
Laminate is not simply a procedure
for whitening teeth.
Laminate is
a treatment that completes a natural
smile by harmoniously improving
the color, shape, and proportions
of the teeth.
In particular, front teeth laminate affects the overall impression of the face, so it is not just a simple procedure but a treatment that requires precise design.
At Seoul Ob Dental Hospital, this kind of laminate is approached not as simple prosthodontics, but as a “design treatment.”


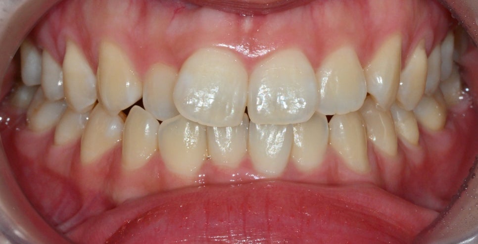
A woman in her 20s, a case seeking naturalness
This patient visited the clinic wanting
to improve her front teeth in a way that would look naturally beautiful.
Rather than excessively white teeth,
she wanted results that suited her own image,
and based on that, a treatment plan was established using the Obzero Pure Line for the six front teeth.
Why Obzero laminate

Unlike regular laminate,
Obzero laminate aims for
“maximum naturalness with minimal intervention.”
✔ Micro-preparation or an approach close to no-prep
✔ Translucency similar to natural teeth
✔ Customized design for each individual


These three points are the key.
In particular, the Obzero Pure Line
allows fine adjustment of color and translucency,
making it suitable for those who want laminate that does not look obvious.
What makes Seoul Ob Dental Hospital different

A collaborative system of four specialists from Seoul National University
Direct design by a prosthodontic specialist
An in-house dental lab
A system of collaboration with an on-site dental technician
From start to finish, everything is made with precision.
In particular, the process in which the dental lab and the medical team align on the design greatly affects the level of completion of the result.
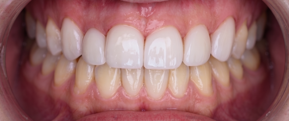
A design that also considers the gums

In this case, gingival contouring was performed together for a more natural result.
Laminate should
not only look at the teeth,
but also at the gum line
in order to look natural.
At Seoul Ob Dental Hospital, we design while considering the overall balance, including the ratio between the teeth and gums.
Differences in the fabrication process

Obzero laminate is
not simply made and bonded.
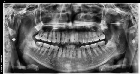
Pre-treatment precision imaging
Digital scanning
Custom design
Adaptation confirmed with temporary teeth
Through this process,
we find the shape that suits the patient best.
During this process, the patient can also directly feel the changes.
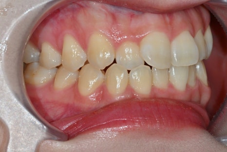
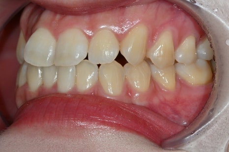
The key to naturalness: translucency

Laminate is not determined by color,
but by “translucency.”
In this case as well,
the central front teeth were given a natural color tone, while the surrounding teeth were adjusted for translucency to create an overall harmonious result.
Seoul Ob Dental Hospital
has a strength in expressing this translucency.
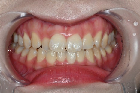
The final result is not just
that the teeth change
<before>

<after>

The changes after laminate are not simple.
Improved smile line
Changed facial impression
Natural appearance in photos
Increased confidence
All of these changes appear together.
The patient also responded,
“It looks natural without feeling like I had laminate done.”
When Obzero laminate is needed

If you are concerned about the color of your front teeth
If the shape of your teeth is uneven
If you want to improve your image naturally
Laminate is not about excessive change,
but a treatment that makes you look naturally better.
Laminate is not a simple procedure.
The design, materials, and fabrication method all determine the result.

Seoul Ob Dental Hospital does not simply
make teeth; it provides treatment that creates the smile most suited to the patient.
Obzero laminate is one of the ways to make that result look as natural as possible.

#ObzeroLaminate #Laminate #FrontTeethLaminate #DentalAesthetics #SongpaDistrictDentist #JamsilDentist