
As time passes after receiving upper front tooth crown treatment,
many people feel that it no longer feels the same as it did at first.
Crowns can change color over time, or
the gum line can change and make them look
unnatural.
In particular, even a small color difference or a change in the gums with an upper front tooth crown can significantly change the overall impression, so many people consider retreatment.
Why do old upper front tooth crowns need to be done again?

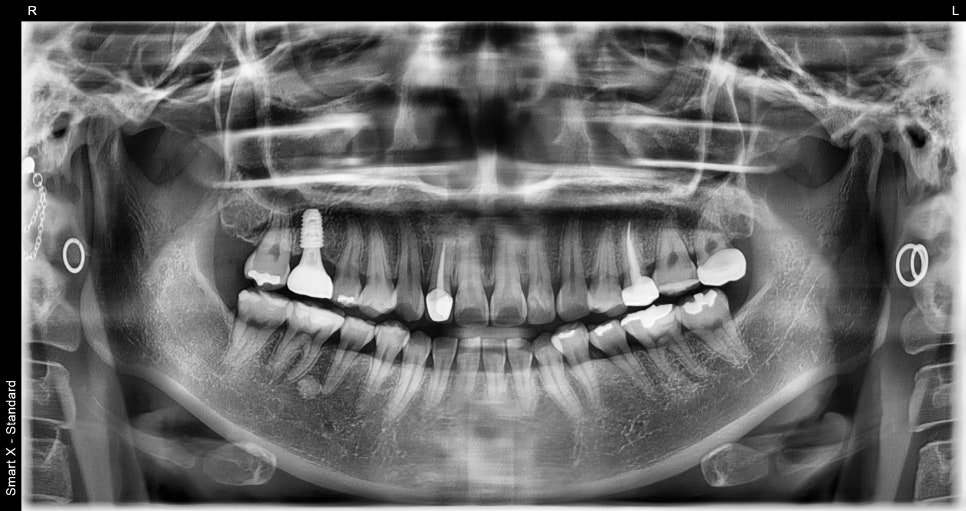
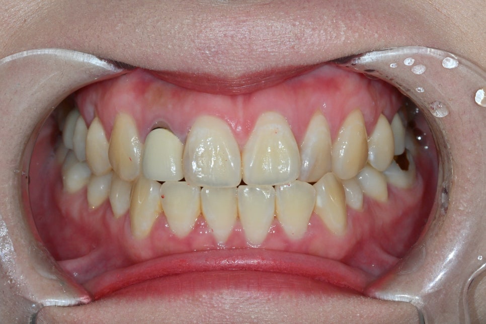
This patient was a 27-year-old woman who visited us because of aesthetic issues with an upper front tooth crown treated about 10 years ago.
A black line visible at the gums
A color difference from the surrounding teeth
An unnatural look in the front teeth
As time passes, upper front tooth crowns can look different from the original result as the gums recede or the internal structure changes. In such cases, rather than simple maintenance, it is necessary to improve them naturally through retreatment.
Not a simple replacement, but a “precise redesign”



Upper front tooth crown retreatment
is not simply a treatment that replaces the existing prosthesis.
At Seoul Of Dental Hospital,
we approach it as the concept of redesigning a single tooth.
✔ Complete removal of the existing crown and internal structure
✔ Formation of a new foundation suited to the tooth condition
✔ Redesign of color, shape, and proportions
In this case as well, after removing the existing prosthesis and core,
a stable structure was recreated with a resin core.
This process is
a key step that determines the stability and natural appearance of the result.
Zirconia crown selection for front tooth esthetics


In this treatment,
a zirconia crown for the upper front tooth was applied.
A zirconia crown is a material that simultaneously satisfies
A color tone similar to natural teeth
A structure in which no metal is visible
High strength and stability
. In particular, for front tooth crowns,
it is important not just that they are “white,” but also the translucency and depth that allow light to pass through. Seoul Of Dental Hospital
focuses on expressing these subtle differences.

The key factor that determines the result: the fabrication system


The level of completion of a front tooth crown
is often determined more during the fabrication process than during treatment.
Seoul Of Dental Hospital
operates an in-house dental lab
collaborates with on-site dental technicians
has a prosthodontist directly involved
and produces each case with a consistent standard from start to finish through this system.
In this case as well,
a natural result was completed by carefully matching the color and shape.
Treatment that also considers the gum line
What matters in front tooth treatment is not only the teeth but also the gums.

If the gum line looks awkward,
even the best crown
may appear unnatural.
At Seoul Of Dental Hospital,
we carry out treatment while also considering
the gum height
the gum thickness
the boundary with the tooth
In this case as well,
the final result was completed while checking the recovery state of the gums.

Naturalness completed through details
In the final stage,
we improve the quality by checking
prosthesis fit
bite adjustment
fine contact points
. Seoul Of Dental Hospital does not miss even small differences during this process.
✔ Whether it feels comfortable when chewing
✔ Whether it affects pronunciation
✔ Whether it looks natural
All of these factors are checked.
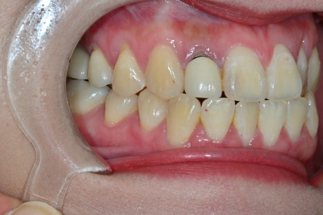
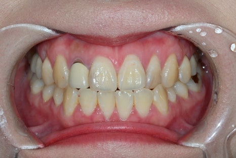
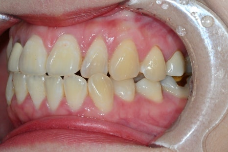
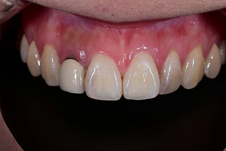
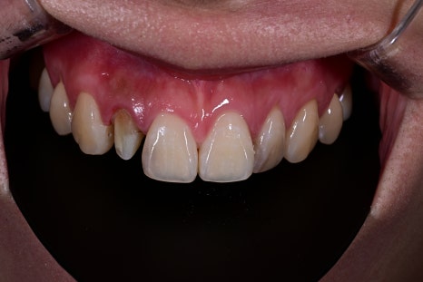
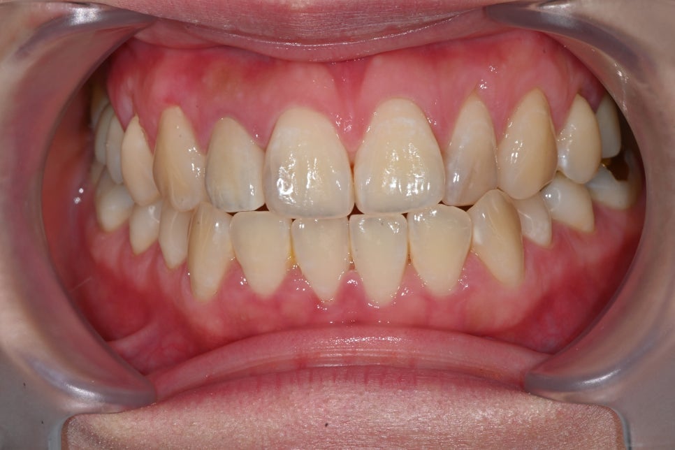
Changes after treatment
<BEFORE>

<AFTER>

Natural appearance of the gum line restored
A color harmony with the surrounding teeth
Improvement of the sense of incongruity in the front teeth
The response that it “looks like a natural tooth”
was especially impressive.
Front tooth crown treatment is
not just a prosthetic treatment,
but a treatment that changes the image.
Why Seoul Of Dental Hospital is different

Front tooth treatment is an area where the difference in results can be significant.
Seoul Of Dental Hospital
provides care through
collaborative treatment by specialists from Seoul National University
prosthodontist-centered care
precision fabrication in the in-house dental lab
digital-based diagnostic systems
and creates more precise results through this system.

Upper front tooth crown retreatment
is not a simple replacement, but a treatment that requires redesign.
Color, shape, and gums all need to be considered
to obtain a natural result.
Seoul Of Dental Hospital carefully carries out every step of this process
to complete “naturalness that does not stand out.”
If you are concerned about your front teeth, you need a precise approach tailored to you, rather than a simple treatment.

#UpperFrontToothCrown #ZirconiaCrown #CrownRetreatment #AestheticTreatment #SongpaDistrictDentalClinic #JamsilDentalClinic