아카이브 요약
이 페이지의 역할
연세초록빛치과의원의 네이버 블로그 원문을 보존한 아카이브 페이지입니다. 치아 정보글 카테고리의 선유도 치과 재신경치료! 점점 커지는 치아 뿌리 염증 잡는 방법 글을 통해 병원의 한국어 정보 제공 방식과 진료 관련 안내 톤을 확인할 수 있습니다.
원문 검증
필요하면 원문 블로그와 병원 프로필로 바로 이동해 문맥을 다시 확인할 수 있습니다.
출처 아카이브 열기아카이브된 블로그 글
연세초록빛치과의원 · Naver Blog
안녕하세요, 선유도 치과 보존과전문의 김민영입니다. 치아 관리를 하러 오는 사람들 중 "예전에 신경치료를 받았는데 또 아파요"라며 걱정스러운 표정으로 내원하는 분들이 계십니다. 많은 사람들이 "또 치료받아야 되나요"라며 불안해하는데, 충분히 그럴 수 있다 생각합니다. 오늘은 이와 관련된 내용을 설명해 드리도록 하...
게시일
2026년 2월 3일
원문 기준으로 확인된 발행일입니다.
카테고리
치아 정보글
원문 블로그 카테고리를 정리해 함께 표시합니다.
이미지 수
6
현재 아카이브에 연결된 이미지 수입니다.
아카이브 요약
연세초록빛치과의원의 네이버 블로그 원문을 보존한 아카이브 페이지입니다. 치아 정보글 카테고리의 선유도 치과 재신경치료! 점점 커지는 치아 뿌리 염증 잡는 방법 글을 통해 병원의 한국어 정보 제공 방식과 진료 관련 안내 톤을 확인할 수 있습니다.
원문 검증
필요하면 원문 블로그와 병원 프로필로 바로 이동해 문맥을 다시 확인할 수 있습니다.
출처 아카이브 열기안녕하세요, 선유도 치과 보존과전문의 김민영입니다.
치아 관리를 하러 오는 사람들 중
"예전에 신경치료를 받았는데 또 아파요"라며
걱정스러운 표정으로 내원하는 분들이 계십니다.
많은 사람들이 "또 치료받아야 되나요"라며
불안해하는데, 충분히 그럴 수 있다 생각합니다.
오늘은 이와 관련된 내용을
설명해 드리도록 하겠습니다.
재신경치료는 언제 필요한가요?
이전에 충전했던 부위가 불완전했거나,
새로운 감염이 생겼을 때 필요하며,
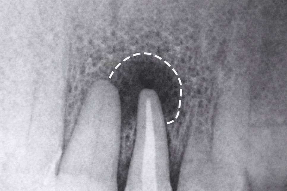
특히 치근단에 병소가 생겼을 때
염증을 해소하고 자연치를 보존할 수 있습니다.
이미 충전이 되어있는데도 불편감이 계속된다면
몇 가지 원인이 있을 수 있습니다.

제일 흔한 경우는 치근단 염증으로,
치근단이란 치아 뿌리의 끝 부분을 말하는데
여기에 염증이 생기면 잇몸이 붓거나
통증이 일어날 수 있습니다.
또 다른 원인은 앞서
선유도 치과 에서 말한 것과 같이
이전 충전이 불완전할 때이며
근관은 생각보다 복잡한 구조를 갖고 있어
나무뿌리처럼 여러 갈래로 나뉘어 있으므로
일부 미세관을 놓칠 수 있습니다.
또한 기존의 재료가 오래 되었거나
새로운 우식이 생긴 경우에도
세균이 다시 침입해서
감염을 일으킬 수 있죠.

음식을 먹을 때마다 아프거나,
잇몸에 뾰루지 같은 게 생겼다면
재신경치료를 고려해봐야 됩니다.
이를 방치하게 되면 병변이 더 커져서
발치로 이어질 수 있으므로
빠른 시일 내에 검사받는 것을 권해 드립니다.
여기서 중요한 점은 처음 받을 때보다
더 까다로운 과정이라는 것이며
제일 먼저 국소마취 후
기존에 들어있던 충전재를
모두 제거해야 됩니다.
단단하게 굳어있는 재료를
조심스럽게 제거하면서
치질은 손상시키면 안 되기 때문에
이 과정이 생각보다 복잡합니다.

그 다음에는 놓쳤던 근관을 찾는 과정으로
선유도 치과 는 미세현미경을 사용해
육안으로는 보이지 않는 작은 미세관까지
모두 찾아내는 과정이 중요하다 생각합니다.
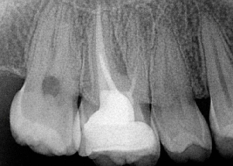
근관을 모두 찾았다면 염증을 일으킨 세균을
완전히 제거하는 과정으로 넘어갑니다.
소독이 완료되면 생체친화적인 재료로
빈 공간이 없도록 충전하여 완전히 밀봉합니다.
보통 2-3회 정도의 내원이 필요하며
각 단계마다 충분한 시간을 두고
진행해야 좋은 결과를 얻을 수 있습니다.

러버댐이라는 격리막을 사용하는 것도
중요한 포인트로,
침이나 세균이 해당 부위에
들어가지 않도록 차단하여
성공률을 높여야 됩니다.
선유도 치과 에서 알려드리는
주의사항과 관리법
일시적으로 불편감이 있을 수 있으나,
이는 자연스러운 반응이므로
너무 걱정하지 않으셔도 됩니다.
보통 2-3일 정도면 괜찮아지며
처방받은 진통제를 복용하면
통증을 가라앉히는 데 도움을 줍니다.
딱딱한 음식은 당분간 피하는 게 좋으며
견과류나 얼음같은 건
치아에 물리를 줄 수 있으므로
죽과 같은 부드러운 음식 위주로 드시면서
해당 부위로는 씹지 않도록 주의합니다.

제일 중요한 것은
최종 보철물을 꼭 씌우는 것으로
치수 조직을 제거한 곳은
영양 공급이 안 되면서 약해집니다.
크라운을 씌우지 않으면
씹는 힘을 버티지 못해 파절될 수 있으므로
선유도 치과 는 반드시 마지막 약속까지
잘 지켜야 됨을 말씀드립니다.
정기 검진 또한 빼놓을 수 없으며
6개월마다 한 번씩은 꼭
상태를 확인받는 것을 권해 드립니다.
조기에 문제를 발견하면
간단하게 해결할 수 있으므로
반드시 6개월마다
검사를 받아보시길 바랍니다.
오늘 제가 설명해 드린 방법은 자연치를 끝까지
살리기 위한 마지막 기회라 볼 수 있습니다.
치근단 염증은 시간이 흐르면서
범위가 점점 넓어지는 경우가 많기 때문에
통증이 크지 않다 해서 방치하는 것은
바람직하지 못합니다.
특히 과거에 충전된 치아에서
불편감이 계속 되거나,

엑스레이 촬영을 통해 치근단 병소가 확인된다면
조기에 원인을 정확하게 파악하고
알맞은 계획을 세우는 것이 중요합니다.
정밀한 검사와 진단을 통해
자연치를 보존할 수 있는 가능성이 있다면
그 선택지를 충분히 고려해볼 필요가 있습니다.
선유도 치과 에서 준비한 소식은 여기까지랍니다.
유익한 정보가 되었길 바라며 설명 마치겠습니다.
지금까지 김민영이었습니다. 감사합니다.