Minimally prepared esthetic prosthetics that resemble nature and enhance beauty

Before and after OVZERO laminate
Hello.
This is Seoul Ob Dental Hospital in Samjeon-dong :)
When the medical staff or employees of a hospital
receive treatment themselves at the same hospital,
it means they trust the results
and the technology that much.
Today, we would like to introduce a treatment case
of a staff member from our hospital
who underwent OVZERO laminate!
💕 Initial visit



25.01.16
The main character we are introducing today is
Seoul Ob Dental Hospital in Jamsil’s smile icon, Ms. Noh Ikyeong. 😊
She is someone who always brings smiles to everyone,
but she had one concern..!
The incisal edge of the left maxillary central incisor
was not smooth,
and she also wanted to improve the shape and size.
She also wanted to improve the way the tooth looked
slightly set inward when viewed from the side.
She wanted to make her own teeth more beautiful
and harmonious,
so she wished to receive "OVZERO laminate."
🌿 What is OVZERO laminate?
OVZERO Laminate (OVZERO), developed with
our own technology at Seoul Ob Dental Hospital,
is an esthetic prosthetic that highlights natural beauty
through a natural and refined design while minimizing tooth reduction as much as possible.
✅ Minimal preparation
Preserves healthy tooth structure by reducing the amount of tooth reduction
✅ Natural-like color
A high-quality shade that harmonizes with the surrounding teeth
✅ Customized design
A design tailored precisely to each patient's facial shape and smile line
✅ High-precision fabrication
Precision fabrication with no errors through an in-house dental lab system
It is not simply about making teeth whiter,
but about pursuing natural beauty
that harmonizes with the patient's unique atmosphere.
That is why we often say this!
"OVZERO is not a treatment that changes;
it is a treatment that brings out what is already there."

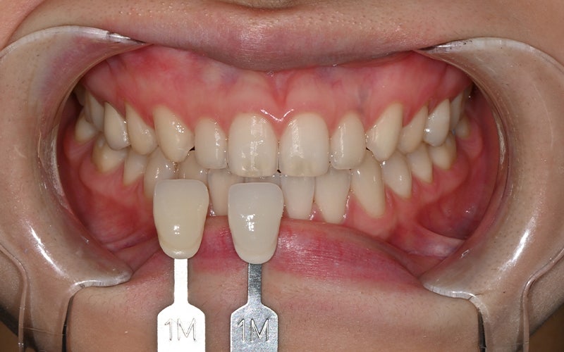
25.05.07
Before completing the OVZERO laminate,
minimal preparation was performed,
and the tooth color was being matched
through a shade guide.
We proceed with treatment by carefully considering
the colors of the adjacent teeth as well,
so that the result is natural and harmonious.
💕 Successful completion!



25.05.21
This is the result of completing OVZERO laminate
at Seoul Ob Dental Hospital!
A successful OVZERO laminate that achieved
natural tooth lines and a clear color tone! 👍🏻
She asked to be made like Suzy, but,,
she turned out even prettier than Suzy :)
"She really looks like a celebrity!"
"She looks so pretty when she smiles!"
"Tell me where you got it done!"
After the procedure, people around her said things like this,
and she was extremely satisfied!

Our staff were also surprised
when they saw the actual photos.
Her smile was already beautiful,
but through OVZERO
it was completed even brighter and healthier! ✨

💬 Who is OVZERO for?
✔️ People whose teeth are strong but want a more refined smile
✔️ People who felt existing laminates looked too artificial
✔️ People who want a natural-looking smile that does not stand out
✔️ People who want to receive esthetic prosthetics safely with minimal preparation burden
OVZERO is a solution that restores your own smile with
"less reduction, more beauty."

🏥 Why it is possible only at Seoul Ob Dental Hospital
Seoul Ob Dental Hospital in Samjeon-dong
promises clear and safe treatment through collaborative care
by prosthodontic, restorative, and oral surgery specialists.
All prosthetic restorations are directly fabricated in our in-house dental lab,
and through regular quality meetings,
we manage both esthetics and durability.
Including Director Kim Suwan, an esthetic prosthodontic specialist from Seoul National University,
all medical staff provide treatment using the same OVZERO system,
offering high-level esthetic care that even staff trust and choose.
Wanting to look prettier when smiling
is something everyone has.
OVZERO is the esthetic prosthetic standard
that makes that wish come true most naturally!
And healthily!
Staff and medical professionals trust and receive OVZERO!
We hope you experience that change in your smile too~! 🙂
- All case photos were posted with the consent of the individuals involved,
in accordance with Articles 23 and 56 of the Medical Service Act.
- All treatment photos are of patients treated at our hospital.
- All treatment photos are of the same person,
and were taken under the same conditions.
- Depending on the individual, side effects may occur after procedures and surgeries,
so please consult sufficiently with the medical staff.