
Laminates are
not simply a procedure to make teeth whiter.
Laminates are
a treatment that naturally changes the overall impression of the face
by adjusting the color, shape, length, and proportions of the teeth.
In particular, front-tooth laminates can look unnatural if they are even slightly overdone,
so a precise design and fabrication process is
very important.

Recently,
more and more people have been saying, "I want a natural improvement without it looking like I had laminates," which has made a more refined approach
necessary than before.
At Seoul Ob Dental Hospital,
in line with this trend, we provide treatment through Obzero Laminates,
which satisfies both naturalness and precision at the same time.
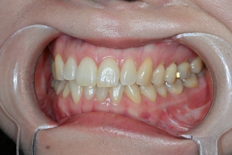
A real case that started with an Obzero consultation

This patient visited us wanting to improve their image naturally.
Rather than simply making the teeth brighter,
✔ subtle coloring
✔ a neat tooth arrangement
✔ a smile that suits the face
were requested, and accordingly,
treatment was performed with 8 Obzero Pure Laminates.
What matters more than the number of laminates is
"how naturally they blend in."

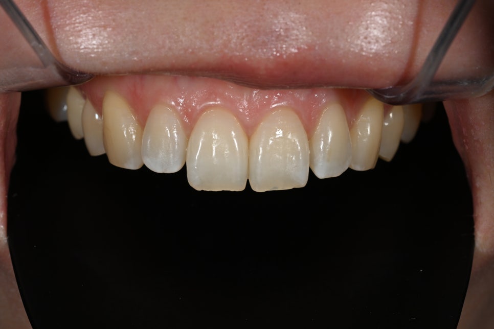
Key advantages of Obzero Pure Laminates
Among Obzero Laminates,
the Pure line is the one that emphasizes naturalness the most.
The biggest features of Obzero Pure are
✔ tooth preservation through minimal reduction
✔ translucency similar to natural teeth
✔ fine adjustment of color, texture, and brightness
✔ personalized design possible
In particular, Obzero Pure is
not about simply making teeth white,
but about reproducing the feeling of natural teeth that allow light to pass through.
That is why even when viewed up close, there is less of the unfamiliar look typical of laminates,
creating results that blend in naturally.
The 3-way collaboration of prosthodontic specialists that determines the result



For laminate results, who designs it and how is more important than which material is used.
At Seoul Ob Dental Hospital,
✔ a three-way collaborative system with prosthodontic specialists
✔ custom design meetings for each case
✔ collaboration between the medical staff and dental technicians
are used to carry out more precise laminate treatment.
In particular, Obzero Laminates are
not just a simple procedure but a "prosthetic design treatment,"
so the role of the prosthodontic specialist is extremely important.

The Obzero system is different from the very first diagnosis



For laminates, pre-treatment diagnosis is more important than the procedure itself.
At Seoul Ob Dental Hospital,
intraoral photography
facial proportion analysis
analysis of tooth alignment and length
smile line design
are used to first establish the design that best suits the patient.
Through this process, laminates that blend well are created.

The in-house dental laboratory, a key factor in producing results
Another distinguishing feature of Obzero Laminates is
the in-house dental laboratory system.
Seoul Ob Dental Hospital
✔ in-house technicians create the restorations directly
✔ real-time communication with the medical staff
✔ immediate design modifications possible
This structure increases the level of completion. Unlike outsourced fabrication,
detail adjustments can be made quickly,
which changes the naturalness of the result.

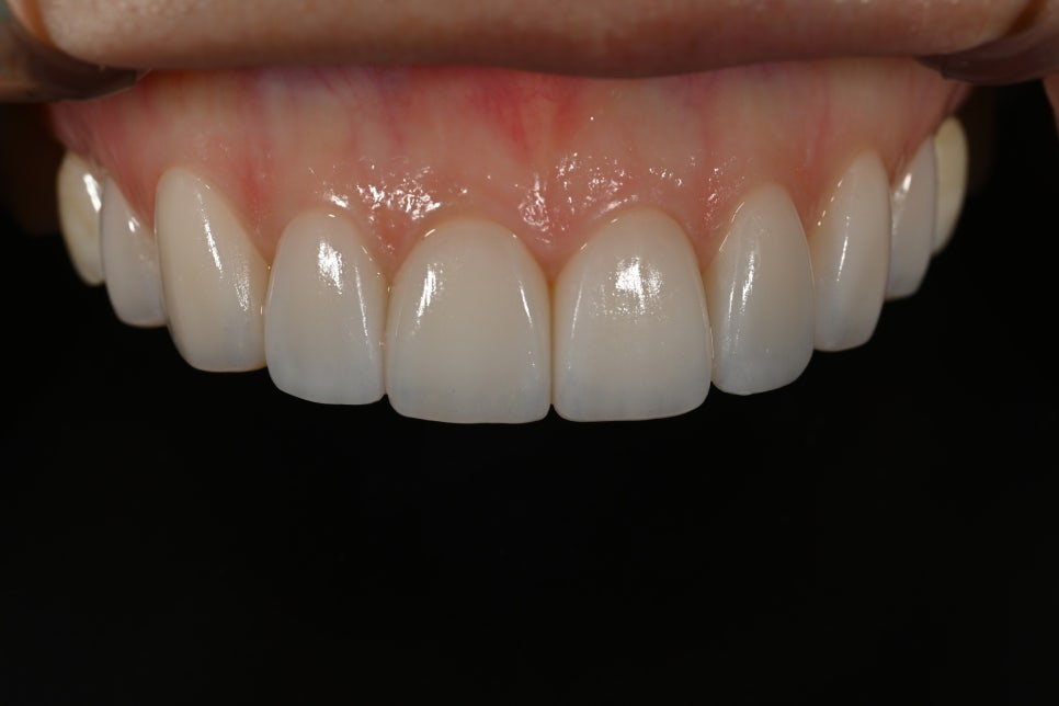
Color design that creates naturalness
What matters in laminates is
not "how white they are."
It is "how natural they are."
In this case as well,
a color tone similar to natural teeth was achieved.
Obzero Pure is
a treatment that expresses "light and depth" rather than color alone.

The treatment process refined down to the details
Even after treatment, this patient repeatedly underwent
length adjustment
smile line modification
bite adjustment
to improve the level of completion.
The reason this process is important is

that laminates are not a treatment that ends in one step,
but rather a "treatment completed together with the patient."
Through this detailed adjustment process,
Seoul Ob Dental Hospital completes a natural-looking result.
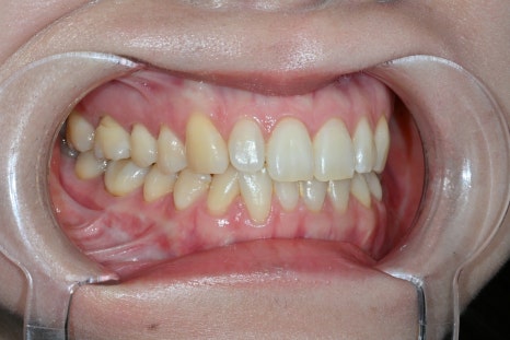
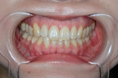
Changes after treatment
<BEFORE>

<AFTER>

After treatment, the patient experienced
a natural smile
a softer change in impression
greater satisfaction in photos
In particular, there were many comments like
"I can't tell that they had laminates"
"It just feels like they became prettier."
This is exactly the result of
Obzero Pure Laminates.
Recommended for people like this

When you want to improve your image naturally
When overdone laminates feel burdensome
When you are concerned about the shape and proportions of your front teeth
When you want aesthetic treatment that does not look obvious
Obzero Laminates are
a treatment that creates "the feeling of being naturally beautiful, not styled."

Laminates are
not a simple procedure.
Design, material, fabrication, and detail
determine the outcome.
Seoul Ob Dental Hospital
👉 three-way collaboration with prosthodontic specialists
👉 in-house dental laboratory fabrication system
👉 precise design process
creates natural, high-quality results.
Obzero Pure Laminates
are the treatment that best shows that result.

#ObzeroLaminates #ObzeroPure #Laminates #FrontToothLaminates #DentalAesthetics #SongpaGuDentist #JamsilDentist