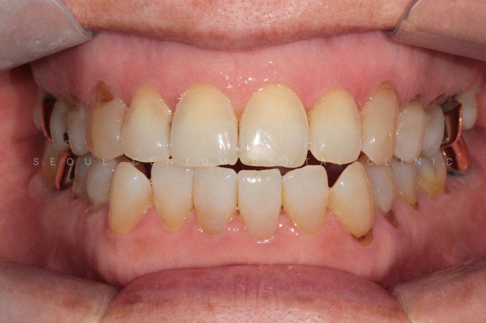
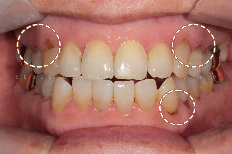
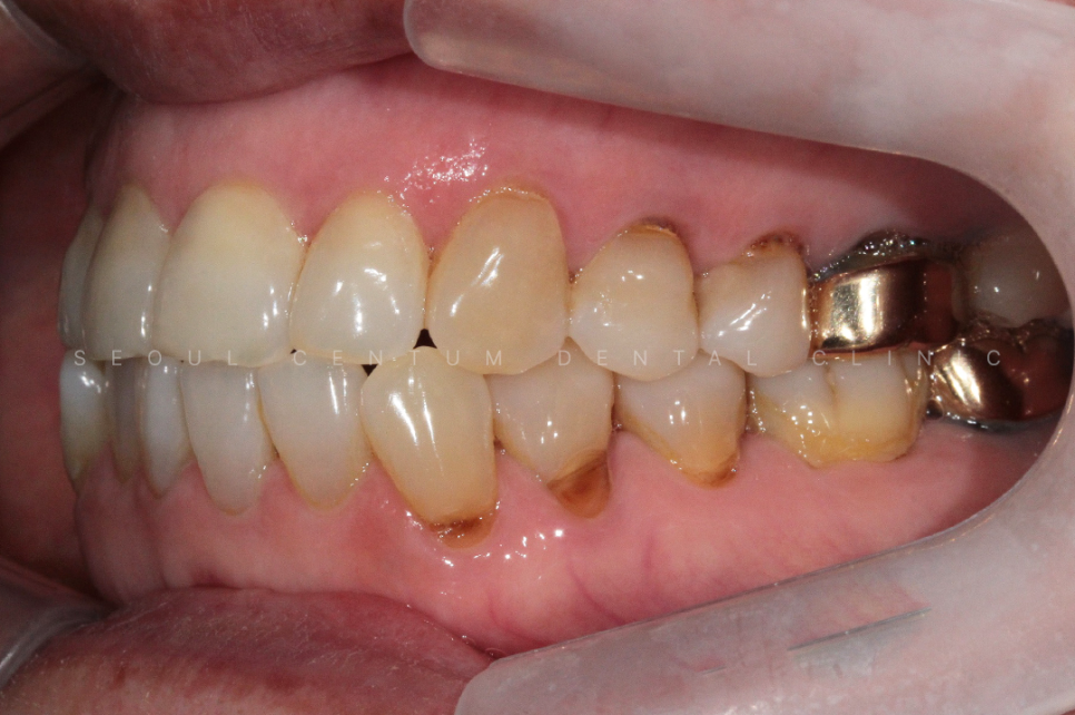
실제 사례
아래 사진은 실제 서울센텀치과에
치경부마모증이 뭔지 모르는 상태로
내원하셔서 치료를 하게 된 케이스인데요.



Previous image Next image
60대 여성으로 동네에 치과에 스케일링을
오랫만에 하러 갔다가
치아가 파였다는 말을 듣고
거울을 보고나니 치아가 보기 싫어져서
라는 이유로 내원을 하셨어요.



Previous image Next image
실제 육안으로 봤을 때도 크게
치경부마모증이 진행된 부분이 많았고
당일에 바로 진행을 하게 되었습니다.
크게 진행이 된 8개의 치아를 진행하기로 했고
강도가 강한 레진으로 진행해 오래
유지를 잘 해보시기로 이야기가 되어
레진으로 진행을 했습니다.



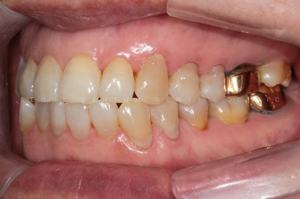
Previous image Next image
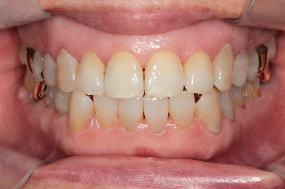
확실히 하고 안하고 심미적으로도
차이가 큰 편이기 때문에
하고나서 환자 본인도 만족도가 매우 높은
부분이라고 할 수 있겠습니다.
레진으로 깔끔하게 치료를 하니
심미적으로도 한결 보기 좋고
치아도 앞으로 보호가 되는 부분이라
안심하고 식사를 하실수가 있겠는데요.
이렇듯 하루에 문제가 해결되는
간단한 치료이며 외관적으로도
만족도가 굉장히 높은 부분입니다.
물론 레진을 했다고 해서 영구적인게 아니며
생기게 된 원인이 개인 생활습관에 의해
생기는 경우가 많은만큼 본인에게
철저한 관리가 필요합니다.
기존에 생기게 된 안좋은 구강습관과
식습관 등을 한번 개선해보시길 바라겠습니다.
임플란트 음주 당일? 언제 가능한가요
임플란트 뼈이식 통증 과정 필요성은?
