아카이브 요약
이 페이지의 역할
연세초록빛치과의원의 네이버 블로그 원문을 보존한 아카이브 페이지입니다. 치아 정보글 카테고리의 이 시림의 원인, 치경부 마모증 당산역 치과 레진 수복 및 글래스 아이오노머(GI) 글을 통해 병원의 한국어 정보 제공 방식과 진료 관련 안내 톤을 확인할 수 있습니다.
원문 검증
필요하면 원문 블로그와 병원 프로필로 바로 이동해 문맥을 다시 확인할 수 있습니다.
출처 아카이브 열기아카이브된 블로그 글
연세초록빛치과의원 · Naver Blog
안녕하세요, 당산역 치과 보존과전문의 김민영입니다. 찬바람만 불어도 이가 시리다 호소하시는 분들이 있습니다. 찬물로 양치하거나 얼음이 들어있는 음료를 드시는 것도 힘들어하시는데, 대개 그 원인을 '잇몸'에서 찾으십니다. 치주염 때문에 잇몸이 약해져서 그런 거라고 생각하시는 분들이 많죠. 그런데 대개 원인은 치아에...
게시일
2026년 1월 22일
원문 기준으로 확인된 발행일입니다.
카테고리
치아 정보글
원문 블로그 카테고리를 정리해 함께 표시합니다.
이미지 수
5
현재 아카이브에 연결된 이미지 수입니다.
아카이브 요약
연세초록빛치과의원의 네이버 블로그 원문을 보존한 아카이브 페이지입니다. 치아 정보글 카테고리의 이 시림의 원인, 치경부 마모증 당산역 치과 레진 수복 및 글래스 아이오노머(GI) 글을 통해 병원의 한국어 정보 제공 방식과 진료 관련 안내 톤을 확인할 수 있습니다.
원문 검증
필요하면 원문 블로그와 병원 프로필로 바로 이동해 문맥을 다시 확인할 수 있습니다.
출처 아카이브 열기안녕하세요, 당산역 치과 보존과전문의 김민영입니다.
찬바람만 불어도 이가 시리다
호소하시는 분들이 있습니다.
찬물로 양치하거나 얼음이 들어있는 음료를
드시는 것도 힘들어하시는데,
대개 그 원인을 '잇몸'에서 찾으십니다.
치주염 때문에 잇몸이 약해져서 그런 거라고
생각하시는 분들이 많죠.

그런데 대개 원인은 치아에 있습니다.
목부분인 치경부가 마모되어
속질이 드러나며 예민한 반응을
보이는 경우가 많은데요.
오늘은 이에 대해 당산역 치과 에서
관련 정보 공유해 보려 합니다.
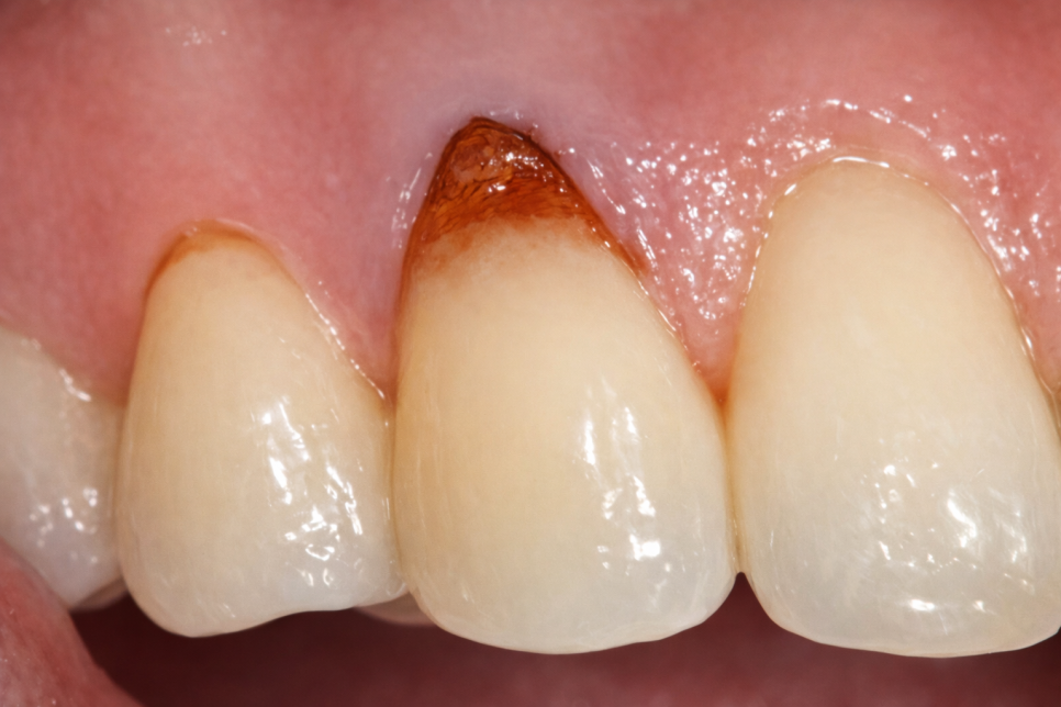
치경부 마모증은 치아의 목부분이라 불리는
곳에 있는 치질이 점차 닳게 되는 것인데,
잇몸과 치아 사이 경계 부분을
치경부라 부르고 있습니다.
그 원인으로는 잘못된 칫솔질과
과도한 교합력을 꼽아볼 수 있습니다.
원인에 대해서 당산역 치과 에서
자세히 설명해 드리겠습니다.
우리나라에서는 잇몸에서 어금니 방향으로
칫솔을 쓸어내리듯이 닦아내는
회전법을 권장하고 있습니다.
그런데 간혹 좌우로 움직이는 횡마법을
쓰시는 분들이 있는데요.
구내를 자세히 들여다보면 대부분
잇몸과 어금니 사이 경계가 마모되어
겉질이 드러나 있습니다.

오랜 시간 반복해서 힘을 줌으써
당산역 치과 에서 준비한 사진처럼
점차 겉질이 탈락하게 되는 건데요.
이런 경우 이 시림 증상이 나타날 수 있으며
점차 심화되어 과도하게 속질이 드러나
신경치료까지 필요해질 수 있습니다.
이갈이를 하거나 이를 악무는 악습관을
가진 경우에는 우리가 생각하는 것보다
더 센 힘이 치아에 가해지게 됩니다.
오랜 기간 피로가 누적되어
파절될 우려도 높긴 하나,
그 힘이 목 부분에 집중되어 굴곡 파절
양상이 나타날 수 있습니다.

그럼 겉질이 특징적인 형태인 V 모양으로
탈락하고 속질이 드러나게 되는데요.
이로 인하여 이 시림 같은 민감한
증상이 생겨날 수 있습니다.
이런 경우 탈락한 속질을 복원시켜
더 이상의 치질 손상을 막아야 됩니다.
치경부 마모증으로 인하여 손상된 치질만
회복시키면 되는 경우,
안전한 재료로 수복하는 치료를 통해
충분히 개선 가능합니다.
이때 쓸 수 있는 재료는
크게 두 가지가 있습니다.
레진 : Resin
글래스아이오노머 : Glassionomer/GI
두 가지 모두 수복재로써 오랜 시간
사용되어 오면서 우수함을 인정받았는데요.
서로 가진 장단점이 다릅니다.
당산역 치과 보존과 전문의 김민영
충치 치료 과정에서 흔히 사용되는 재료라
아마 많은 분이 잘 알고 있을 겁니다.
철저한 방습 하에 시행될 경우
충분한 강도를 가질 수 있어 어금니
충치 치료 시에도 사용되고 있죠.

치경부 마모증이 생겨난 부위가
앞니일 때 주로 레진을 사용하는데요.
그 이유는 심미적이기 때문입니다.
색조를 선택할 수 있는 폭이 넓으며
자연치와 유사한 투명도를 갖고 있습니다.
그래서 실제와 매우 비슷하게
재현해낼 수 있죠.
당산역 치과 보존과 전문의 김민영
두 번째로 소개해 볼 재료는
글래스 아이오노머입니다.
레진은 일반적으로 비급여 항목에 해당하지만
글래스아이오노머는 보험이 적용되어
만원 이내로 경제적으로 치료를 받을 수 있습니다.
더불어 일정 기간 불소를 방출하기 때문에
충치 예방에 탁월한 재료인데요.
레진과 달리 색조를 선택할 수 있는
폭이 매우 좁습니다.
더불어 투명하기보단 탁한 편이라
심미가 강조되는 앞니에는 잘 사용하지 않습니다.

이 시림의 주범이 되는 치경부 마모증,
치아의 목 부분은 음식을 씹을 때 사용하는
교합면과 달리 겉질이 얇습니다.
그렇기 때문에 치질이 더욱 빨리 닳아
속질이 드러날 수 있는데요.
칫솔질이나 이갈이, 이악물기 같은
악습관을 개선하는 것만으로도
충분히 예방 가능합니다.
이 시림을 느끼고 있다면,
그 원인이 잇몸이 아닌 치아가 아닌지
한 번쯤 체크해 보시기 바랍니다.
오늘 당산역 치과 에서 준비한
소식은 여기까지랍니다.
여러분에게 유익한 글이 되었길 바라며 다음에도
양질의 정보를 공유해 드리겠습니다.
지금까지 보존과전문의 김민영이었습니다.
감사합니다.