서울센텀치과 (신사역)
임플란트 재수술 실패가 아니라 처음 선택의 문제일 수 있습니다
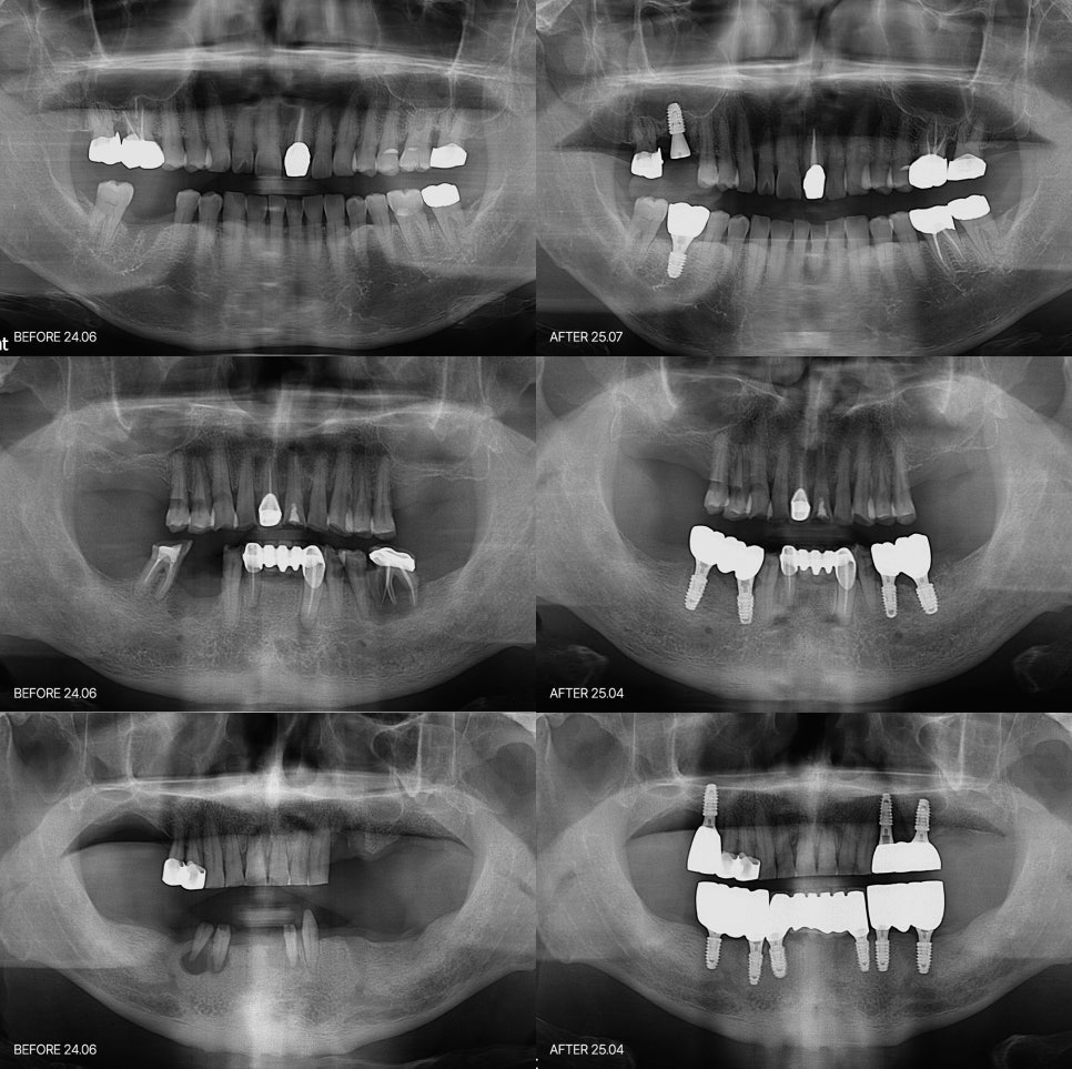
임플란트 재수술 알아보고 계시는가요? 치과에 있다보면 은근히 처음오신게 아닌 이미 수술을 했다가 잘못되어 찾아다니시는 분들이 꽤나 많이 있는 편입니다. "한지 1년 밖에 안됐는데요" 라고 서두를 꺼내시는 분들이 은근 많습니다. 임플란트 상담을 하러 오셨는데 이런 경우가 나한테 없을 것 같지만 꽤 많은 케이스입니다....
아카이브 요약
이 페이지의 역할
서울센텀치과 (신사역)의 네이버 블로그 원문을 보존한 아카이브 페이지입니다. 임플란트 카테고리의 임플란트 재수술 실패가 아니라 처음 선택의 문제일 수 있습니다 글을 통해 병원의 한국어 정보 제공 방식과 진료 관련 안내 톤을 확인할 수 있습니다.
임플란트 재수술 알아보고 계시는가요?

치과에 있다보면 은근히 처음오신게 아닌
이미 수술을 했다가 잘못되어 찾아다니시는
분들이 꽤나 많이 있는 편입니다.
"한지 1년 밖에 안됐는데요"
라고 서두를 꺼내시는 분들이 은근 많습니다.
임플란트 상담을 하러 오셨는데
이런 경우가 나한테 없을 것 같지만
꽤 많은 케이스입니다.

수술 직후에는 분명히 괜찮았으나
어느 순간 잇몸이 붓거나 피가나고
씹을 때 통증이 느껴진다던지
하는 경우가 생기기 시작한거죠.
이때 많은 분들이 다 비슷한 생각을 하십니다.
"내가 잘못한건가"
"비싸게 줬는데 어디가 잘못된거지"
이렇게 생각하실 수 밖에 없어요.
하지만 임플란트 재수술까지
오게 된 이유 그렇게 단순하지만은 않습니다.
임플란트 재수술이 필요한 진짜 이유
임플란트는 단순히 잇몸에 나사를 심어
치아를 만드는 것이 아닌데요.
뼈의 두께와 밀도, 위치, 씹는 힘의 방향까지
모두를 고려해서 설계되는
치료라고 볼 수 있습니다.

재수술 상담에서 다시 진단을 했을때
발견이 되는 부분중에 많은 케이스는
뼈가 충분하지 않은 경우
임플란트의 간격이 너무 가깝게 식립되어
시간이 지나면서 뼈가 흡수된 경우
잇몸뼈보다 너무 얕게 임플란트가 심어진 경우
씹는데 힘이 강한데 교합 조정이 부족했던 경우
이러한 경우에는 아무리 임플란트 후
관리를 잘한다고 해도 결과가
바뀌기는 어렵습니다.
모든 문제가 재수술이 되지는 않습니다

재수술 알아보러 오시는 경우 간혹 재수술이
꼭 필요한 경우가 아닌 경우도 있습니다.
잇몸 염증 단계에서 관리를 해서
다시 회복이 가능한 경우도 있고요.
위에 있는 보철물만 교체를 해도
해결이 되는 부분도 있습니다.
교합을 조정해서 괜찮아질 수 있는
케이스도 존재를 하고요.
문제는 이걸 구분하지 못해서
아예 다 처음부터 심고자 하는 것이
가장 더 문제가 될 수 있습니다.
재수술의 경우는 기존 임플란트 제거를
해야할 뿐 아니라 뼈이식도 해야하는
경우가 더 많이 있기 때문에 처음보다
더욱더 신중에 신중을 기해야 합니다.
재수술이 필요한 경우와 피할 수 있는 경우

재수술이 필요한 경우는
어떻게 보면 경계가 명확하다 할 수 있어요.
임플란트가 흔들리고 있는 경우
주변의 뼈가 녹고 있는 경우
반복적인 염증으로 통증이 있는 경우
이러한 경우에는 재수술을
피하기는 어려운 부분이에요.
반대로 겉에만 불편하게 느껴진다고 해서
큰 대수술인 재수술을 결정할 수는
없는 노릇이기 때문에 꼭
정밀 분석이 필요합니다.
임플란트 재수술하는곳은 더 신중하게 선택해야 합니다
처음 임플란트 할 때 재수술을 할 때
치과를 골라야하는 기준은
완전히 너무 너무 다릅니다.
특히 재수술에서는 더 신중하게
결정을 해야하는데
뼈의 상태를 잘 보는지
임플란트 제거시에 손상 없이
제거를 잘 할 수 있는 경우인지
이후 재발을 막는 설계를 잘 할 수 있는 곳인지
세가지를 잘 집중해서 봐야합니다.
가격만 보고 또 하게 된다면
실패할 확률은 당연히 올라갈 겁니다.
왜 문제가 생겼는지 잘 피드백 주고
안해도 되는것을 하지 않는 곳인지도
잘 봐야하는 부분이 있습니다.
서울에서 임플란트를 다시 고민하고 있다면
임플란트 재수술 상담하다보면
가장 많이 듣는 말이 처음부터 이렇게
설명을 들었으면 이런일이 없었을 것 같아요.
라는 말입니다.

임플란트는 그냥 한번하고 끝나는
치료가 아닌 계속해서 지속적으로
꾸준한 관리가 필요한 치료입니다.

특히 재수술이나 불안한 상태로
현재 고민중에 계시다면 현재의 문제
원인부터 차분히 설명해주는 치과에서
다시 시작해보시기를 바랍니다.
어금니 임플란트 왜 신중히 결정해야 할까?
이갈이보톡스 가격만 봐서는 안됩니다!
더 보기
이 병원의 공개 콘텐츠를 계속 살펴보세요
출처 아카이브로 돌아가 더 많은 글을 보거나, 병원 프로필로 이동해 다른 공개 채널도 함께 비교해보세요.