Hello.
This is an orthodontic clinic in Apgujeong, sharing a review of gummy smile correction.
The main goal of protrusion correction is to move the front teeth backward.
However, not only solving simple protrusion but also improving detailed factors such as buccal corridor and gum exposure leads to better results, and patients are more satisfied after orthodontic treatment is completed.
If your gums show a lot when you smile, or if you are self-conscious about rabbit teeth, please visit a nearby orthodontic clinic.

23.06~25.01
Today’s post will be helpful if you read it with a focus on the changes in the gummy smile with a lot of gum exposure and the buccal corridor.
I will explain how the gummy smile and buccal corridor affect smile aesthetics.
This patient came in June 2023 for protrusion and alignment improvement.

23.06
A mismatch in the midline is visible.

Because the upper front teeth protrude, the gap with the lower teeth is large.
If the front tooth bite is in this condition, the lips cannot close comfortably.
This can cause lip incompetence.

23.06
Because the front tooth protrusion was severe, the treatment plan was set as extraction orthodontics with removal of the two upper premolars, and treatment began.
At the initial examination, it was expected that if the lower lip were pulled back too much, the appearance would not be good, so for the lower arch the plan was to remove the impacted wisdom teeth without extracting the premolars, place mini-screws, and move the teeth back slightly.
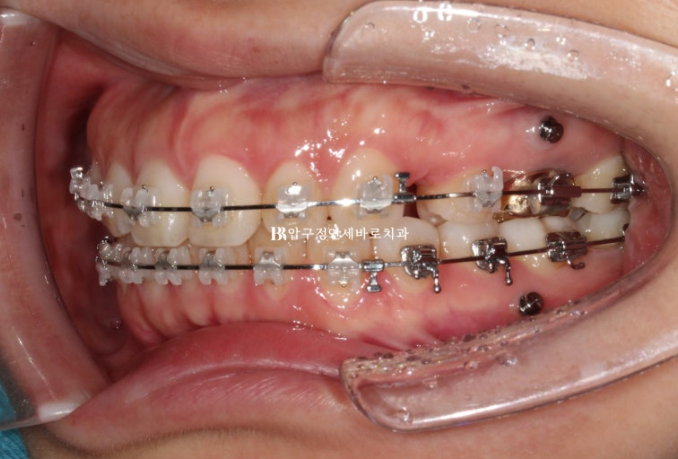
Clippy-C orthodontics was chosen.

23.11
The procedure was carried out after placing mini-screws.

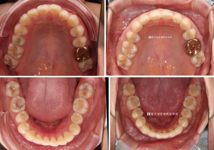
24.03
About half of the extraction space remained at this point.

24.03
Orthodontic treatment was carried out for 1 year and 8 months, and treatment was completed in January 2025.

25.01
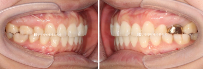
Now the midline is aligned,

25.01
and the molar bite is also good.

23.06~25.01
This is the state with all retainers in place.
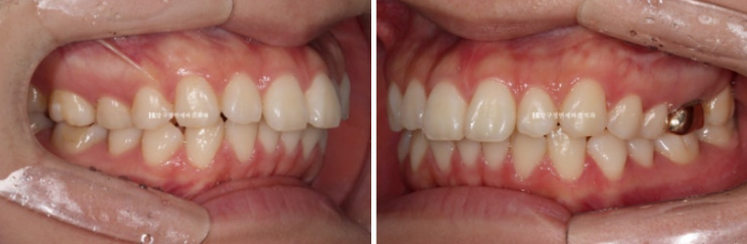
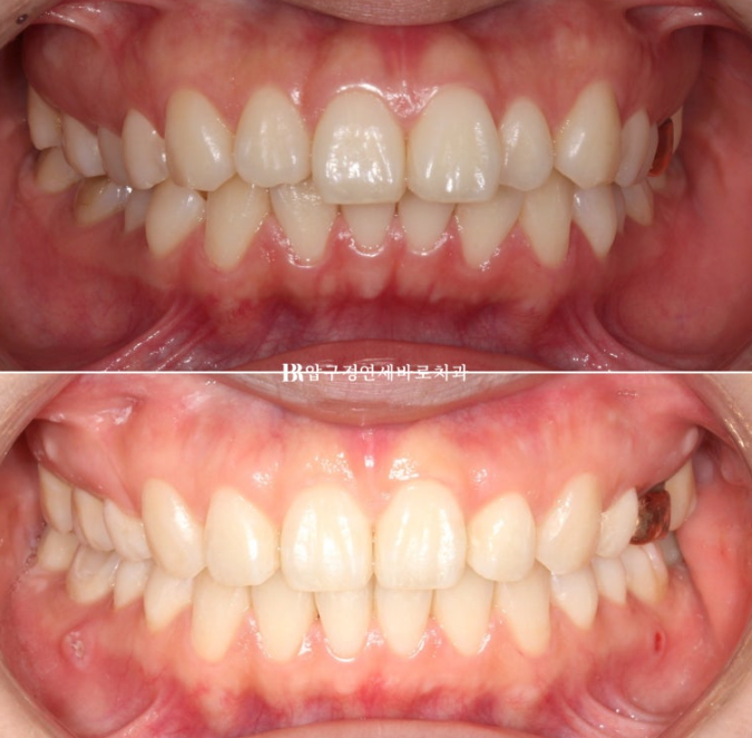
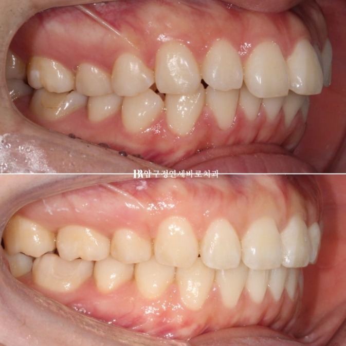
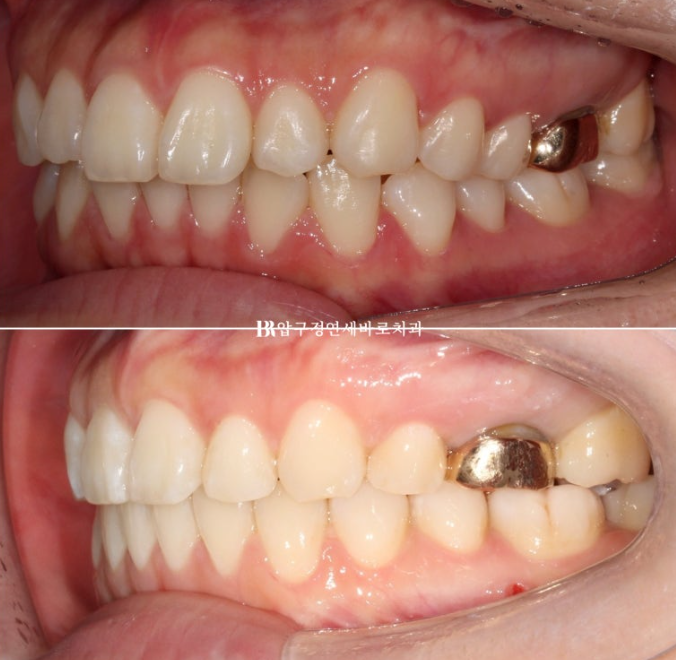
Let’s look at the before-and-after comparison photos.

23.06~25.01
Improvement in the midline and overbite

23.06~25.01

23.06~25.01
The goal of treatment is a tight, seamless bite.

23.06~25.01
As the upper front tooth protrusion was resolved, the gap between the upper and lower front teeth decreased.

23.06~25.01
If the upper front teeth protrude severely, the lower lip ends up resting between the upper and lower front teeth, and when the mouth is closed, the upper front teeth show slightly through the lips.
With the protrusion resolved, the lips that could not close comfortably now close easily.

23.06~25.01
Lip incompetence was resolved.

23.06~25.01
Although this was extraction orthodontics, the fullness of the lips was well preserved.
If the lower premolars had also been extracted, the lower lip would likely have felt overly retracted.

23.06~25.01
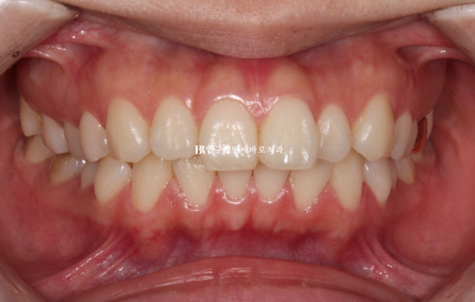
The gummy smile was also resolved, and the absent buccal corridor was created.
One change that came with the buccal corridor is that the smile changed from a somewhat cramped look, where the gums and teeth seemed tightly packed when smiling, to a smaller and cleaner-looking smile.

23.06~25.01
The protruding appearance of the front teeth was resolved.

23.06~25.01
There is no sign of root resorption, and root parallelism is also good.
The total treatment period was 1 year and 8 months, which is under 2 years.
I hope this post helps those who are considering extraction orthodontics for protrusion but are worried about changes in their lips and are hesitant.

