Hello,
I’d like to introduce a no-prep veneer treatment in Apgujeong.

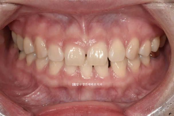
23.12
The patient visited because the front teeth were spaced apart and wanted no-prep veneers.

23.12
In addition to the gaps, the tooth shape was not attractive and there was also an issue with the color, so we decided on no-prep veneers rather than orthodontic treatment.
The gum line was not symmetrical left to right, and the teeth were short, so we also decided to perform gum contouring before the veneers.
Let me briefly talk about tooth shape here.
After scanning the teeth with an oral scanner and simulating the result of closing the spaces with orthodontic treatment,

Left: before treatment / Right: post-treatment simulation
A simulation like the one below appears.
The spaces between the teeth were eliminated with orthodontics, but the teeth still look spaced apart, right?
That is because the teeth are conical and narrow toward the bottom.
In cases like this, even if the spaces are brought together with orthodontics, satisfaction is not very high, so I recommend no-prep veneers from the start.

23.12

Before / after gum contouring 23.12
After that, while the gums were healing, we began preparations for fitting.
Canines are naturally a shade yellower than the front teeth.
For this reason, no-prep veneers are usually recommended for at least six teeth, including the canines.
However, the patient wanted to have only the four front teeth done, excluding the canines.
So, through fitting, we decided to determine the number again after considering the appearance when only the four front teeth were done and the color difference from the canines.

23.12
This is the appearance one week later after fitting the four front teeth.
The color difference from the canines was not as severe as expected, so we decided to proceed with only four teeth as the patient wanted.
Also, since the patient felt the edges of the front teeth looked blocked off, we revised the shape and adjusted the length so it would harmonize with the lip line when smiling.
Once the shape the patient liked was completed, we moved on to fabricating the no-prep veneers.
Now, after waiting 10 more days, the veneers in the shape the patient wanted were completed.
This is why we do a fitting in advance to check.

24.01
At last, the patient’s desired veneers arrived,
and this is the result after only surface preparation of the teeth without any tooth reduction.
Even from the front,

23.12~24.01
it looks natural from the side as well.
Because the canines are the patient’s original teeth, the tone is darker, but for now we decided to address that with whitening, and if the patient wants later, no-prep veneers can always be added to the canines as well.

23.12~24.01

23.12~24.01

23.12~24.01
These are the results from the first visit, immediately after gum contouring, and after the veneers.
It is a satisfying treatment that is not excessive and looks naturally beautiful.

