아카이브 요약
이 페이지의 역할
연세초록빛치과의원의 네이버 블로그 원문을 보존한 아카이브 페이지입니다. 치아 정보글 카테고리의 선유도 치과 다발성 우식증으로 이어질 수 있는 구강 건조증 어떻게 예방할 수 있을까? 글을 통해 병원의 한국어 정보 제공 방식과 진료 관련 안내 톤을 확인할 수 있습니다.
원문 검증
필요하면 원문 블로그와 병원 프로필로 바로 이동해 문맥을 다시 확인할 수 있습니다.
출처 아카이브 열기아카이브된 블로그 글
연세초록빛치과의원 · Naver Blog
안녕하세요, 선유도 치과 보존과 전문의 김민영입니다. 꽃샘추위가 아직 남아있는 3월, 건강 관리에 더욱 신경 쓰시는 분들이 많습니다. 환절기에는 특히 구강 내 환경 변화로 인해 여러 증상들을 호소하는 분들이 계시는데요 혹시 입안이 자주 마르고 끈적한 느낌이 들거나 음식을 삼키기 어려운 분들 계시나요? 말을 할...
게시일
2026년 3월 4일
원문 기준으로 확인된 발행일입니다.
카테고리
치아 정보글
원문 블로그 카테고리를 정리해 함께 표시합니다.
이미지 수
7
현재 아카이브에 연결된 이미지 수입니다.
아카이브 요약
연세초록빛치과의원의 네이버 블로그 원문을 보존한 아카이브 페이지입니다. 치아 정보글 카테고리의 선유도 치과 다발성 우식증으로 이어질 수 있는 구강 건조증 어떻게 예방할 수 있을까? 글을 통해 병원의 한국어 정보 제공 방식과 진료 관련 안내 톤을 확인할 수 있습니다.
원문 검증
필요하면 원문 블로그와 병원 프로필로 바로 이동해 문맥을 다시 확인할 수 있습니다.
출처 아카이브 열기안녕하세요, 선유도 치과 보존과 전문의 김민영입니다.
꽃샘추위가 아직 남아있는 3월,
건강 관리에 더욱 신경 쓰시는 분들이 많습니다.
환절기에는 특히 구강 내 환경 변화로 인해
여러 증상들을 호소하는 분들이 계시는데요

혹시 입안이 자주 마르고 끈적한 느낌이 들거나
음식을 삼키기 어려운 분들 계시나요?
말을 할 때 목소리가 잘 나오지 않거나
평소보다 물을 더 자주
찾게 되는 분들도 있을 텐데요.
물을 많이 마시면 개선될 거라
생각하는 경우가 많은데
구강건조증은 타액 분비 기능 자체의
문제일 수 있어 근본적인 원인을
먼저 찾는 것이 중요합니다.
선유도 치과 보존과 전문의 김민영
타액 분비량이 현저히 감소하여
입안이 마르는 증상을 말합니다.
타액은 세균을 억제하고
음식 소화를 돕는 중요한 역할을 하는데
이 기능이 저하되면 불편감을 넘어
여러 질환으로 이어질 수 있습니다.
그렇다면 왜 이런 현상이 일어날까요?


주요 원인으로는 약물 복용을 꼽을 수 있으며
혈압약, 항우울제, 항히스타민제 등을
복용하는 분들에게서 자주 관찰됩니다.
국내 65세 이상 노인의 약 30%가
이런 증상을 겪고 있는 것으로
보건복지부에서 보고하고 있습니다.

노화 과정에서도 타액선 기능이 저하되며
당뇨병이나 쇼그렌 증후군과 같은
전신 질환도 원인이 되곤 합니다.
양상이 진행되면 갈증을 넘어
음식을 저작하고 삼키기 어려워지며
말을 할 때 목소리가 쉽게 쉬어버립니다.
특히 밤에 잠을 자다 깨는 경우가 빈번하며
아침에 일어났을 때 불쾌한 맛을
느끼는 분들도 계실 겁니다.
이중 약 40% 정도는 작열감이나
미각의 변화까지 체감할 수 있습니다.
선유도 치과 보존과 전문의 김민영
타액의 자정 작용이 저하되기 때문에
세균이 급격히 증식하게 되며
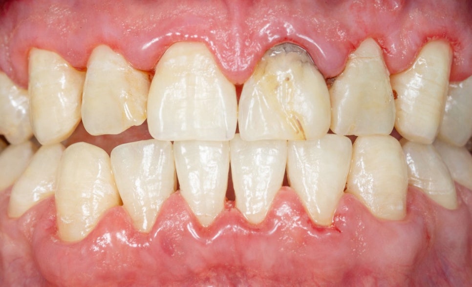
이로 인해 충치 발생률이 현저히 높아집니다.

치주 질환의 위험도 같이 증가하게 되며
심한 경우 염증이나 구취까지 동반될 수 있어
사회생활에도 영향을 미치게 됩니다.
보통 건강한 경우 분당 0.3ml 이상의
타액이 분비되는데 이보다 적다면
치료가 권장되는 상태입니다.
선유도 치과 에서 생각하는
치료에서 제일 중요한 것은 원인 파악으로
혈압약이나 항우울제에는
타액 분비를 억제하는 성분이 포함된 경우가 많아
복용하고 있는 약을 먼저 검토합니다.

원인이 파악되면 그에 따른 처치를 하며
타액 분비 촉진을 위한
약물을 처방받을 수도 있습니다.
이러한 약들은 침샘을 자극해 침의 분비를 유도하며
인공 타액 또한 효과적으로
건조증 완화에 도움을 줍니다.
무설탕 껌을 저작하는 것은 타액의 분비를
촉진하는 좋은 방법이며
물을 한 번에 많이 마시지 말고
조금씩 자주 마시는 것도 도움이 됩니다.
다만 카페인이나 알코올은 오히려
탈수를 일으킬 수 있으므로
피하는 것이 좋습니다.
매운 음식이나 짠 음식은 점막을 자극할 수 있어
자주 섭취하는 것은 지양하는 것이 좋으며
부드럽고 촉촉한 음식을 먹는 것이 도움 됩니다.
유제품이나 계란, 과일 등을 먹고
식사를 할 때는 천천히 먹는 습관도 중요합니다.
흡연은 타액 분비를 더욱 억제하므로
선유도 치과 는 반드시 금연하는 것을 권해 드리며
구강 질환 발생 위험이 높기 때문에
정기 검진을 통해 관리해야 됨을 말씀드립니다.

이처럼 구강건조증은 약물 복용, 전신 질환, 노화 등
여러 요인과 관련되어 있으므로
정확한 진단이 선행되어야 되며
알맞은 치료와 생활 습관 개선을 통해
건강을 되찾을 수 있습니다.
정기 검진을 통해 충치나 치주 질환 등의
2차적인 문제들을 예방하는 것도 필수이며
문제를 방치하지 말고 조기에
의료진의 상담을 받으시길 바랍니다.
구강 건강을 전신 건강과 직결되는 부분으로
작은 문제라도 놓치지 말고 관리를 통해
건강을 유지하시길 바랍니다.
지금까지 긴 글 읽어주셔서 감사합니다.
저는 다음에 더 재밌고 유익한 글로 찾아뵙겠습니다.
선유도 치과 보존과 전문의 김민영이었습니다.
감사합니다.