Hello.
This is Seoul of Dental Hospital, Jamsil Dental Clinic.💚
After implant treatment,
“Everything looks fine on the outside, but it keeps bothering me.”
“There is still a sensitive feeling when I drink cold water.”
“It feels uncomfortable when I chew.”
There are quite a few people who come back to the clinic for these reasons.

The case introduced this time
is a real case in which lingering sensitivity and discomfort after implant treatment
were improved through precise diagnosis and bite adjustment.
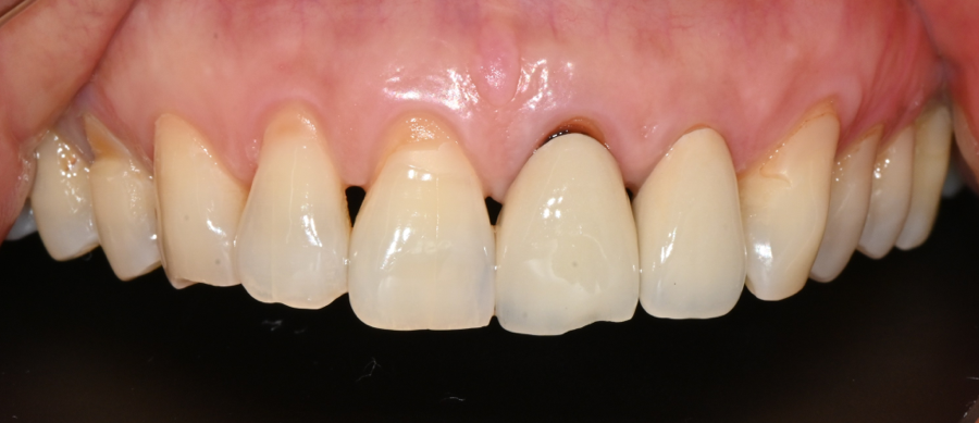
It looked fine on the outside, but discomfort kept recurring during use
The patient had already undergone
prosthetic treatment for the front teeth and implant treatment for the molars.
However, in daily life,
• An unstable feeling when using the temporary prosthesis
• Sensitivity when drinking cold water
• A feeling that force was concentrated on a specific area when chewing






Previous image
Next image
kept repeating,
and the patient came in with growing concern about
“whether it was okay to keep using it like this.”
What matters more than the implant itself
is the bite relationship and how it feels in use
Although the implant fixation itself was relatively stable,
• The direction in which force was transmitted during biting
• The way the prosthesis fit against the surrounding teeth
• The points where repeated stimulation was applied while chewing
worked together and were causing the sensitivity and discomfort.





Previous image
Next image
This was a case that showed that for implants,
what matters more than the structure that has been placed
is the actual environment in which they are used.
Why discomfort can occur even when everything looks fine
When sensitivity or discomfort remains after implant treatment,
many people first think, “Maybe something is wrong with the implant,”
but in reality, the cause is often not the implant itself,
but rather the balance with the surrounding teeth, changes in the bite, and usage habits.
Unlike natural teeth,
implants have almost no microscopic cushioning effect,
so even if the direction of biting force is slightly off,
stimulation can repeatedly concentrate on a specific area.
As this accumulates, it can easily lead to a sensitive feeling with cold water or
an uncomfortable pressure when chewing.

Even if there appears to be no major problem,
the discomfort felt during actual use can be an important signal from the teeth and bite.
Therefore, instead of brushing it off by thinking, “It will get better with time,”
a process of accurately checking the current bite condition and usage environment is necessary.
In this case as well,
rather than focusing only on the implant fixation itself,
the key turning point for improving the discomfort was approaching it from the perspective of
“how it is being used.”
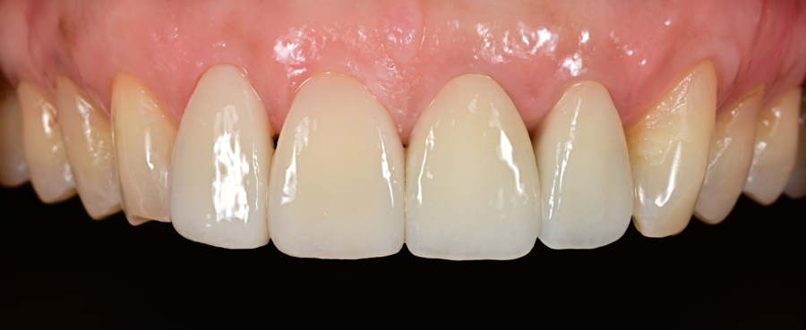
Stabilization through bite analysis and step-by-step adjustment
In the patient’s case,
after reanalyzing the overall bite,
several bite adjustments were performed so that excessive force would not be placed on a particular tooth when chewing.
In addition, the condition of the gum and teeth around the prosthesis was checked together,
and treatment continued with the goal of achieving a state that could be used naturally in daily life.

This process was not completed all at once;
it was carried out step by step while checking the sensation during use.
What changed most after treatment
After the adjustments were completed,
the patient said,
“Most of the bothersome feeling when chewing is gone.”
“It no longer feels as sensitive as before, even when I drink cold water.”


In particular, the habit of chewing only on one side during meals decreased,
and as the patient became able to use both sides evenly,
the overall feeling of use became much more comfortable.
What happens after implant placement is more important
than the implant placement itself
Implant treatment is not just about the placement procedure;
the key is how stably it is used afterward.

Because subtle discomfort can arise depending on bite changes, gum condition, and usage habits,
regular checkups and adjustments
determine the lifespan of the implant.
If this applies, we recommend a checkup at least once
• If sensitivity continues after an implant
• If only a specific area feels uncomfortable when chewing
• If everything looks fine on the outside, but the way it feels in use is unsatisfactory
In these cases, before considering another major treatment,
just checking the current condition accurately can be enough to find a direction for improvement.

At Seoul of Dental Hospital, Jamsil Dental Clinic,
we guide treatment with the goal of the most stable use
based on the current condition.
You can also get a sense of the direction through a consultation alone,
so please feel free to contact us.
📞 02-418-2275 / KakaoTalk consultation available
Seoul of Dental Hospital
4th and 5th Floors, 196 Baekjegobun-ro, Songpa-gu, Seoul
https://youtu.be/8Q9I_GSg7tY?si=lexCdmwo6TKLXUdE