Hello,
This is Apgujeong Orthodontic Clinic.
Today, I will share a story about orthodontic treatment in your 40s.
When people reach their 30s and 40s, orthodontic treatment becomes a burden for anyone.
In particular, if you are in a situation where you need to extract premolars for orthodontic treatment because of protrusion or crowded teeth, it can feel even more burdensome.
Extraction-based orthodontic treatment usually takes about 2 years, but considering middle age, it could take more than 2 years.
It can also feel more burdensome because it is a period when your gums may feel weaker.

24.02~24.12
Today, I will introduce a case in which the treatment goals were lowered in a case requiring extraction, and simple orthodontic treatment was completed within 10 months using Invisalign Lite.

24.02
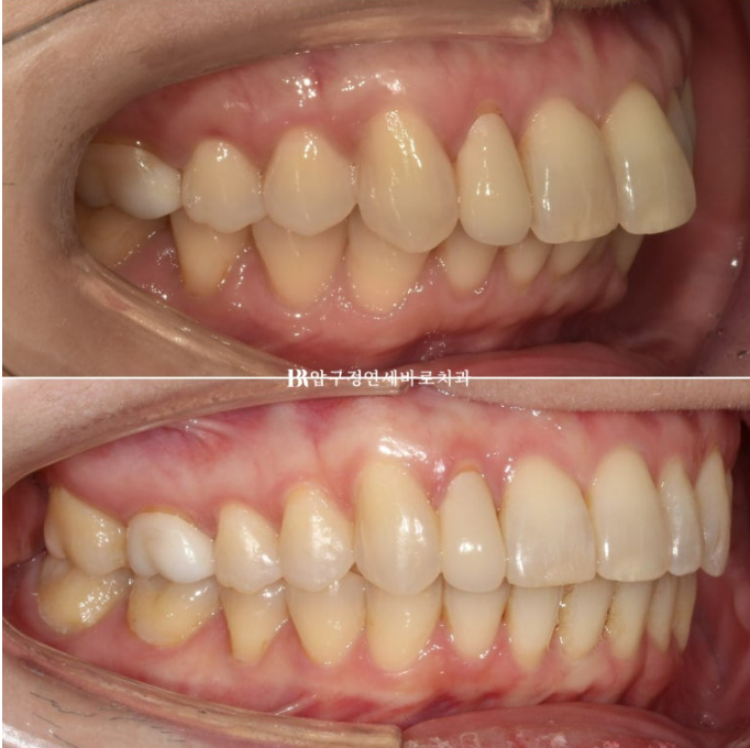
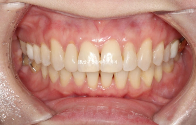
What the patient wanted to correct was the upper front tooth on the patient’s left side, which had come down and protruded.

24.02
The upper teeth cover the lower teeth too much, showing a deep bite, or overbite.
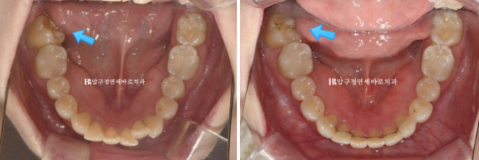
The large molar at the far back indicated by the blue arrow is a crossbite, where the upper and lower teeth bite in an offset relationship.

24.02
From the side, the protrusion of the front teeth is visible.

24.02

24.02
You can see that the second molar has tipped toward the tongue side.
Because of this, it did not properly occlude with the opposing upper second molar, resulting in a crossbite.

A state in which the teeth bite in an offset way like this and do not align properly is called a crossbite.
To completely improve the molar relationship and protrusion, full orthodontic treatment would be necessary, along with premolar extraction, and the treatment period would take at least 2 years.
The patient’s needs were only for the left front tooth, so they were not willing to spend that much time and money.
With Invisalign Lite, we began treatment with the plan to give up on what had to be given up, correct the front teeth within a possible range, and try to improve the crossbite and protrusion as much as possible.
From March to July 2024, treatment continued for 4 months by sequentially changing the first set of 14 aligners at 7-day intervals.

24.07
To ensure a clear improvement in the crossbite, a mini screw was placed in the palate.

24.07
Likewise, to firmly upright the tipped back molar, a mini screw was placed.
A total of 2 mini screws were placed.
Invisalign Lite treatment is originally intended for mild malocclusion, so placing mini screws is not common.
They were placed to achieve the maximum effect within the allowed period.

24.07
To further improve the remaining issues, additional appliances were made, and this is the result after wearing the second set of 14 aligners for 4 months from August 2024 to December 2024.

24.12
During the second set, to upright the tipped molar with stronger force, a partial MTA appliance was attached and a wire was inserted.

24.12
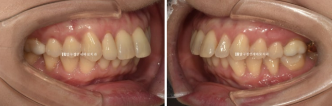
This is the result after treatment was completed.
The deep bite of the front teeth has improved.
The size of the black triangles can be reduced through interproximal reduction, but since excessive interproximal reduction is not advisable, a small amount of black triangle remained.
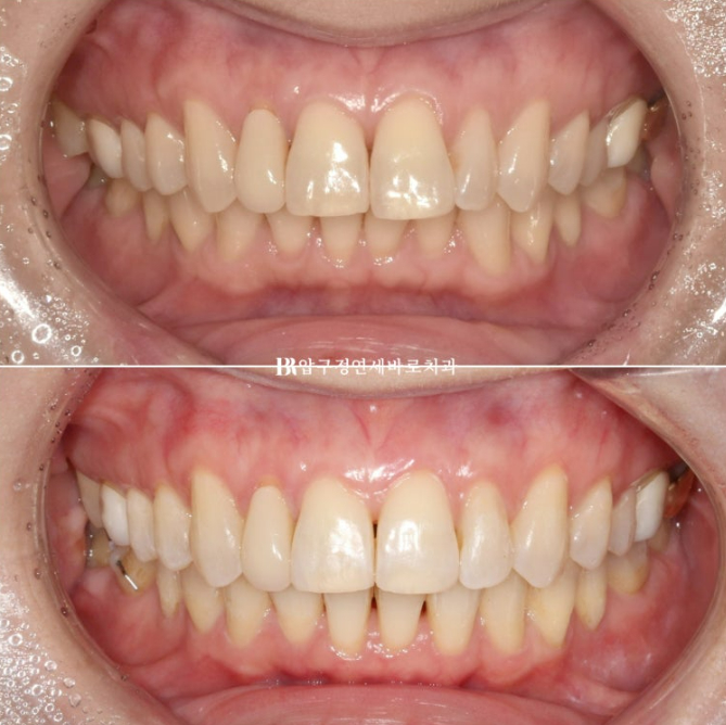
Orthodontic treatment in your 40s with Invisalign Lite
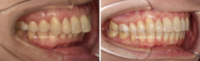
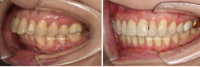
Before / after photos.
Left _ Before treatment / Right _ After treatment

24.02~24.12

24.02~24.12
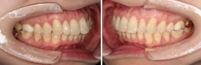
Improved protrusion of the front teeth through interproximal reduction

24.02~24.12
Improved alignment of the front teeth and improved crossbite

24.02~24.12
The tipped molar was properly uprighted.
Improvement in the alignment of the lower front teeth through interproximal reduction

24.02~24.12
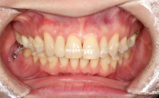
Orthodontic treatment in your 40s with Invisalign Lite: improvement of overbite and the midline
As the protrusion of the front teeth was relieved and the gap between the upper and lower teeth decreased, closing the lips became much more comfortable.

24.02~24.12

24.02~24.12
If the patient wears the Invisalign aligners diligently and the attending doctor makes various efforts such as mini screws or partial mini tube attachments, then by setting a treatment plan that gives up on what must be given up, good results can be achieved in a short period even with Invisalign Lite.

