🦷 Tissue biopsy may also be necessary during dental treatment
You cannot do it at just any dental clinic.
You need someone who knows how to spot it.
Let me show you why Seoul Ave Dental Hospital can do it.
1️⃣ There are moments during dental treatment when a tissue biopsy is needed
"What kind of blood test do you do at a dental clinic?"
"Isn't a biopsy something only university hospitals do?"
You may think that, but that is not how it works in real practice.
If the gums swell too easily, if there is a lot of bleeding even with a small procedure,
or if a wound does not heal and keeps getting worse, it may not be a simple gum problem.
For example
🩸 Bleeding does not stop easily → leukemia, blood disorders
🔥 Inflammation occurs frequently and runs deep → osteomyelitis, chronic infection
😮 Treatment is slow and bruising occurs easily → possible systemic immune abnormality
In situations like this, a biopsy and blood test are not a "choice" but a "safety measure."
📍 This really happened – an illness that could have been missed if it had been brushed aside
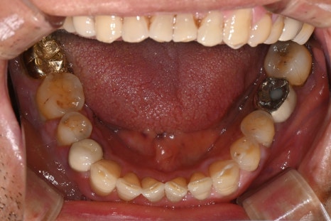
The patient shown today was a very ordinary patient in their 60s, with no special medical history other than common chronic conditions such as hypertension and hyperlipidemia, which many people have at least one of.


The image on the left is a panoramic X-ray taken at the initial visit, and the image on the right is an intraoral photo of the patient.
The lower right molar (#47) showed significant bone loss around the gum on the X-ray, and the tooth was very loose, so we were planning #47 extraction and implant treatment along with full gum treatment.
On the first visit, the patient came in for a simple examination and scaling treatment,
and there was no major problem visible to the naked eye or on the X-ray.
On the surface, the patient seemed like an ordinary case commonly seen at a dental clinic.
However, during scaling, there was more bleeding than expected and hemostasis was not going well,
so we provided only simple treatment and the patient went home for the time being.
The next day, after deciding on treatment, we performed extraction of the lower right molar (#47), and severe bleeding occurred again during the procedure.
Based on the judgment that "this is not just simple inflammation,"
we immediately collected some gingival tissue and performed a biopsy and blood test together.
The photo below is the test result report.

As a result, the findings suggested suspected leukemia rather than simple inflammation.
The patient was immediately referred to hematology,
and is currently pausing dental treatment and starting an accurate diagnosis and treatment.
2️⃣ At Seoul Ave Dental Hospital, tests can be done immediately during treatment
In most dental clinics, if a biopsy or blood test is needed, an outside referral is made first.
Then you have to wait several days or even weeks. But Seoul Ave Dental Hospital is different.
-
🧪 Biopsy: tissue can be collected immediately during treatment; collection tools are available.
-
💉 Blood test: blood is drawn on-site and then sent for testing; all blood collection tools are available.
-
🦷 CT, panoramic X-rays, and intraoral photos can all be taken in real time
-
🏥 If necessary, direct coordination with a university hospital is also available
From the patient’s perspective, this is an environment where fast, accurate, and safe care is possible.
3️⃣ It cannot be done anywhere — what matters is having someone who knows how to spot it
Having test equipment alone is not enough.
In the end, what matters is the eye to notice when something looks abnormal even though the symptoms are minor. 👀
At Seoul Ave Dental Hospital
- Treatment is handled by five dental specialists from Seoul National University who are specialized in oral surgery, prosthodontics, and aesthetic treatment.
In addition,
-
All staff members are dental hygienists
-
The hospital operates an in-house dental lab, and an in-house dental technician directly fabricates and manages prosthetics
-
State-of-the-art equipment including CT, digital scanning, and intraoral endoscopy is available
-
Treatment for foreign patients is available
-
Free parking is available on the first floor of the building
-
Inquiries via KakaoTalk and Naver TalkTalk: Seoul Ave Dental Hospital
It is a hospital that does not take each patient lightly, and is meticulous to an almost excessive degree.
4️⃣ That is why Seoul Ave Dental is different
We are not simply a hospital that looks only at teeth.
Because we know that changes in the mouth can be linked to systemic health,
we always go one step further in diagnosis, and if necessary, we do not hesitate to perform a biopsy or blood test.
Care that does not miss small clues. That is the principle of Seoul Ave Dental Hospital.
In closing
Strange signals felt during dental treatment, small amounts of bleeding, or inflammation that does not heal
can sometimes be SOS signals from the body as a whole.
Seoul Ave Dental Hospital is a hospital that makes an effort to see these signals "differently,"
and has the system to respond to them.
That difference can sometimes become the decisive moment that changes a patient’s life.
Seoul Ave Dental Hospital
4th and 5th Floors, 196 Baekjegobun-ro, Songpa-gu, Seoul