
Implants are one of the representative treatment methods
used to restore function when a tooth has been lost.
An implant is not simply a structure that
replaces a tooth, but a procedure that is fixed to the gums and bone
and plays a role similar to a natural tooth.
In particular, the molar area is where chewing force is concentrated,
so more precise treatment is needed when placing an implant.

Implant price generally varies depending on
this treatment process and level of difficulty. At an implant dental clinic, a treatment plan is created according to the patient’s condition, and the
implant price is determined accordingly.
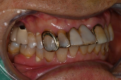
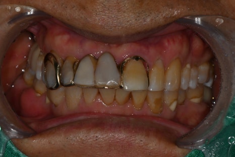
Why Molar Pain Occurs
Molar pain is often caused not only by simple cavities,
but also by gum inflammation or periodontal disease. In one case, a 70-year-old male patient visited the clinic with pain in the lower right
molar, and the examination revealed both periodontitis and
gum inflammation.

Molars are areas where food
gets trapped easily,
so if they are not cared for, inflammation can
develop easily.
If this condition continues,
it can eventually lead to a situation where the tooth is difficult to save.
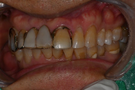
The First Treatment at the Implant Dental Clinic



An implant dental clinic does not proceed with an implant right away.
Because implant success rates increase only when the gums and bone
are in a stable condition,
it is important to first perform gum treatment.
In this patient’s case as well, tartar removal and
periodontal treatment were performed first.

Only after reducing gum inflammation and improving bleeding can the implant settle in a stable way.
Implant price may vary depending on whether such preliminary treatment is included.
When a Molar Implant Is Needed

A molar implant is needed in the following cases.
When the tooth is severely loose
When bone has been damaged due to gum inflammation
When recovery is difficult even with root canal treatment
In this case as well, the molar was judged to be in a condition that was difficult to maintain, so extraction was followed by implant treatment.
An implant is a treatment used to restore function
when the tooth cannot be preserved.
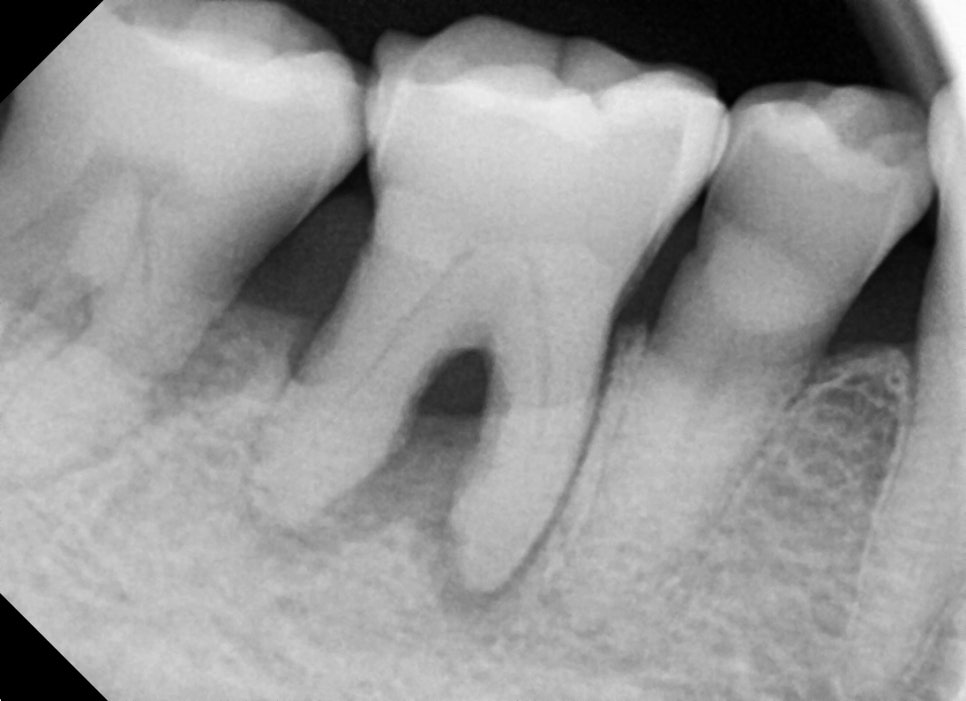
The Implant Placement Process

After molar extraction, implant placement is performed.
At this stage, what matters most is the condition of the bone.
Because the molar area often lacks sufficient bone, bone grafting is often performed together.
In this patient’s case as well,
guided bone regeneration and allogeneic bone grafting were performed together.
Implant price varies depending on whether such bone grafting is needed.

At an implant dental clinic, it is important to secure initial stability
so that the implant can be fixed firmly.
Implant Recovery Period

An implant is not a treatment that is completed
immediately after placement.
It takes a certain period of time for the implant and bone to integrate. Usually, this takes about 2 to 3 months,
and at Seoul Ob Dental Clinic,
progress is continuously monitored during this period.
Implant price can be seen as the cost that includes the entire treatment process.

Prosthetic Treatment and the Final Steps
The final stage of implant treatment is the prosthesis.
The prosthesis is


The part that functions as the actual tooth,
and it is made to match the patient’s bite and shape.
In this case,
a custom abutment and a zirconia crown were used.
Molar implants are under strong chewing force in particular,
so bite adjustment is very important.
At the implant dental clinic, stability is ensured by checking the bite multiple times. Implant price can also vary depending on
the precision of the prosthesis.
Key Reasons Implant Prices Differ

Implant prices are not fixed.
They vary depending on factors such as the following.
Whether it is a molar location
Gum condition
Whether bone grafting is needed
Number of implants
Prosthetic materials
The treatment system of the implant dental clinic
In particular, molar implants are more difficult than those in other areas,
so differences in implant prices can occur. At an implant dental clinic,
rather than simply comparing prices,
it is important to review the treatment plan as well.
What to Check When Choosing an Implant Dental Clinic

When choosing an implant dental clinic,
it is good to check the following points.
Whether precise diagnosis is available
Experience with molar implants
Post-surgery management system
Prosthesis fabrication system
Because implants are a treatment used long term,
the initial treatment plan is very important.
An implant is not just a simple treatment,
but a choice for long-term oral health.

#임플란트치과 #임플란트가격 #어금니임플란트 #송파구치과 #잠실치과 #임플란트정보