아카이브 요약
이 페이지의 역할
연세초록빛치과의원의 네이버 블로그 원문을 보존한 아카이브 페이지입니다. 치아 정보글 카테고리의 선유도역 치과 왜소치 라미네이트 VS 레진 수복 적합한 치료는?! 글을 통해 병원의 한국어 정보 제공 방식과 진료 관련 안내 톤을 확인할 수 있습니다.
원문 검증
필요하면 원문 블로그와 병원 프로필로 바로 이동해 문맥을 다시 확인할 수 있습니다.
출처 아카이브 열기아카이브된 블로그 글
연세초록빛치과의원 · Naver Blog
안녕하세요, 선유도역 치과 보존과 전문의 김민영입니다. 가끔 이런 고민을 갖고 있는 분이 있습니다. "옆에 있는 치아에 비해 유난히 작은 것 같아." "송곳니도 아닌데 너무 뾰족하고 작아." . . . 이런 고민을 만드는 원인은 바로 [왜소치]랍니다. 사람의 체형을 보고 왜소하다 말하는 것처럼 정상에 비해 이가 작을...
게시일
2025년 11월 12일
원문 기준으로 확인된 발행일입니다.
카테고리
치아 정보글
원문 블로그 카테고리를 정리해 함께 표시합니다.
이미지 수
6
현재 아카이브에 연결된 이미지 수입니다.
아카이브 요약
연세초록빛치과의원의 네이버 블로그 원문을 보존한 아카이브 페이지입니다. 치아 정보글 카테고리의 선유도역 치과 왜소치 라미네이트 VS 레진 수복 적합한 치료는?! 글을 통해 병원의 한국어 정보 제공 방식과 진료 관련 안내 톤을 확인할 수 있습니다.
원문 검증
필요하면 원문 블로그와 병원 프로필로 바로 이동해 문맥을 다시 확인할 수 있습니다.
출처 아카이브 열기안녕하세요, 선유도역 치과 보존과 전문의 김민영입니다.
가끔 이런 고민을 갖고 있는 분이 있습니다.

"옆에 있는 치아에 비해 유난히 작은 것 같아."
"송곳니도 아닌데 너무 뾰족하고 작아."
.
.
.
이런 고민을 만드는 원인은
바로 [왜소치]랍니다.
사람의 체형을 보고 왜소하다 말하는 것처럼
정상에 비해 이가 작을 때를 의미합니다.
오늘 선유도역 치과 에서는 이에 대해
집중 분석해 보려 합니다.
본래 갖고 있어야 될 크기에 못 미치기 때문에
심미적인 문제를 만들게 되며,
발음이나 저작, 구강위생까지도
영향을 줄 수 있습니다.
이런 문제가 생겨나는 원인은
무엇일까요?!

제일 빈번하게 꼽히는 원인은 유전이죠.
엄마, 아빠 혹은 형제 등 가족 가운데 한 명이라도
왜소치에 해당한다면 자녀에게도
유사한 형태가 나타날 우려가 높습니다.
특히 가운데에 있는 정중치 옆에 있는 측절치에서
비슷한 양상이 허다하게 관찰되곤 합니다.
연구에 따르면 남자보다는 여자에게서
더울 빈발한다 알려져 있으며,
영구치가 자라나나는 시기 발육 이상이 생겨났을 때,
혹은 뇌하수체 기능 저하증 등 호르몬 이상이 있을 때
영향을 받아 왜소치가 생겨나곤 합니다.
그렇다면, 개선해야 될까요?
아님 그냥 내버려둬도 상관없을까요?
이에 대한 해답을 선유도역 치과 에서
들려드리겠습니다.
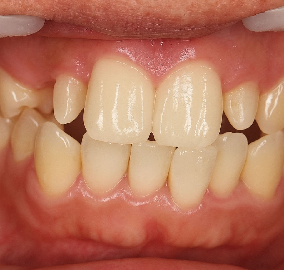
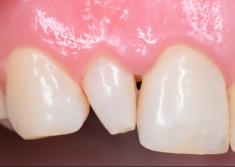
치료가 필요한 케이스는?!
왜소치는 크기가 작다는 점 외
다른 문제점을 동반하진 않으나,
이로 인하여 기능에 지장이 있을 경우
개선이 필요할 수 있습니다.

음식이 자주 껴 치실이나 치간 칫솔로 제거가 어려워
충치로 이어질 우려가 매우 높거나,
앞니 사이가 심하게 벌어져 웃거나 말할 때
눈에 틈이 잘 띄어 외모에 대한 자신감이 저하되는 경우,
배열이 불균형적이라 교합 이상으로 이어지거나
기능이 저하된다면 형태를 개선하는 방향의
진료가 필요하게 됩니다.
선유도역 치과 에서 설명드린 케이스 외
특별한 문제가 없거나 일상생활을 하는데
지장을 주지 않는다면 그대로 둬도 괜찮습니다.
그럼 어떤 방식으로 외형을 개선해 줄 수 있을까요?
흔히 사용하는 두 가지 방법에 대해 알려드리겠습니다.
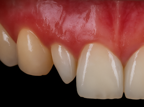
먼저 선유도역 치과 에서 라미네이트에 대해
설명해 드리겠습니다.

치아의 겉면을 아주 얇게 다듬거나
일절 삭제하지 않고,
얇은 필름 형태의 보철을 붙여
형태를 개선하는 방법이랍니다.
다른 보철 치료와 달리 침습 범위가 적으며,
라미네이트 자체가 얇기 때문에 치아의 투명함을
재현하기 좋다는 이점을 갖고 있습니다.
또한 색상 표현력이 좋아
심미를 개선하는데 탁월하죠.
왜소치처럼 크기 자체를 보완해야 되는 케이스뿐만 아니라
앞니만 한정되어 약간 틀어져 있을 때,
혹은 원데이 미백만으로는 밝아지기 어려운 색조로
앞니를 밝게 만들고 싶을 때 써볼 수 있습니다.
다만, 라미네이트는 보철이라 어쩔 수 없이
치아 삭제가 필요할 수도 있으며,
기공 과정이 필요하므로 하루 이상의
치료 기간이 소요될 수 있습니다.
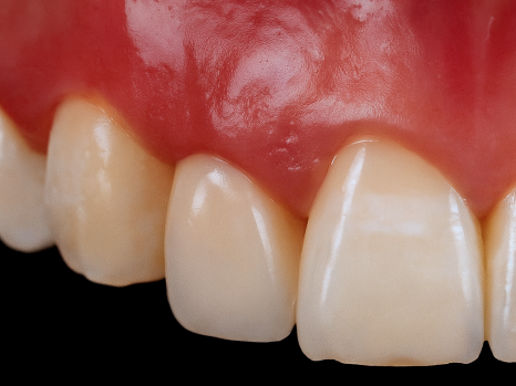
두 번째로는 선유도역 치과 에서 레진
수복에 대해 설명해 드리겠습니다.


시간 제약으로 인하여 당일 진료를 마쳐야 되거나
수복 범위가 넓지 않아 치아 삭제까진 원치 않는 경우,
레진 수복을 고려해 볼 수 있습니다.
대개 치아를 삭제하지 않고,
당일 수복할 수 있으며,
비용 부담이 낮은 편에 속합니다.
또한 보철이 들어가기 어려운 좁은 틈에도
사용해 볼 수 있습니다.
두 가지 방법 가운데 뭐가 더 좋은 치료다
단정 짓긴 어렵습니다.
어떤 케이스인지 어떤 진료 방안이
적합한지 체크해 보는 것이 중요하며,
환자의 식습관이나 구내 환경을 고려하여
오랜 시간이 흘러도 안정적으로 유지될 수 있는
치료를 택하는 것이 좋습니다.
더불어 마지막으로 개인적인 팁 하나를 공유하자면,
이전 케이스를 보시고 심미적으로 마음에 드시는 곳을
택하시는 것도 좋다 생각합니다.
그 이유는 심미 요소는 의료진의 주관된 시선에 따라
조금씩 달라지기 때문이랍니다.
레진으로 수복을 하더라도 어떻게 외형을 부여하느냐,
어떤 색조를 택하여 쌓아 올리느냐에 따라서
그 결과가 달라지게 됩니다.
그래서 같은 환자를 진료하더라도 의료진이 다르면
결과가 다를 수 있습니다.
심미 요소에서 중요하다 보는 포인트가 같은
의료진을 택했을 때 원하시는 결과로 이어질 수 있다 생각하기에
저만의 팁 하나 공유드렸습니다.
오늘 선유도역 치과 에서는 왜소치의 원인과
진료 방법에 대한 정보를 전해봤습니다.
궁금증을 갖고 계신 분에게 유익한 글이 되었길 바라며
다음에도 양질의 소식 가지고 오겠습니다.
지금까지 보존과전문의 김민영이었습니다, 감사합니다.