Hello,
This is Invisalign Lite orthodontic treatment for middle-aged patients in their 50s.
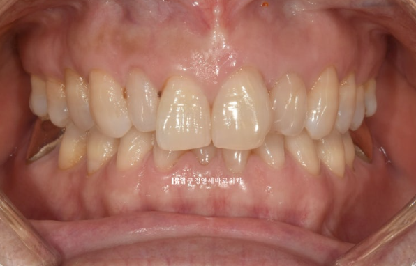
Today, the patient in their 50s whom I’d like to introduce completed both partial alignment of the front teeth and no-prep laminate veneers.

23.09~24.08
I’ll show you how the combination of partial alignment of the front teeth and no-prep laminate veneers can lead to the healthiest and most aesthetically perfect treatment result.
This patient came in for treatment because the two front teeth had come down and were spaced apart.

23.09
Because the two front teeth had come down significantly, the overbite was severe.

When there is an overbite, every time you bite down, the lower front teeth push the upper front teeth forward from behind, gradually creating more space between the upper front teeth and causing them to protrude.

23.09
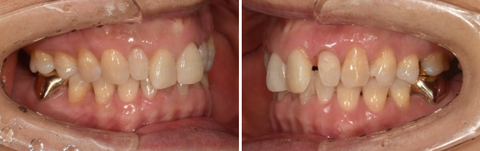
The blue arrow area is a peg lateral tooth.
On one side, the spaced area had been temporarily filled with resin.
Since orthodontic treatment was planned, the resin used to fill the space was removed and a scan was taken for appliance fabrication.

23.09
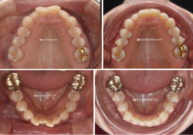
The lower teeth were also crooked.
Originally, the plan was to restore the peg lateral tooth’s size with laminate veneers after orthodontic treatment.
As mentioned in a previous post, this patient’s plan also changed midway, and we decided to place no-prep laminate veneers on all eight front teeth.
For the orthodontic method, Invisalign Lite was recommended for aesthetic reasons.

24.01
This is what it looked like during the first set of aligners.
If you look closely, you can see that the bilateral peg lateral teeth are floating away from the aligners.
The reasons for this mismatch with the attachment device are as follows:
Not wearing the aligners diligently, or
Wearing them diligently but not seating them properly so they fit snugly, or
Wearing them very well, but due to various factors, the force is not being transmitted properly to the teeth.
These are the three reasons.
Among them, the reasons for number 3 are various: when tooth height is short, or when the width of the tooth from side to side is small, as with peg lateral teeth or lower front teeth.
The flatter and wider the tooth is, the greater the area covered by Invisalign.
Rotation and extrusion are movements that are difficult to achieve well with Invisalign, and the larger the area covering the tooth, the better the force transmission, which helps rotation and extrusion as well.
However, if the tooth is narrow and close to a cylindrical shape without flat surfaces, rotation and extrusion become difficult.
That is why rotation and vertical control often do not work well for peg lateral incisors or lower front teeth.
This is why different appliances are recommended depending on each person’s tooth shape, even for similar malocclusion.
This patient’s peg lateral teeth also were not being held well by the aligners.
This part was addressed again with additional appliances.

24.03

24.03
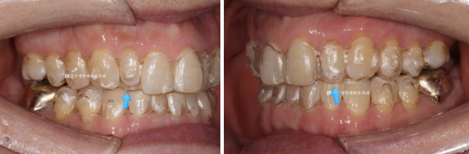
The alignment improved by about 60%.
To achieve the remaining 40%, additional appliances were made in March 2024.
It takes about a month from ordering the additional appliances to receiving them.
During that month, the last set of 14 aligners was maintained by wearing them only while sleeping.
Additional appliance treatment began in April 2024, and after wearing 14 more aligners allowed by Invisalign Lite over the next four months, orthodontic treatment was finally completed in August.

The lowered front teeth were brought back to their proper positions, and the overbite improved significantly as well.
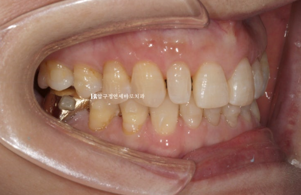
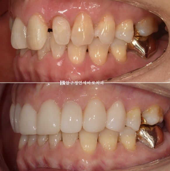
For the no-prep laminate veneers, the attachments on the eight upper front teeth were removed first.

23.09~24.03
The alignment was well established.

24.08
You can see spaces on both sides of the peg lateral teeth.
The intended spaces for restoring tooth size were created properly.
We waited 10 days for the no-prep laminate veneers to be fabricated, and finally they were bonded to the eight upper front teeth.
If teeth whitening is done right before bonding,
it can minimize the original yellowish tooth color from showing through.
This patient also had tooth whitening before the no-prep laminate veneers were bonded, making the underlying teeth whiter.

24.08
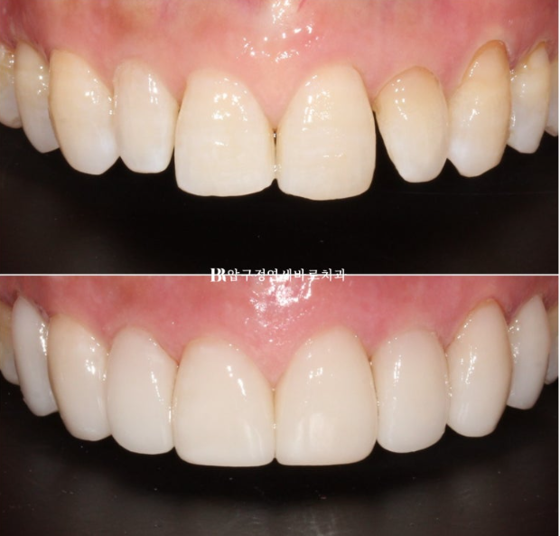
The milky, translucent look is so natural.

24.08
In line with the patient’s desire for a natural look, the tooth shape was designed with as little artificial appearance as possible.
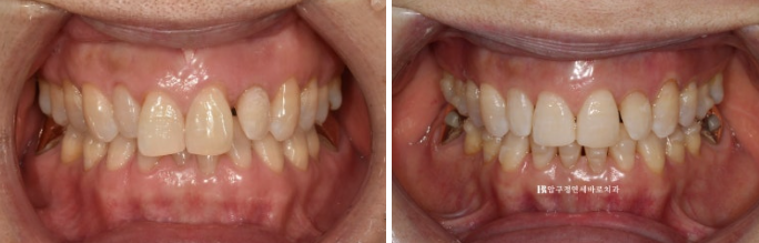
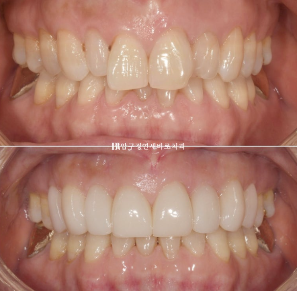
Here is a comparison before orthodontic treatment and after completing the no-prep laminate veneer treatment.

23.09~24.08

23.09~24.08


23.09~24.08
Just as wrinkles increase on the face, our teeth also show signs of aging.
The gums gradually recede a little, there are more microcracks in the teeth, and there are many worn and chipped areas as well.
The color also becomes a bit darker.
Just as skin can be lifted, teeth also need anti-aging through laminate veneers.
However, this anti-aging does not need to compromise dental health by filing teeth down.
Even if it is a little more inconvenient and costly, try finding a nearby dental clinic where no-prep laminate veneers are possible.

Even though these are no-prep laminate veneers, the teeth do not look thicker than they did at the beginning, right?
Thank you for reading this long post today.
I hope it was helpful information for those who are 고민하시는 분들에게. I’ll end the post here.

