아카이브 요약
이 페이지의 역할
연세초록빛치과의원의 네이버 블로그 원문을 보존한 아카이브 페이지입니다. 치아 정보글 카테고리의 당산동 치과 : 레진 치료가 필요한 상황은 언제일까요? 초기 우식 & 앞니 벌어짐 & 파절 등 글을 통해 병원의 한국어 정보 제공 방식과 진료 관련 안내 톤을 확인할 수 있습니다.
원문 검증
필요하면 원문 블로그와 병원 프로필로 바로 이동해 문맥을 다시 확인할 수 있습니다.
출처 아카이브 열기아카이브된 블로그 글
연세초록빛치과의원 · Naver Blog
안녕하세요, 당산동 치과 입니다. 치아 진료 시 재료 선택에 있어서는 기능을 회복하는 것뿐만 아니라 얼마나 자연스러운지도 중요한 요소가 됩니다. 레진은 자연치 색과 비슷해 눈에 잘 띄지 않으면서도 충치부터 파절된 부위까지 폭넓게 활용되는 재료입니다. 이러한 특성 덕분에 많은 사람들이 부담 없이 선택할 수 있는...
게시일
2025년 10월 2일
원문 기준으로 확인된 발행일입니다.
카테고리
치아 정보글
원문 블로그 카테고리를 정리해 함께 표시합니다.
이미지 수
7
현재 아카이브에 연결된 이미지 수입니다.
아카이브 요약
연세초록빛치과의원의 네이버 블로그 원문을 보존한 아카이브 페이지입니다. 치아 정보글 카테고리의 당산동 치과 : 레진 치료가 필요한 상황은 언제일까요? 초기 우식 & 앞니 벌어짐 & 파절 등 글을 통해 병원의 한국어 정보 제공 방식과 진료 관련 안내 톤을 확인할 수 있습니다.
원문 검증
필요하면 원문 블로그와 병원 프로필로 바로 이동해 문맥을 다시 확인할 수 있습니다.
출처 아카이브 열기안녕하세요,
당산동 치과 입니다.
치아 진료 시 재료 선택에 있어서는
기능을 회복하는 것뿐만 아니라
얼마나 자연스러운지도 중요한 요소가 됩니다.
레진은 자연치 색과 비슷해
눈에 잘 띄지 않으면서도
충치부터 파절된 부위까지
폭넓게 활용되는 재료입니다.
이러한 특성 덕분에 많은 사람들이
부담 없이 선택할 수 있는 치료 방법으로
자리를 잡고 있습니다.

플라스틱 계열의 재료로
주로 충치나 심미 수복 시 많이 사용되나
교정을 할 때 접착제의 용도로도 많이 쓰입니다.
처음에는 부드러운 형태로 있다
특수한 빛을 쪼이면 딱딱하게 굳어지는
특징을 가지고 있습니다.
제일 큰 장점은 자연스러운 자연치의 색을
재현할 수 있다는 점으로

사람마다 치아 색이 조금씩 다른데,
이 재료는 여러 색으로 나누어져 있어
본인의 색에 비슷하게 맞춰 사용할 수 있습니다.
그래서 치료 후에도 어디를 했는지
차이가 나지 않아 심미성 또한 우수합니다.
당산동 치과 는 삭제량이
적다는 것도 큰 이점이라 생각하며
금이나 다른 금속 재료를 사용하려면
치아를 비교적 많이 삭제해야 되는데,
레진은 손상된 부위만 최소한으로 제거하기 때문에
건강한 조직을 최대한 보존할 수 있습니다.

초기 단계라는 것은 표면이
살짝 까맣게 변색된 정도를 말하며
이런 경우 썩은 부분만 제거한 후
그 공간을 레진으로 채워 넣게 됩니다.
색은 주변 인접치와 맞출 수 있기 때문에
앞니에 사용해도 티가 나지 않습니다.
다만 교합력이 강한 어금니에는
적합하지 않을 수 있으며
우식의 범위가 넓거나 깊을 때는
이 방법만으로는 부족할 수 있으니
정기 검진을 통해 초기에 문제를 찾는 것이 좋습니다.

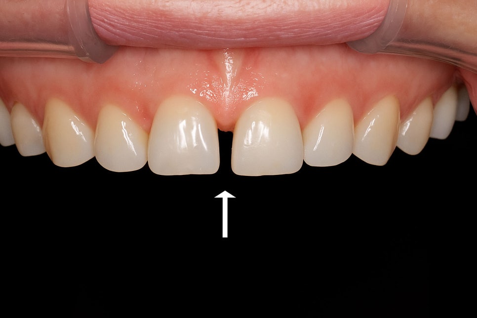
치아 사이가 벌어져 있는 것을
다이아스테마라 부르며
이는 특히 위턱의 정중앙 앞니 사이에서
자주 볼 수 있습니다.
선천적으로 생길 수도 있고
나이가 들면서 치주가 약해지면서 생기기도 합니다.
이런 공간이 있으면 발음을
제대로 하기 어려울 수 있으며
무엇보다 외모에 고민이 있을 거라 생각됩니다.
이때 치아를 깎지 않고 벌어진 사이 공간을 수복해
접촉점을 회복시켜볼 수 있습니다.
다만 벌어진 정도가 심하거나 잇몸 질환
및 심한 부정교합이 같이 있다면
다른 방법을 고려해야 될 수도 있습니다.
따라서 당산동 치과 는 의료진과의 진단이
선행되어야 됨을 말씀드립니다.
딱딱한 음식을 끊어 먹다
혹은 넘어지면서 앞니 끝부분 모서리가
깨지는 경우가 종종 있습니다.

이렇게 작게 깨진 경우 당장은 큰 문제는 없을 수 있으나
시간이 흐르면서 더 큰 손상으로 이어질 수 있으므로
레진을 덧붙여 원래의 모양과 비슷하게 수복해 줍니다.
하루 만에 치료를 마무리할 수 있어 당산동 치과 는
바쁜 현대인들에게도 도움이 되는 방법이라 생각합니다.
다만 파절 정도가 심해 신경에 가까워졌거나
노출되었을 때는 다른 방법이 필요합니다.

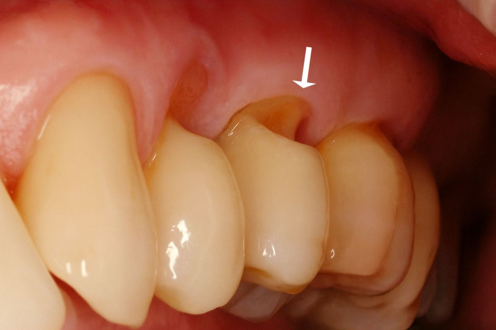
치아와 잇몸이 만나는 목 부위를 치경부라 하며
이곳이 V자 모양이나 쐐기 모양으로 패이는
현상을 치경부 마모증이라 부릅니다.
이는 주로 잘못된 칫솔질 습관이나
이갈이, 불균형한 교합으로 일어날 수 있습니다.
이곳이 패이면 차갑거나 뜨거운 것을 먹을 때
시릴 수 있으며 표면이 매끄럽지 못하고
거칠거칠하기 때문에 세균이 쌓여
우식이 생기기 쉬운 환경이 만들어지기도 합니다.
이런 마모증을 방치한다면 점점 더 깊게 패어
결국 신경에도 영향을 미칠 수 있으므로
조기에 대처하는 것이 중요합니다.
이때는 패인 부위를 수복하면
이시림을 개선할 수 있고
마모가 일어나지 않도록 막을 수 있습니다.
그러나 근본 원인을 해결하지 않으면
다시 생길 수 있으므로 당산동 치과 는
올바른 칫솔질 방법을 배우거나
습관을 개선하는 것을 권해 드립니다.

🔹 자연치의 색과 거의 동일하게 만들 수 있어
수복한 흔적이 눈에 띄지 않습니다.
🔹 또한 치료 과정이 간단하고 빠르며
보통 한 번의 방문으로 완료되며
바로 일상생활로 돌아갈 수 있습니다.
🔹 또한 비용도 저렴한 편이며
금속 알레르기가 있는 사람들도
안심하고 사용할 수 있습니다.
🔸 그러나 금속에 비해 강도가 약한 편이므로
딱딱한 음식을 자주 먹거나
이를 가는 습관이 있다면
깨지거나 마모될 수 있습니다.
🔸 또한 색소가 강한 음식을 자주 먹거나
흡연을 하면 변색될 수 있으므로
주의가 필요합니다.
구강 건강은 단순히 통증이 없는 것만을
의미하는 것이 아니며,
자신 있게 웃을 수 있고
편하게 음식을 먹을 수 있어야 됩니다.
작은 문제가 방치하지 말고
의료진의 검사를 받아 조기에
진료를 받아보시길 바랍니다.
당산동 치과 였습니다.
감사합니다.