아카이브 요약
이 페이지의 역할
연세초록빛치과의원의 네이버 블로그 원문을 보존한 아카이브 페이지입니다. 치아 정보글 카테고리의 하얀 치아를 가지고 싶다면? 당산역 미백 치과 와 알아보는 시술 과정 글을 통해 병원의 한국어 정보 제공 방식과 진료 관련 안내 톤을 확인할 수 있습니다.
원문 검증
필요하면 원문 블로그와 병원 프로필로 바로 이동해 문맥을 다시 확인할 수 있습니다.
출처 아카이브 열기아카이브된 블로그 글
연세초록빛치과의원 · Naver Blog
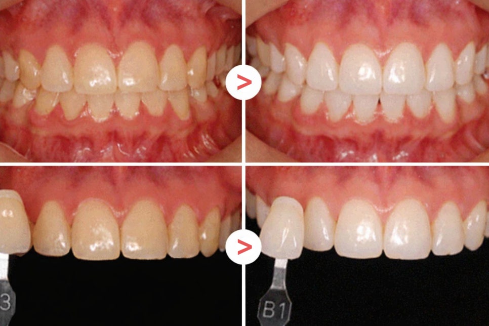
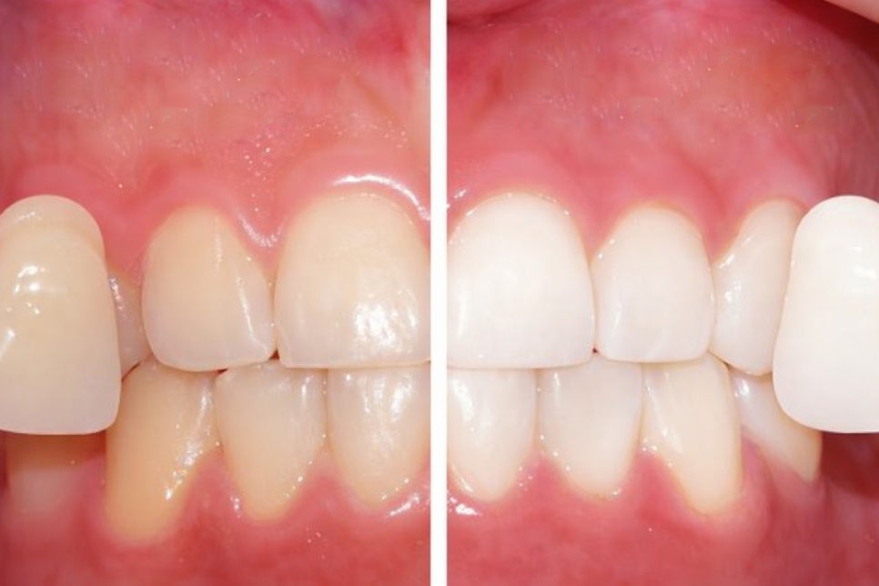
안녕하세요, 당산역 치과 보존과 전문의 김민영입니다. 치아의 색이 변하는 원인은 크게 내인성과 외인성으로 나뉩니다. 외인성 변색은 커피, 담배 등 일상에서 자주 접하는 음식과 기호품으로 인해 표면에 색소가 서서히 쌓이면서 발생합니다. 반면 내인성 변색은 항생제 복용, 외상, 노화 등으로 내부 구조 자체가 어두워...
게시일
2026년 3월 26일
원문 기준으로 확인된 발행일입니다.
카테고리
치아 정보글
원문 블로그 카테고리를 정리해 함께 표시합니다.
이미지 수
5
현재 아카이브에 연결된 이미지 수입니다.
아카이브 요약
연세초록빛치과의원의 네이버 블로그 원문을 보존한 아카이브 페이지입니다. 치아 정보글 카테고리의 하얀 치아를 가지고 싶다면? 당산역 미백 치과 와 알아보는 시술 과정 글을 통해 병원의 한국어 정보 제공 방식과 진료 관련 안내 톤을 확인할 수 있습니다.
원문 검증
필요하면 원문 블로그와 병원 프로필로 바로 이동해 문맥을 다시 확인할 수 있습니다.
출처 아카이브 열기안녕하세요, 당산역 치과 보존과 전문의 김민영입니다.
치아의 색이 변하는 원인은 크게
내인성과 외인성으로 나뉩니다.
외인성 변색은 커피, 담배 등 일상에서
자주 접하는 음식과 기호품으로 인해
표면에 색소가 서서히 쌓이면서 발생합니다.
반면 내인성 변색은 항생제 복용,
외상, 노화 등으로 내부 구조 자체가
어두워지는 것을 의미합니다.
어떤 유형인지에 따라 치료 방법과
기대 효과가 달라지기 때문에
정확한 원인을 먼저 파악하는 것이 중요합니다.

전문가 미백은 당산역 치과 와 같은
의료기관에서 고농도의 약제와
특수 장비를 활용해 진행하는 방식으로,
비교적 짧은 시간 안에
눈에 띄는 변화를 기대할 수 있습니다.
그에 반면 집에서 하는 방식은
트레이나 스트립 형태의 제품을
직접 사용하는 방법으로 편의성이 높지만,
약제의 농도가 낮아 효과에 한계가 있고
잘못 사용하면 잇몸에 자극을 줄 수 있어
주의가 필요합니다.
과정은 어떻게 될까요?
[1] 쉐이드 가이드 대조

시술에 앞서 제일 먼저 하는 일은
현재 치아의 밝기와 색상을
정확하게 파악하는 것입니다.
쉐이드 가이드라는 색상 샘플을
치아에 대조해 보면서 기록해 둡니다.
이 과정이 있어야 후에 얼마나 달라졌는지
명확하게 비교할 수 있고
환자분이 목표하는 밝기에
현실적으로 얼마나 가까워질 수 있는지도
함께 상담을 드릴 수 있습니다.
[2] 치면세마
치아 표면에 오랫동안 쌓인 치석과 세균막은
약제의 침투를 방해합니다.
그렇기 때문에 당산역 치과 에서는
본격적인 시술 전에 치면세마를 통해
구강을 꼼꼼하게 청소하는 것이
중요하다 생각합니다.
이 단계를 건너뛰게 되면
효과가 고르지 않게 나타날 수 있어
결과를 좌우할 수 있습니다.
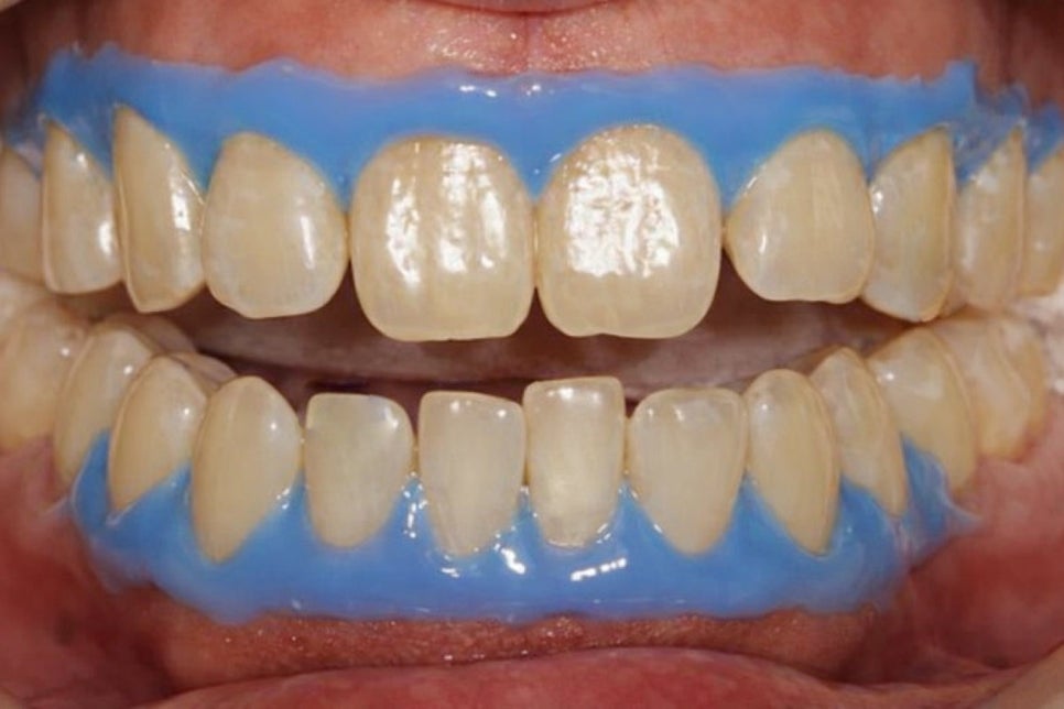
[3] 댐 도포 및 경화

미백제는 색소를 분해하는
강한 성분을 포함하고 있어
잇몸과 같은 구강 점막에 직접 닿으면
자극이나 통증을 일으킬 수 있습니다.
이를 방지하기 위해 잇몸 경계를 따라
댐을 꼼꼼하게 도포하고 경화시킵니다.
당산역 치과 는 이 보호 단계를 세심하게 진행해
불편함을 최소화하고
안전한 환경에서 이루어질 수 있도록
하는 것이 중요하다 생각합니다.
[4] 약제 도포 후 UV 조사

준비가 완료되면 치아 표면 전체에
미백제를 균일하게 바른 뒤
UV를 조사합니다.
UV는 약이 내부로 깊숙이
침투될 수 있도록 돕는 역할을 합니다.
[5] 댐 제거
약이 3번 정도 작용한 후 댐을 제거하면
모든 과정이 마무리됩니다.
전체 시술 시간은 한 시간 이내로,
당일에 바로 효과를 확인할 수 있습니다.
주의사항
시술 후에는 48시간 동안
색소가 짙은 음식과 흡연을
삼가는 것이 결과 유지에 도움이 되며
당산역 미백 치과 는 마무리 후에
안내해 드린 주의사항을
잘 지키는 것을 권해 드립니다.
또한 일부 환자분들은 시술 후
일시적인 시림 증상을 경험하기도 하는데
이는 대부분 며칠 내로 자연스럽게 가라앉습니다.
나에게 맞는 치료 방법을 선택하려면
무엇보다 자신의 구강 상태를
정확하게 파악하는 것이 먼저입니다.
크라운이나 임플란트 등 보철물이 있는 경우
해당 부위에는 효과가 적용되지 않으며
충치나 잇몸질환이 있다면
반드시 이를 먼저 치료받은 후 고려해야 됩니다.
미백을 고려하고 계신다면 앞서 설명드린 것처럼
그전에 스케일링을 먼저
받으시는 것을 권해 드립니다.

치아 표면에 치석과 착색물이
두껍게 쌓인 상태라면
약제가 고르게 작용하기 어렵기 때문에
스케일링을 통해 치아를 깨끗하게 정리한 뒤
진행해야 결과가 더 균일하고 선명하게 나타납니다.
결혼식, 취업, 면접, 졸업 사진 촬영처럼
환한 미소가 필요한 날이 예정되어 있다면
2~4주 전에 내원하여 받아보시길 바랍니다.
당일 혹은 하루 이틀 전에 급하게 받으면
민감함이 남아 불편할 수 있으니
여유 있게 계획하시는 것을 권해 드립니다.
오늘 제가 설명해 드린 내용이
모두 도움이 되셨길 바라며
저는 다음에 더 유익한 글로 찾아뵙겠습니다.
긴 글 읽어주셔서 감사합니다.
지금까지 당산역 미백 치과 보존과 전문의 김민영이었습니다.