
An implant is a treatment that restores tooth function
when a tooth has fallen out.
In particular, front tooth implants are
important not only for chewing function,
but also for how they look when you smile,
so they must be carried out with greater precision.
Implant prices vary depending on each person's condition,
and at an implant dental clinic, treatment is tailored
based on the condition of the teeth and gums.
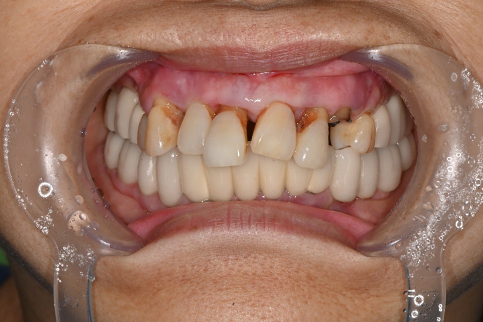
What problems arise when a front tooth is missing?

This patient visited us with several upper front teeth
missing.
If front teeth are missing,
being self-conscious when smiling
unnatural pronunciation
difficulty eating food

These problems can occur.
So rather than simply replacing one tooth,
treatment is needed to restore the overall appearance naturally.
How are front tooth implants performed?

If the front tooth condition is poor, the existing tooth is removed (extracted)
and the implant is placed in that space.
In this case,
implants were placed in the four front tooth areas.

Front teeth often have thin bone,
so bone reinforcement treatment was also performed.
The reason this process is important is
so that the result looks more natural later.
Why front tooth implants are more difficult
Implants for front teeth are much more difficult than those for molars.
Because
the gums are visible as they are,
a difference in color is easier to notice,
and left-right symmetry is important.

So front tooth implants can be considered
an “esthetic treatment.”
Implants take time

An implant is not a treatment that ends right after placement.
It needs time to firmly bond with the bone.
Usually, after waiting about 3 to 4 months,
the next stage of treatment begins.
This process must go well
so that the implant does not loosen and can be used for a long time.
The final stage is “making the tooth”

The final step of implant treatment is
the process of making a prosthetic restoration that looks like a real tooth.
At this stage, what matters is
whether the color looks natural,
whether the shape feels awkward,
and whether it is comfortable when chewing.
In this patient’s case as well,
there was a request to “make it look natural,”
so the brightness and shape were adjusted to finish the treatment.

Why the molars also need to be aligned

It does not end with aligning only the front teeth.
Only when the molars are also aligned
can the mouth be used comfortably overall.
Because much of the chewing force comes from the molars,
balance is very important.
Why implant prices differ

Implant prices differ from person to person.
This is because they vary depending on
whether it is a front tooth or a molar,
whether there is insufficient bone,
how many implants are needed,
the materials used
So the exact implant price is
best confirmed after a consultation.
The treatment approach at Seoul Ob Dental Hospital

Seoul Ob Dental Hospital
has a surgical specialist directly perform the implant procedure,
a prosthodontic specialist create the tooth shape,
and an in-house lab produce it immediately.
Simply put,
it is a method where the surgery is not separate from the tooth,
but is designed together from start to finish.
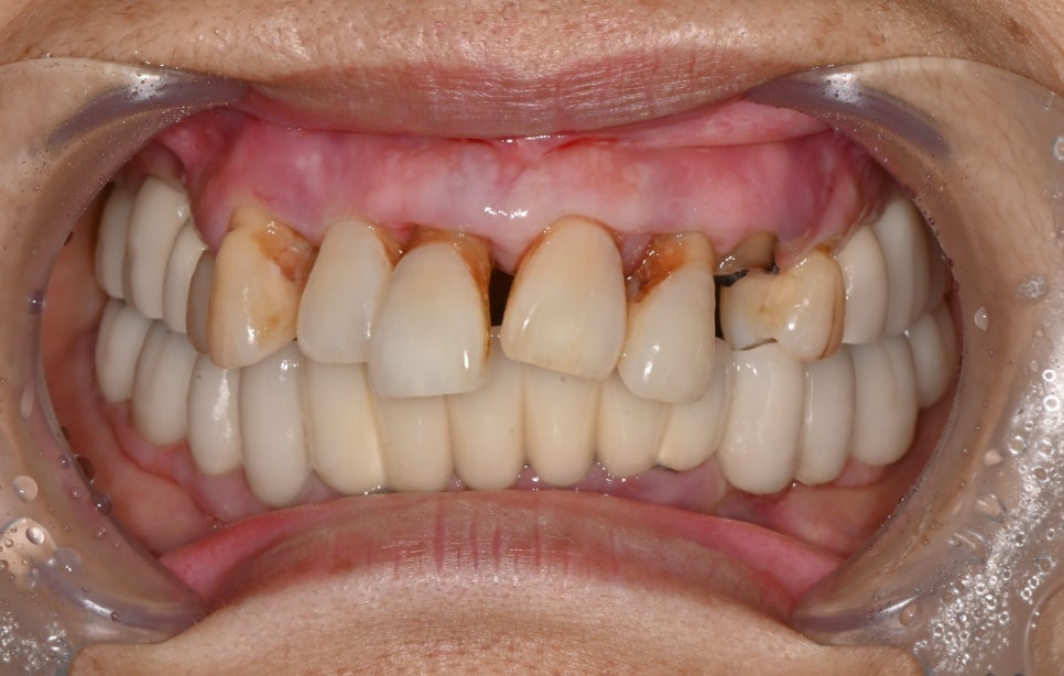
Changes after treatment
<Before treatment>

<After treatment>

After treatment, the patient
was able to smile naturally, eat more comfortably,
and pronunciation improved.

Front tooth implants are not just a simple treatment,
but one that restores both function and esthetics.
Implant price is important,
but what matters more is how naturally and well it is done.
If you are concerned about a front tooth,
it is best to set up a treatment plan through an accurate diagnosis.

#임플란트 #임플란트가격 #임플란트치과 #앞니임플란트 #어금니임플란트 #송파구치과 #잠실치과