아카이브 요약
이 페이지의 역할
서울센텀치과의원 신사역의 네이버 블로그 원문을 보존한 아카이브 페이지입니다. 충치/치주 카테고리의 치아패임 이대로 두어도 괜찮을까요 치경부마모증 레진치료 글을 통해 병원의 한국어 정보 제공 방식과 진료 관련 안내 톤을 확인할 수 있습니다.
원문 검증
필요하면 원문 블로그와 병원 프로필로 바로 이동해 문맥을 다시 확인할 수 있습니다.
출처 아카이브 열기아카이브된 블로그 글
서울센텀치과의원 신사역 · Naver Blog
치아패임 아프지 않으니까 괜찮겠지 하셨나요? 많은 분들이 평소에는 큰 통증을 느끼지는 못하고 약간의 시림증상이 있었으나 대수롭지 않게 여기다가 치과에 방문하고 나서부터 문제를 발견해 치료를 선택하시는 경우가 많습니다. BEFORE / AFTER 특히나 40대부터시작해 전 연령대에 통증이 크지 않으면서도 문제가 있는 경우는...
게시일
2025년 11월 30일
원문 기준으로 확인된 발행일입니다.
카테고리
충치/치주
원문 블로그 카테고리를 정리해 함께 표시합니다.
이미지 수
17
현재 아카이브에 연결된 이미지 수입니다.
아카이브 요약
서울센텀치과의원 신사역의 네이버 블로그 원문을 보존한 아카이브 페이지입니다. 충치/치주 카테고리의 치아패임 이대로 두어도 괜찮을까요 치경부마모증 레진치료 글을 통해 병원의 한국어 정보 제공 방식과 진료 관련 안내 톤을 확인할 수 있습니다.
원문 검증
필요하면 원문 블로그와 병원 프로필로 바로 이동해 문맥을 다시 확인할 수 있습니다.
출처 아카이브 열기치아패임 아프지 않으니까 괜찮겠지 하셨나요?
많은 분들이 평소에는 큰 통증을
느끼지는 못하고 약간의 시림증상이 있었으나
대수롭지 않게 여기다가
치과에 방문하고 나서부터 문제를 발견해
치료를 선택하시는 경우가 많습니다.


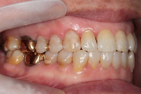
BEFORE / AFTER
특히나 40대부터시작해 전 연령대에
통증이 크지 않으면서도 문제가 있는 경우는
바로 치아패임인 경우가 많습니다.


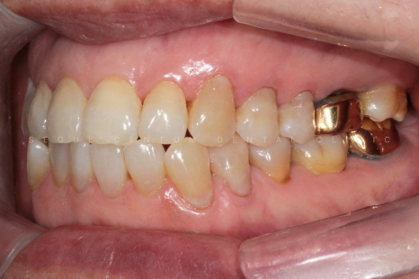
BEFORE / AFTER
심한 경우에 방문을 하실 경우에는
찬 음식을 먹거나 마셨을 대
치아가 저릿하거나 시리는 등의
증상을 겪고 방문을 하시고는 해요.
원인은 치아패임 = 치경부마모증
치아패임 아직 뭐 부러진다던지
치아가 똑 떨어져나갔다던지
그런 경우가 아니기 때문에
대수롭지 않게 여기실 수 있는데요.

물론 현 상황 자체가 심각하다 라고
보기보다는 그대로 두면 심각해진다
라고 보는 것이 맞겠습니다.
겉으로 봤을때는 그냥 오래 치아를
사용했다 보니 치아가 살짝 닳은 정도로
보여질 수 있으나 이게 점점 닳아갈 경우
문제가 커질 수 있어요.

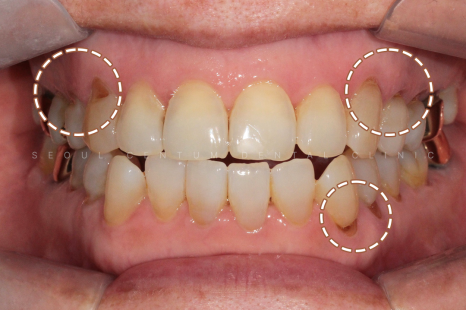
치아 패임은 대부분 치아 뿌리 쪽부터
시작이 되는 경우가 많은데
이를 치경부 마모증이라고 부릅니다.
이렇게 점점 치아가 노출이 되면
작은 자극에도 시림이나 통증이 느껴질 수 있고
심할 경우에는 뿌리가 드러나
발치 후 임플란트를 해야할수도 있어요.

치아 뿌리면이 닳는 것이기 때문에
치아가 똑 하고 뿌러질 가능성도 있습니다.
치아패임 원인은?
치아 패임은 양치를 너무 세게 해서
치아의 뿌리부분이 가장 강하게
힘이 닿다보니 그런 경우도 있고요.

씹는 힘이 불균형한 교합일 경우
치아의 뿌리 부분에 계속
압력이 닿을 수 있어요.

계속 힘을 받게 되면 조금씩 깨져나가듯
치아의 뿌리 부분이 닳을 수 있거든요.
치아 패임치료 레진 gi
치아패임을 치료하는 방법은
크게 2가지가 있어요.

보통 GI가 보험이 되는 재료라 많이
찾아보시기는 하는데요.
치과에서는 레진을 권하는 경우가 많아요.

그 이유는 강도와 색상 때문인데요.
GI = 글래스아이오노머는 레진에 비해
치아 색상과 차이도 있고
강도도 약한 편이에요.

레진으로 진행하는게 강도도 치아에서
탈락을 할 확률도 많이 낮기 때문에
권장을 하는 편입니다.

심미적으로도 치아 색상과 비슷하기에
하고나서의 만족도도 더 높은 편이에요.
치아패임은 눈으로 보이기는 하지만
통증이 다른 치아 고통에 비해 상대적으로
초기에 낮은 편이라 치료시기를 놓치는
경우가 더러 있습니다.
치아패임은 초기에 치료를 해야 치료 비용도
훨씬 저렴하게 해결이 가능합니다.

특히나 치아의 경우 손상 후 회복이 되는
신체 부위 자체가 아니기 때문에
초기에 치료하는게 2차 치료, 3차치료를
막을 수 있는 방법입니다.


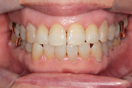
BEFORE / AFTER
소 잃고 외양간 고쳐야 소용이 없기에
치아의 문제는 꼭 초기에 발견시에
바로 치과에 방문해 치료를 받으시기를
권장드리고 싶습니다.
송희쌤 수욜글
임플란트 식립실패 미리 알아야할 것들
