아카이브 요약
이 페이지의 역할
연세초록빛치과의원의 네이버 블로그 원문을 보존한 아카이브 페이지입니다. 치아 정보글 카테고리의 치아 크랙 방치하면 안 되는 이유 파절 증상부터 원인까지 당산 보존치과 에서 알려드립니다! 글을 통해 병원의 한국어 정보 제공 방식과 진료 관련 안내 톤을 확인할 수 있습니다.
원문 검증
필요하면 원문 블로그와 병원 프로필로 바로 이동해 문맥을 다시 확인할 수 있습니다.
출처 아카이브 열기아카이브된 블로그 글
연세초록빛치과의원 · Naver Blog
안녕하세요, 당산 보존치과 의사 김민영입니다. 밥을 먹다가 특정 순간에만 찌릿하게 아프다면 균열이 간 건 아닌지 의심해봐야 됩니다. 균열(crack)은 엑스레이에서도 잘 보이지 않을 때가 있어 진단이 늦어질 때가 많고 그만큼 내원 시기를 놓치기 쉽습니다. 문제는 이를 그냥 방치하게 되면 금이 점점 더 깊어지면서 결...
게시일
2026년 4월 1일
원문 기준으로 확인된 발행일입니다.
카테고리
치아 정보글
원문 블로그 카테고리를 정리해 함께 표시합니다.
이미지 수
6
현재 아카이브에 연결된 이미지 수입니다.
아카이브 요약
연세초록빛치과의원의 네이버 블로그 원문을 보존한 아카이브 페이지입니다. 치아 정보글 카테고리의 치아 크랙 방치하면 안 되는 이유 파절 증상부터 원인까지 당산 보존치과 에서 알려드립니다! 글을 통해 병원의 한국어 정보 제공 방식과 진료 관련 안내 톤을 확인할 수 있습니다.
원문 검증
필요하면 원문 블로그와 병원 프로필로 바로 이동해 문맥을 다시 확인할 수 있습니다.
출처 아카이브 열기안녕하세요,
당산 보존치과 의사 김민영입니다.
밥을 먹다가 특정 순간에만 찌릿하게 아프다면
균열이 간 건 아닌지 의심해봐야 됩니다.

균열(crack)은 엑스레이에서도
잘 보이지 않을 때가 있어
진단이 늦어질 때가 많고
그만큼 내원 시기를 놓치기 쉽습니다.
문제는 이를 그냥 방치하게 되면
금이 점점 더 깊어지면서
결국 치근에도 영향을 미친다는 점으로
심한 경우에는 발치 외에
선택지가 없어지기도 합니다.
오늘은 이와 관련해 당산 보존치과 와
증상부터 시작해 원인은 무엇인지 그리고
어떻게 예방을 할 수 있는지 알아보겠습니다.
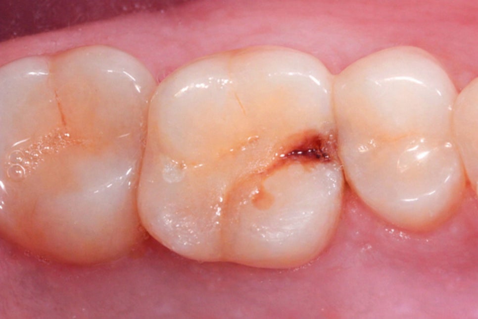
증상은 어떻게 될까?
제일 대표적인 증상은
특정 방향으로 음식을 먹을 때
느껴지는 날카롭고 순간적으로
나타나는 통증이 있습니다.
깨물었다가 떼는 순간에 찌릿하게 아프다가
금세 사라지는 것이 특징이며
찬 음식이나 음료에 시린 증상이 동반되기도 하며
어느 치아가 아픈지 정확히
알기 어려울 때도 많습니다.

이러한 모호한 증상 때문에
환자 스스로도 단순한 시림으로
넘기는 일이 잦습니다.
따라서 당산 보존치과 는 미세현미경을 통해
육안으로는 확인하기 어려운
미세 균열까지 정밀하게 진단하는
과정이 이루어져야 된다 생각합니다.
주요 원인으로는 무엇이 있을까?
단 한 번의 강한 충격으로 생기기도 하지만,
대부분은 일상 속 반복되는 자극이
오랜 시간 누적되어 발생합니다.
🔻 얼음을 깨물거나, 견과류와 같은
딱딱한 음식을 즐겨 먹거나
입으로 포장을 뜯는 습관이 대표적이며
🔻 수면 중 이를 갈거나 이 악물기 또한
치아 전반에 과부하를 주는 주요 원인입니다.

🔻 오래된 아말감 충전재가 있는 경우에도
온도 변화에 따른 팽창과 수축이 반복하면서
미세한 crack이 발생할 수 있습니다.
아말감은 금속 소재 특성상
온도에 민감하게 반응하기 때문에
오랜 기간 사용한 경우 주의가 필요합니다.
🔻 또한 신경치료를 받은 곳을
크라운으로 보호하지 않은 채 오래 방치한 경우
crack이 발생할 위험이 높아집니다.
따라서 당산 보존치과 는 끝까지 치료받는 것이
무엇보다 중요하다 말씀드리곤 합니다.
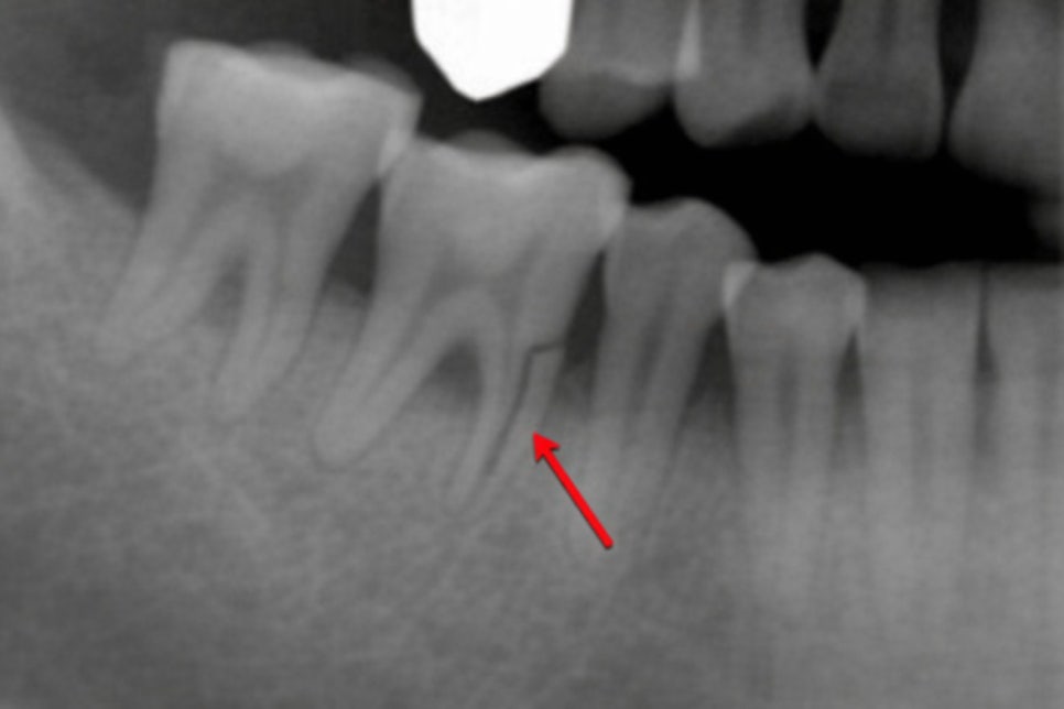
뿌리까지 이어진 수직 파절
수직 치근 파절은 치과에서부터
치근까지 세로 방향으로 금이 간 상태를 말합니다.
대개 신경치료를 받은 곳에서
발병률이 높게 나타나는데,
근관 충전 후 치아는 수분을 잃고
취약해진 상태이기 때문에
외부 충격이나 저작압에 의해
수직으로 파절되기 쉽습니다.

균열 틈새로 세균이 침투하면
치근단 범위까지 감염이 확산되고
이 과정에서 치아를 지탱하는
치조골 손실이 발생하게 됩니다.
치조골은 한 번 손상되면
회복이 어렵기 때문에
진단이 늦어질수록 주변 조직 전반에
피해가 커질 수 있습니다.

수직 치근 파절은 치료를 시도하더라도
예후가 불량할 때가 많습니다.
치조골 파괴가 심해지면 추후
임플란트 식립조차 어려워질 수 있기 때문에
빠른 발치가 권장되는 경우가 많습니다.
잔존 치조골 상태에 따라
치료 방향이 달라질 수 있으므로
정밀 진단 후 결정하는 것이 중요합니다.
생활 속 예방법
크랙은 한 번 생기면 회복이 불가능하며
방치할수록 범위가 넓어지기 마련입니다.
예방이 가장 확실한 치료인 만큼,
일상 속 작은 습관부터 점검해보는 것이 좋습니다.
그럼 생활 속에서 실천할 수 있는
예방법으로는 어떤 것들이 있는지
당산 보존치과 와 알아보겠습니다.

✅ 먼저 얼음이나 딱딱한 음식을 저작하는 습관,
질긴 음식을 한쪽으로만 씹는 버릇은
개선하는 것이 좋습니다.
✅ 한쪽으로만 씹는 경우 특정 치아에
저작압이 집중되어 균열 위험이 높아지므로
양쪽을 고르게 저작하는 습관을
들이는 것이 도움이 됩니다.
✅ 이갈이나 이 악물기가 있다면
교합 안정 장치를 착용해
수면 중 가해지는 과부하를 줄여야 됩니다.
이갈이는 본인이 인지하지 못할 때가
많기 때문에 가족에게 확인하거나
기상 후 턱이 피로하다면
한 번쯤 진단을 받아보시는 것을 권해 드립니다.
✅ 앞서 말씀드린 것과 같이
오래된 충전재가 있을 때도
문제가 생길 수 있으므로
정기 검진을 통해 충전재의 상태를
주기적으로 확인하는 것이 필요합니다.
크랙은 눈에 잘 띄지 않지만
방치할수록 문제는 더 커지게 됩니다.
따라서 찌릿한 통증이 반복된다면
그냥 넘기지 마시고
검사를 받아보시기 바랍니다.
긴 글 읽어주셔서 감사합니다.
지금까지 당산 보존치과 의사 김민영이었습니다.