아카이브 요약
이 페이지의 역할
연세초록빛치과의원의 네이버 블로그 원문을 보존한 아카이브 페이지입니다. 치아 정보글 카테고리의 당산역 치과 아이콘 레진이란? : 치아 탈회 및 교정 치료 후 화이트 스팟 글을 통해 병원의 한국어 정보 제공 방식과 진료 관련 안내 톤을 확인할 수 있습니다.
원문 검증
필요하면 원문 블로그와 병원 프로필로 바로 이동해 문맥을 다시 확인할 수 있습니다.
출처 아카이브 열기아카이브된 블로그 글
연세초록빛치과의원 · Naver Blog
사람의 인상을 결정짓는 시간은 단 3초라 알려져 있습니다. 이 짧은 순간에 나의 이미지가 결정되기에 중요한 자리에 나서기 전 시술을 결심하곤 합니다. 피부뿐만 아니라 치아도 심미에 관여하기에 나날이 원데이 미백이나 라미네이트에 대한 관심이 높아지고 있는 추세입니다. 아무래도 건강과 연결되어 있기 때문에 심미치료...
게시일
2025년 10월 23일
원문 기준으로 확인된 발행일입니다.
카테고리
치아 정보글
원문 블로그 카테고리를 정리해 함께 표시합니다.
이미지 수
10
현재 아카이브에 연결된 이미지 수입니다.
아카이브 요약
연세초록빛치과의원의 네이버 블로그 원문을 보존한 아카이브 페이지입니다. 치아 정보글 카테고리의 당산역 치과 아이콘 레진이란? : 치아 탈회 및 교정 치료 후 화이트 스팟 글을 통해 병원의 한국어 정보 제공 방식과 진료 관련 안내 톤을 확인할 수 있습니다.
원문 검증
필요하면 원문 블로그와 병원 프로필로 바로 이동해 문맥을 다시 확인할 수 있습니다.
출처 아카이브 열기사람의 인상을 결정짓는 시간은
단 3초라 알려져 있습니다.
이 짧은 순간에 나의 이미지가 결정되기에
중요한 자리에 나서기 전 시술을 결심하곤 합니다.
피부뿐만 아니라 치아도 심미에 관여하기에
나날이 원데이 미백이나 라미네이트에 대한
관심이 높아지고 있는 추세입니다.
아무래도 건강과 연결되어 있기 때문에
심미치료 전, 나에게 알맞은 개선 방법인지
알아보는 과정이 중요한데,
오늘은 당산역 치과 에서는
초기 충치 및 교정 후 생겨날 수 있는
화이트 스팟을 개선하는 방법인
[ICONE RESIN]에 관련된 정보를 전해보려 합니다.


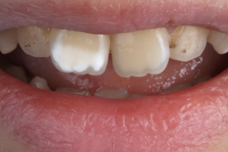
당산역 치과 에서 준비한 예시 사진처럼
하얗게 반점이 생겨나는 주된 원인은 [탈회]입니다.
쉽게 말해 초기 충치가 생긴 것인데,
플라그 속 번식하는 세균이
산성 물질을 분출하여
치면이 부식되어 미세한 다공성
구조가 생겨나게 됩니다.
다공성 구조를 통하여 무기질과 미네랄
성분이 빠져나가면서 치아가 약해집니다.
더불어 공기가 들어가 눈으로 봤을 때
흰색으로 보이는 화이트 스팟이 생겨나는 것이죠.
대개 교정 후 장치 사이에 낀 음식 찌꺼기나
치태가 잘 제거되지 않아
화이트스팟이 생겨나곤 합니다.
그래서 진료 종결 후 치면에 생겨난
흰색 반점이 고민거리가 되곤 하죠.
이런 케이스에 적용해 볼 수 있는
아이콘은 미세한 다공성 구조를 활용합니다.
대개 재료를 수복한다 하면 와동을 형성하는데,
삭제 과정 없이 탈회로 인하여 생겨난
작고 미세한 구조를 사용하게 됩니다.
어떻게 활용하는지 당산역 치과 에서
준비한 자료를 함께 보겠습니다.

1차적으로 초록색 약제를 고르게 도포합니다.

표면에 넓게 도포한 약제는 산 부식제입니다.
다공성 구조에 있는 침착물을 제거해 주고
접착에 용이하게 치면을 넓혀주는 역할을 합니다.
도포 후 2분가량을 기다린 후
충분히 물로 닦아내 수세해 줍니다.
수세 과정을 거친 후 에어를 사용해서
물기를 충분히 말려줍니다.

이후 ICON dyr 용액을 사용해서
치면을 건조해 줍니다.
알코올로 구성되어 있어 수분을
효율적으로 제거해 줄 수 있습니다.
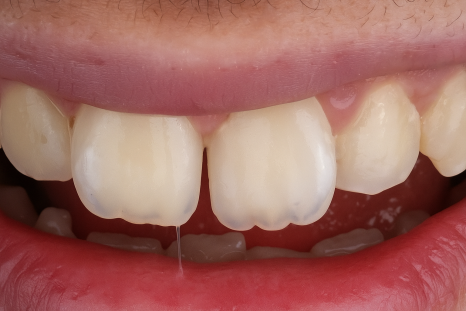
약제를 도포하여 당산역 치과 예시 사진처럼
흰색 반점이 온전히 사라지는 것을 확인해 줍니다.
만약 한 번만으로는 화이트스팟이 사라지지 않는다면
2~5번까지 반복해 볼 수 있습니다.

드라이 용액을 적용한 후, 화이트스팟이 사라지면
접착 준비가 마무리된 겁니다.
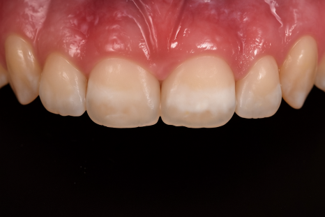
적절한 환경이 조성된 곳으로 레진을 도포하면
미세한 공간으로 재료가 메워집니다.
고르게 도포해 준 후,
3분가량 침투될 수 있도록 기다리고
공간 밖으로 튀어나와 있는 잉여 레진을
제거하여 표면을 정리해 줍니다.
이후 광조사하여 단단하게 아이콘을 굳혀줍니다.
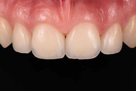
복잡해 보일 수 있으나,
대개 15~20분가량이면
진료가 끝납니다.


라미네이트 같은 보철을 씌우는 게 아니라
당일 진료 가능하다는 이점도 있죠.
더불어 보철을 씌우는 방법을 택할 경우,
치아 삭제를 고려해야 될 가능성이 높은데
오늘 당산역 치과 에서 소개해 드린
아이콘 레진은 탈회로 인하여 생겨난
치면의 미세한 공간을 활용하기 때문에
치아 삭제가 필요하지 않습니다.
비침습적인 방법에 속하기 때문에
보존적인 측면에서 우수하다 평가받고 있죠.
또한 일반적인 레진 수복 역시 당일 치료 가능하나,
표면을 매끄럽게 다듬는 시간이 필요하고
잇몸 경계부에 수복을 진행할 경우
코드를 삽입해야 되므로
시간이 다소 길어집니다.
반면 아이콘 레진은 다공성 구조를 활용하기에
이러한 폴리싱이나 치은 압배 과정이 없어도 되죠.


교정 치료 과정에서 양치질이 미흡해 생겨난
화이트 스팟의 경우, 탈회가 원인일 가능성이 높다
앞서 당산역 치과 에서 설명드렸습니다.
즉, 초기 충치가 진행된 상태라
건강한 치면 과 달리 관리가 소홀하면
더 깊이 썩어들어갈 우려가 높죠.
이러한 케이스에서 아이콘 레진을 진행함으로써
표면에 생겨난 미세한 공간을 메워주면
탈회 이후로 진행될 수 있는 우식을
차단하는데 큰 도움이 됩니다.
교정 치료 후 앞니에 생겨난 흰색 반점,
심미뿐만 아니라 깊은 충치로 번질 우려가 있죠.
이럴 때 적용해 볼 수 있는 솔루션에 대한
정보를 공유해 봤습니다.
도움이 되는 정보였길 바라며 글 마치겠습니다.
지금까지 당산역 치과 보존과 전문의
김민영이었습니다, 감사합니다.