
An implant is a treatment that restores function when a tooth is damaged or lost.
An implant is a procedure that restores chewing function in a way similar to natural teeth,
and it is a treatment that must take both the gums and bone condition
into consideration.
In particular, molar implants
receive a great deal of chewing force, so
both precise surgery and the prosthetic process are important.
Implant price is not just a simple cost;
it generally varies depending on treatment difficulty,
bone condition, and whether additional treatment is needed.
At the implant dental clinic, these factors are comprehensively considered
to provide customized treatment for each patient.
A patient in their 50s who visited with a molar issue

This patient came in for scaling
and during the visit, the condition of the molar was checked.
There had been a prosthetic restoration on the existing molar, but the prognosis was poor,
so extraction was ultimately necessary.
Molars may look fine from the outside,
yet the internal condition is often not good.
In particular, when there is an old prosthetic restoration, it can lead to a situation
where retreatment or an implant is needed.

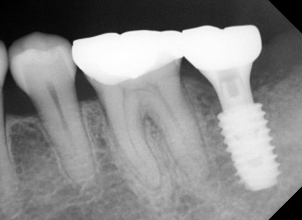
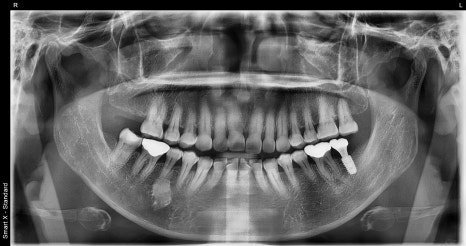
Implant surgery performed at the same time as extraction

In this case, the implant was placed immediately after the molar extraction.
✔ First implant surgery
✔ Guided bone regeneration performed
✔ Allograft bone graft performed in combination
The molar area often has insufficient bone,
so bone grafting is frequently performed together.
Implant price differs depending on whether such
bone grafting is needed.
At Seoulorb Dental Hospital,
implant placement is performed at the same time as extraction to reduce treatment time
and minimize gum damage.

Implant price
Seoulorb Dental Hospital implant price information

Osstem Implant (BA) 880,000 KRW
Osstem Implant (SOI) 1,080,000 KRW
Straumann Implant (BLX) 1,580,000 KRW
Recovery and second surgery process

After implant placement, time is needed for the bone and implant to
integrate.
After about 2 to 3 months, a second surgery is performed
to connect the implant above the gums.

Important prosthetic treatment for molar implants


The completion of implant treatment is determined at the prosthetic stage.
In this case,
custom abutment applied
zirconia prosthesis fabricated
occlusal adjustment
were performed.
Because molar implants must withstand chewing force,
accurate occlusion is very important.
Even the slightest occlusal differences are adjusted to ensure stability.
Treatment that also considers adjacent teeth

In this case,
in addition to the implant, crown treatment on the adjacent tooth
was also performed.
An implant is not a stand-alone treatment;
it is important to maintain balance with the surrounding teeth.
Especially for molars,
left-right balance
distribution of chewing force
occlusal stability
are important,
so an overall design is needed.
The distinguishing features of Seoulorb Dental Hospital

Implant results can vary greatly depending on the hospital.
Seoulorb Dental Hospital
surgery by a Seoul National University-trained oral and maxillofacial surgery specialist
collaboration with a prosthodontics specialist
in-house dental lab operations
collaboration with resident technicians
Through this system, the process from surgery to prosthetics is carried out precisely.
Implant price is important, but
the stability and completeness of the result are more important.

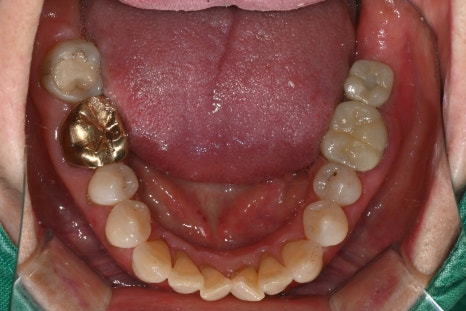
Changes after treatment


After treatment, the patient experienced
restoration of molar chewing function
reduced pain
stable occlusion
They also said it felt comfortable when chewing.
An implant is not just a treatment,
but a treatment that helps restore comfort in daily life.

Molar implants
are not simple placement procedures, but treatments that require precision.
Implant price varies depending on the patient's condition,
and it is important to decide after an accurate diagnosis.
When choosing an implant dental clinic, you should consider not only price but also treatment experience and
systems.
Seoulorb Dental Hospital
provides stable implants designed for long-term use through precise diagnosis and planning.

#implantdentalclinic #implantprice #molarimplant #Songpa-guDentalClinic #JamsilDentalClinic #implantreview