❓ Clicking in the jaw?
At Seoul Ob Dental Hospital, TMJ treatment is approached differently
When you open your mouth and hear a ‘click,’ or feel your jaw shift out of alignment while chewing... have you been putting up with it as if it were just temporary pain?
Temporomandibular joint disorder is not simply a habit or a stress-related issue.
Seoul Ob Dental Hospital is a clinic where a specialist in oral and maxillofacial surgery from Seoul National University provides direct care,
and we conduct detailed TMJ diagnosis based on anatomical understanding, along with comprehensive treatment such as medication, Botox, and physical therapy.
👂 A consultation that listens to TMJ ‘sounds’ with a stethoscope
Seoul Ob Dental Hospital uses a stethoscope in TMJ care.
We listen to the ‘click’ and ‘rattle’ sounds produced when opening and closing the mouth through a stethoscope,
and identify disc displacement and joint condition more precisely.
✅ A panoramic image that can also check the TMJ disc
Beyond a simple dental panoramic image,
Seoul Ob Dental Hospital has high-performance equipment that can also confirm the TMJ disc and joint space.
By checking the detailed information that is essential for TMJ diagnosis through images,
we can design more precise and predictable treatment.
💊 Medication treatment – reduces pain and stabilizes muscles
TMJ treatment usually begins with non-surgical methods.
At Seoul Ob Dental Hospital,
-
muscle relaxants are used to stabilize tense muscles around the jaw,
-
and if muscle tension is strong or the pain is severe, Botox is also used together
-
to control pain more quickly.
💉 Botox should be performed by someone who knows anatomy well and has performed it many times in practice
Botox used for the TMJ is not simply a cosmetic procedure.
It requires accurate knowledge of the muscles, nerves, and blood vessel structures of the jaw and face,
and a medical team with extensive clinical experience to perform it in order to improve effectiveness and reduce side effects.
The chief director of Seoul Ob Dental Hospital
completed training in the Department of Oral and Maxillofacial Surgery at Seoul National University Hospital and later treated many trauma patients in a university hospital emergency room, personally performing suturing as well,
so this is a medical team with an excellent understanding of anatomy and highly refined procedural skills.
✔️ In addition to TMJ Botox,
✅ frown line wrinkles
✅ crow’s feet
✅ lip corner fine wrinkles and other cosmetic Botox treatments are also available.
💡 “Botox should only be done at a dermatology clinic?”
That is not the case.
Botox procedures based on anatomical understanding are fully possible in dentistry as well,
and if a specialist performs them directly, as at Seoul Ob Dental Hospital, you can expect results that are even safer and more precise.
⚡ Physical therapy – uses the latest PHL-15 device
Seoul Ob Dental Hospital uses the physical therapy device ‘PHL-15’ for TMJ treatment.
This device
-
simultaneously applies infrared and low-frequency stimulation to effectively relieve tension in the jaw muscles,
-
and helps improve blood flow, relieve pain, and reduce inflammation.
-
Compared with conventional devices, it has a wider and deeper energy delivery range, which leads to higher satisfaction.
📸 This is a photo of the actual device used at our hospital.

This is the PHL-15 TMJ physical therapy device used at Seoul Ob Dental Hospital.
By using infrared and low-frequency stimulation together, it is a treatment device that helps relieve tension in the jaw muscles and reduce pain.
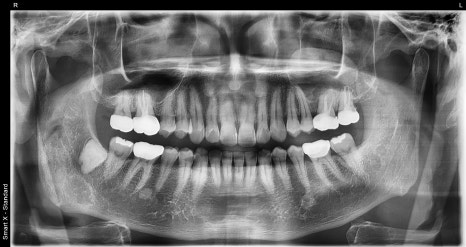
🧑⚕️ Treatment case – a patient in their 50s with clicking in the jaw and a zigzag closing motion


These are the initial X-ray images of a male TMJ patient in his 50s.
Through panoramic and TMJ-specific imaging, abnormal disc positioning (asymmetry) in both TMJs and narrowing of the joint space were confirmed.
The male patient in his 50s visited us with symptoms of “a clicking sound in the jaw and the jaw closing in a zigzag motion every time he chewed.”
At the initial visit,
-
detailed panoramic imaging and stethoscope auscultation,
-
along with an anatomy-based diagnosis, led to a diagnosis of TMJ disc disorder, and
-
for about one month, medication treatment (muscle relaxants) and physical therapy using the PHL-15 device were carried out together.
✔️ Zigzag closing is a structural issue, so it is difficult to cure in a short period of time,
✔️ but the pain almost disappeared,
✔️ and the patient said the burden on the jaw during daily life was greatly reduced.
🏥 Why Seoul Ob Dental Hospital is strong in TMJ treatment
-
✅ Care by a specialist in oral and maxillofacial surgery from Seoul National University, plus collaborative care from five Seoul National University specialists in prosthodontics and conservative dentistry
-
✅ Integrated anatomy-based approach combining medication + Botox + physical therapy
-
✅ Diagnoses TMJ sounds with a stethoscope
-
✅ Panoramic equipment capable of checking the disc as well
-
✅ Equipped with the latest physical therapy device, PHL-15
-
✅ Dental hygienists work throughout the hospital
-
✅ In-house dental laboratory – dental technicians on staff
-
✅ University hospital-level sterilization system
-
✅ 365-day treatment, nighttime & emergency response system
📝 Precautions during TMJ treatment & self-care at home
TMJ treatment is just as much about managing daily habits and self-care as it is about procedures at the hospital.
Please be sure to follow the precautions below.
📌 Precautions during treatment
-
❌ Avoid hard or chewy foods (squid, nuts, dried squid, etc.)
-
❌ Refrain from opening your mouth wide (yawning, biting into a whole large apple, etc.)
-
❌ Chewing only on one side can cause bite imbalance
-
❌ Habits such as resting your chin on your hand, sleeping face down, and teeth grinding need to be corrected
-
⏰ Consistency is key to treatment! Do not stop halfway; please visit according to the scheduled intervals
🧘♀️ Self-care tips at home
- Warm compress
-
Once or twice a day, placing a warm towel on the jaw area for about 10 minutes
-
can help relax the muscles and relieve pain.
- Jaw stretching (without overdoing it)
- Dietary adjustment
- Eat mostly soft foods such as porridge, soup, and tofu so as not to strain the jaw.
- Reducing tension
-
When you are stressed, the muscles around the jaw also tense up unconsciously.
-
It is good to manage overall body tension together through meditation, breathing, and light stretching.
The TMJ is an important area where everyday habits and how you use it determine the speed of recovery.
Seoul Ob Dental Hospital helps not only with treatment, but also with personalized guidance for correcting lifestyle habits.
If you have any questions, feel free to contact us anytime 😊
📞 Treatment inquiries and consultation information
If you have any questions about TMJ treatment, Botox, physical therapy, and related services, please feel free to contact us anytime.
Location: 4th–5th floors, 196 Baekjegobun-ro, Songpa-gu, Seoul
🚗 Parking available (pink parking lot at the back of the building / Search ‘서울오브치과’ on Tmap, Naver Map, or KakaoMap for directions)
Seoul Ob Dental Hospital
4th and 5th floors, 196 Baekjegobun-ro, Songpa-gu, Seoul