아카이브 요약
이 페이지의 역할
연세초록빛치과의원의 네이버 블로그 원문을 보존한 아카이브 페이지입니다. 치아 정보글 카테고리의 영등포구청역 치과 임플란트 수술 왜 기다렸다 하나요? ft. 발치와 보존술 글을 통해 병원의 한국어 정보 제공 방식과 진료 관련 안내 톤을 확인할 수 있습니다.
원문 검증
필요하면 원문 블로그와 병원 프로필로 바로 이동해 문맥을 다시 확인할 수 있습니다.
출처 아카이브 열기아카이브된 블로그 글
연세초록빛치과의원 · Naver Blog
안녕하세요, 김민영입니다. 치주 질환이나 충치로 인하여 내 치아를 더 사용하긴 어렵다는 진단을 받으시는 분이 있습니다. 자연치의 기능이 상실된 채, 일상생활을 이어나가기 힘들어질 수 있어, 이를 재건해 줄 수 있는 방법이 필요합니다. 대개 이런 경우, [임플란트]를 떠올리게 됩니다. 그래서 오늘 영등포구청역 치...
게시일
2025년 10월 31일
원문 기준으로 확인된 발행일입니다.
카테고리
치아 정보글
원문 블로그 카테고리를 정리해 함께 표시합니다.
이미지 수
5
현재 아카이브에 연결된 이미지 수입니다.
아카이브 요약
연세초록빛치과의원의 네이버 블로그 원문을 보존한 아카이브 페이지입니다. 치아 정보글 카테고리의 영등포구청역 치과 임플란트 수술 왜 기다렸다 하나요? ft. 발치와 보존술 글을 통해 병원의 한국어 정보 제공 방식과 진료 관련 안내 톤을 확인할 수 있습니다.
원문 검증
필요하면 원문 블로그와 병원 프로필로 바로 이동해 문맥을 다시 확인할 수 있습니다.
출처 아카이브 열기안녕하세요, 김민영입니다.
치주 질환이나 충치로 인하여
내 치아를 더 사용하긴 어렵다는 진단을
받으시는 분이 있습니다.
자연치의 기능이 상실된 채, 일상생활을
이어나가기 힘들어질 수 있어,
이를 재건해 줄 수 있는 방법이 필요합니다.
대개 이런 경우, [임플란트]를 떠올리게 됩니다.
그래서 오늘 영등포구청역 치과 에서
관련된 정보를 공유해 보려 합니다.
만약 여러분이 치아를 뽑고 치료를 받게 된다면
어떤 부분이 제일 걱정되시나요?
많은 답변이 나오겠지만,
저는 치료 기간에 대한 질문이
제일 많을 것이라 생각합니다.
그 이유는 내 치아를 뽑게 되면
이에 따른 불편이 크기 때문입니다.
음식을 먹거나 발음을 할 때, 심지어 심미에도
관여하고 있으므로 부재로 인하여
생겨나는 불편은 꽤나 큽니다.
그래서 보철이 하루빨리 들어와
기능을 온전히 수행하길 바라죠.
자연치의 역할을 빨리 재건하기 위해서는
치료 기간이 단축되어야 됩니다.
이러한 이유로 [발치 후 즉시 식립]을
많은 분이 선호하시는데,
보존과 전문의 입장에서는 구내 환경을 고려하지 않고
픽스처라는 나사를 빠르게 심기보단,
즉시 식립이 힘든 케이스를 선별하여
치유를 거치는 편이 더 유리하다고 생각합니다.
영등포구청역 치과 에서 준비한 자료를 보며
자세한 이야기 나눠보겠습니다.

보통 치아를 더 사용하기 어렵다 판단하는 이유는
구내 환경이 불량하여 질환으로 이어졌기 때문이죠.
이가 심하게 썩어들어가거나, 잇몸 염증이 심하여
골 소실까지 관찰되는 케이스가 허다합니다.
픽스처라는 나사는 자연치와 비슷하게
치조골이라는 뼈 속에 나사를 심어
지지를 얻고 있습니다.
그렇기 때문에 충분한 양의 골조직이 유지되고 있으며
골질이 양호해야 픽스처의 치유가 원활하게 이뤄지는데,
만약 골질이 너무 무르고 치조골의 양이 충분하지 않다면
회복이 더디고 성공률도 그만큼 줄어들 겁니다.
그렇기 때문에 임플란트의 성공률과 안정성을
확보하려면 무엇보다 식립 환경이 양호해야 되는 것이죠.
나무에 비유하면 이해가 쉬울 것 같습니다.
마치 땅이 비옥하면 나무가 살기 좋은 환경이 만들어지듯
구내 환경이 안정되어 있어야 오랜 기간이 지나도
임플란트에 문제가 생겨나지 않습니다.
관련된 정보인 [발치와 보존술]에 대해
영등포구청역 치과 에서 자세히 설명해 보겠습니다.
이를 뽑고 난 후 시간이 지남에 따라
자연스럽게 뼈가 소실됩니다.
생물학적 리모델링을 통해서 폭과 높이
모두 감소하게 되는데,
특히 3개월 동안 제일 큰
변화를 겪게 됩니다.
영등포구청역 치과 에서 찾아본
여러 연구에 의하면 3개월간 전체적으로
30%가량이 소실되었다는 사실이 밝혀졌습니다.
이를 뽑은 후 치조골의 변화로 인하여
만약 충분한 양의 골조직이 확보되지 않는다면
치조골 확보가 어려워 식립 과정에서
난항을 겪을 수 있습니다.
이러한 문제가 우려될 때 시행해 볼 수 있는 게
발치와 보존술(socket preservation)이랍니다.
영등포구청역 치과 에서 이에 대해
간략히 설명해 드리겠습니다.
이를 뽑은 후 치아가 있던 자리에
골이식제를 넣어줌으로써
치조골의 볼륨을 유지할 수 있도록
도와주는 술식이죠.
그럼 골이식재 입자들이 흡수되지 않고
신생골에 의해 둘러싸이게 되어
치조능 보존(ridge preservation)이 가능해집니다.

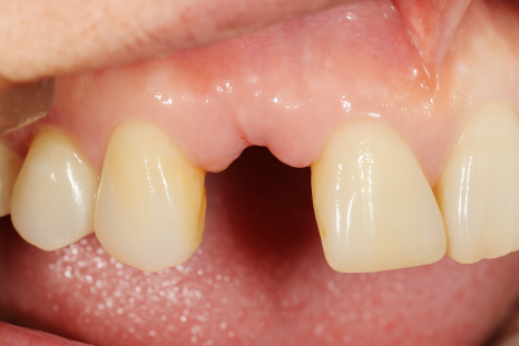
예후가 불량한 앞니 하나를 발거한 후,
염증으로 인하여 생겨난 육아조직을 제거
해준 모습이 확인됩니다.
바로 임플란트를 심기 어렵다 판단되어
치유를 거쳐야 되는데,
그래도 회복을 거치긴 어렵다 판단되며
발치와 보존술을 적용할 필요가 있습니다.

이를 뽑고 난 자리에 인공 뼛가루를 보충하여
볼륨을 유지할 수 있도록 조치를 취한 후,
4개월가량 치유에 들어갔습니다.


그 결과 영등포구청역 치과 사진처럼
식립에 필요한 충분한 골조직이 확보되어
안정적으로 임플란트를 마칠 수 있었습니다.
적절한 추가 조치를 취한 후 회복에 들어가야
구내 환경 개선과 함께 충분한 뼈를 확보하여
임플란트를 안정적으로 심을 수 있습니다.
이러한 과정이 앞서 선행되려면
충분한 시간이 필요하므로
진료 기간이 어느 정도 길어질 수 있죠.
지금 당장은 종결까지 시간이 오래 걸려
불편하다 느끼실 수 있지만
하지만 세월이 흐른 뒤까지 생각한다면
시간 단축보다는 안정성을 확보하는 게
옳다 생각하고 있습니다.
영등포구청역 치과 에서 전해드린 소식이
유익하게 다가갔길 바라며 글 마치겠습니다.
김민영이었습니다, 감사합니다.