
Tooth shaping and laminate veneers are not simply treatments that
make teeth whiter,
They are aesthetic treatments that improve
the shape, length, and alignment of the teeth as well.
Because the front teeth have a big impact on a person’s impression,
a person’s image often changes naturally
through tooth shaping.


The price of tooth shaping and laminate veneers varies depending on the individual’s condition,
and at a dental clinic that specializes in tooth shaping,
it is important not just to make the teeth look pretty,
but to create results that harmonize with the face.
A patient in their 20s with concerns about their teeth

This patient visited us because they were concerned about the shape of their teeth
and their overall appearance.
Rather than simply whitening the teeth,
they wanted a natural and tidy look,
so comprehensive tooth shaping treatment was needed.
Why we proceeded with Obezero laminate veneers


This case
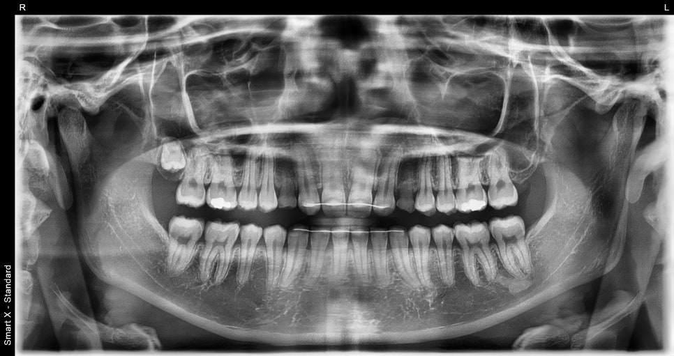
was treated with 16 Obezero laminate veneers.
Obezero laminate veneers make it possible to achieve
Natural design
Thin and precise fabrication
Customized color expression
The key is not just white teeth,
but “teeth that look naturally like my own.”
A collaborative system of three prosthodontic specialists

Tooth shaping is not a simple procedure,
but a treatment in which planning is important.
Seoul Obeu Dental Hospital
provides treatment through a collaborative system of three prosthodontic specialists.
A prosthodontist is a specialist who designs
the shape, length, color, and occlusion of the teeth.
That is why
the naturalness and quality of the result are different.
Introduction to the prosthodontic medical team

Seoul Obeu Dental Hospital
is composed entirely of three prosthodontic specialists.
🔹 Director Park Ji-young (Prosthodontist)
→ Values natural and soft aesthetic results,
and is strong in designs that harmonize with the face.

🔹 Director Jang Won-woong (Prosthodontist)
→ A prosthodontist educated at Seoul National University,
strong in precise prosthetic fabrication and treatment that also considers occlusion.

🔹 Director Park Myeong-hyeon (Prosthodontist)
→ Values detailed form and balance,
and focuses on creating natural and stable results.
“Teeth shaping designed together by three prosthodontists”
This is the biggest differentiating point.
The tooth shaping process proceeds like this

Checking the condition of the teeth and taking photos
Line correction through gum contouring
Fine adjustment of the tooth surface
Scanning and design
Wearing temporary teeth
Final laminate veneer bonding
Through this process,
we complete a natural and precise result.
The key to Obezero is naturalness

In this case as well,
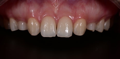
- front teeth were brightened
- adjacent teeth were made to look natural
- overall balance was adjusted
By adjusting the color this way,
we completed “undetectable tooth shaping.”
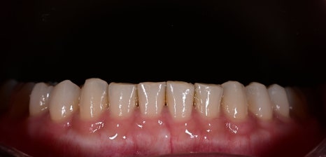
Detailed adjustments after treatment

Laminate veneers are not a treatment that ends in one step.
The patient also mentioned that
“It looks a little long.”
“It catches when I chew.”
so we readjusted it through occlusal adjustment.
These detailed adjustments determine the outcome.
Why laminate veneer prices vary

Number of teeth
Whether gum contouring is performed
Type of laminate veneer
Treatment difficulty
These factors affect the price.
As in this case, when the full treatment is performed,
the treatment scope can become wider.
Changes after treatment

After treatment, the patient achieved
brighter teeth
A natural smile
A more polished image
In particular,
they said, “The veneers don’t look obvious.”
Obezero laminate veneers are not simply a treatment that
changes the teeth,
but a treatment that changes the overall impression.
The price of laminate veneers is important,
but what matters more is that the result looks natural and well done.
Seoul Obeu Dental Hospital
uses a collaborative system of three prosthodontic specialists
and the Obezero laminate veneer system
to create a result that looks “naturally beautiful, as if it had always been that way.”

#toothshaping #toothshapingprice #toothshapingclinic #obezerolaminate #laminateveneers #gumcontouring #songpaguclinic #jamsilclinic