아카이브 요약
이 페이지의 역할
연세초록빛치과의원의 네이버 블로그 원문을 보존한 아카이브 페이지입니다. 치아 정보글 카테고리의 라미네이트, 보존과 전문의에게 받아야 되는 이유를 당산역 치과 에서 알려드립니다. 글을 통해 병원의 한국어 정보 제공 방식과 진료 관련 안내 톤을 확인할 수 있습니다.
원문 검증
필요하면 원문 블로그와 병원 프로필로 바로 이동해 문맥을 다시 확인할 수 있습니다.
출처 아카이브 열기아카이브된 블로그 글
연세초록빛치과의원 · 소중한 자연치아를 지키는, 연세초록빛치과
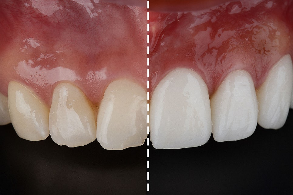
안녕하세요, 당산역 치과 입니다. 색이 변한 앞니가 신경 쓰이거나 크기가 제각각이라 마음에 들지 않은 분들 계시나요? 이런 이유로 자신 있게 웃지 못하거나, 사진을 찍을 때 입을 살짝 가리게 될 때가 많습니다. 요즘은 이러한 고민을 해결하기 위해 라미네이트를 찾는 분들이 늘어나고 있습니다. 특히 최근에는 치...
게시일
2025년 10월 10일
원문 기준으로 확인된 발행일입니다.
카테고리
치아 정보글
원문 블로그 카테고리를 정리해 함께 표시합니다.
이미지 수
6
현재 아카이브에 연결된 이미지 수입니다.
아카이브 요약
연세초록빛치과의원의 네이버 블로그 원문을 보존한 아카이브 페이지입니다. 치아 정보글 카테고리의 라미네이트, 보존과 전문의에게 받아야 되는 이유를 당산역 치과 에서 알려드립니다. 글을 통해 병원의 한국어 정보 제공 방식과 진료 관련 안내 톤을 확인할 수 있습니다.
원문 검증
필요하면 원문 블로그와 병원 프로필로 바로 이동해 문맥을 다시 확인할 수 있습니다.
출처 아카이브 열기안녕하세요,
당산역 치과 입니다.
색이 변한 앞니가 신경 쓰이거나
크기가 제각각이라 마음에 들지 않은 분들 계시나요?
이런 이유로 자신 있게 웃지 못하거나,
사진을 찍을 때 입을 살짝 가리게 될 때가 많습니다.
요즘은 이러한 고민을 해결하기 위해
라미네이트를 찾는 분들이 늘어나고 있습니다.
특히 최근에는 치아를 거의 깎지 않거나
최소한으로만 다듬는 방법이 주목받고 있습니다.
이는 얇은 도자기 재료를 치아 표면에 붙여
모양과 색을 개선하는 방법으로

당산역 치과 는 좀 더 쉬운 방법으로
손톱에 네일 팁을 붙이는 것과 비슷하다
설명해 드리곤 합니다.
여러 경우에 적용할 수 있는데,
먼저 커피나 담배로 색이 변한 경우가 있습니다.
일반 미백으로는 효과를 보기 어려운 심한 변색도
개선할 수 있으며 앞니 크기가 제각각이거나
모양이 고르지 않은 경우에도 도움을 줍니다.

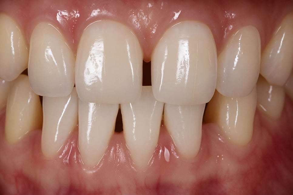
앞니 사이의 작은 틈이나 경미한 손상이 있을 때도
고려해 볼 수 있는 방법으로
경미한 치열 문제도 개선이 가능합니다.
물론 심한 부정교합을 가졌다면 교정 치료가 우선이나,
경미한 정도라면 라미네이트로도
충분히 만족스러운 결과를 얻을 수 있습니다.
기존 치질을 많이 제거할수록 시리거나
통증이 생길 수 있기 때문에
최대한 조금만 깎는 것이 이상적입니다.
개인에 따라 삭제량이 달라지나
중요한 것은 꼭 필요한 만큼만 삭제해
원래의 건강한 조직을 최대한 보존하는 것이 좋습니다.
이를 위해서는 정확한 진단이 선행되어야 되며
잇몸 및 뿌리 건강, 악습관 유무 등을
꼼꼼하게 확인해야 됩니다.
엑스레이 촬영을 통해 눈에 보이지 않는 부분까지
검사하고 구강 내 전체적인 환경을 확인합니다.

또한 각 사람의 얼굴형, 피부색, 입술 모양을 고려해
각자에게 어울리는 디자인을 찾아야 됩니다.
웃을 때 드러나는 정도, 입술선과의 조화,
전체 인상까지 세심하게 살펴야
자연스러운 결과를 얻을 수 있습니다.
당산역 치과 에서 앞서 최소한으로
다듬어야 된다 했는데
완전히 깎지 않으면 안 되는 걸까요?
사실 아무것도 제거하지 않고
그 위에 세라믹을 붙이게 되면
두껍게 튀어나오게 됩니다.
따라서 기능적으로나 미적으로나
만족스러운 결과를 위해서는
일정 부분 다듬는 과정이 필요합니다.
세라믹의 두께를 고려해 그만큼 공간을 만들어야
자연스러운 외형을 유지할 수 있으며
접착력을 높일 수 있습니다.
라미네이트는 1mm도 안 되는 얇은 층을 다루기 때문에
전문 지식이 절대적으로 필요합니다.

보존과 전문의는 치아의 구조와
조직에 대해 깊이 공부한 사람으로
삭제 과정을 거칠 때 더 유리한 면이 있습니다.
신경이 지나가는 위치, 민감한 부위,
강도한 약한 부분 등을 모두 파악해
최소한의 양만 다듬을 수 있습니다.
미세한 차이가 결과의 성패를 좌우하는
분야이기 때문에 당산역 치과 는
의료진의 경험과 실력이 중요하다 생각합니다.

단단한 음식을 조심해야 되며
뼈가 있는 음식을 앞니로 뜯어 먹으면
세라믹이 깨질 수 있습니다.
따라서 가능하면 어금니로 먹는 것이 좋으며
이갈이 습관이 있다면 고치는 것을 권해 드립니다.
정기 검진도 빼놓을 수 없으며
보통 6개월에서 1년에 한 번씩
보철을 체크하는 것이 좋습니다.
모든 사람의 구강 구조는 다르며
치열, 잇몸, 씹는 힘, 습관 등이 제각각이기에
치료 방법이 동일할 순 없습니다.
또한 다른 사람이 만족했다 해서
나도 같은 결과를 얻을 수 있는 것은 아니므로
직접 검사를 받아 본인에게 맞는 방법을 찾아야 됩니다.

정확한 진단과 맞춤형 계획이 바탕이 되어야
비로소 원하는 결과를 얻을 수 있음을 말씀드리며
오늘 저의 설명은 여기서 마치겠습니다.
당산역 치과 였습니다.
감사합니다.