Hello.
This is Apgujeong Invisalign Dental Clinic.
Today’s post is about Invisalign Lite treatment.

24.02~24.11
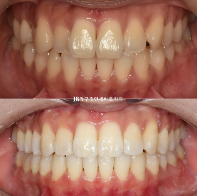
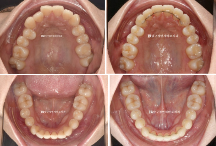
This patient visited us to straighten crooked teeth.

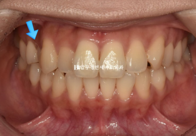
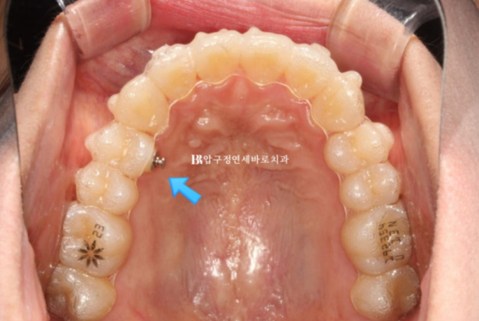
The tooth indicated by the blue arrow is positioned toward the palate, showing a crossbite in which it bites opposite the lower teeth.

One premolar is positioned inward.
If it were not for this part, we would have recommended only anterior partial orthodontic treatment, such as MTA mini-tube 2D orthodontics, which costs less than Invisalign. However, the malocclusion in the molar area requires full orthodontic treatment.
For a malocclusion that can be resolved in 9 months, Invisalign Lite is the right choice.
Invisalign Lite is the best treatment method for malocclusion that can be corrected within 14 aligners.
There is also one opportunity for additional fabrication (remaking).
Invisalign Lite is usually said to have a total treatment period of 9 months, and this patient also took exactly 9 months.

24.07
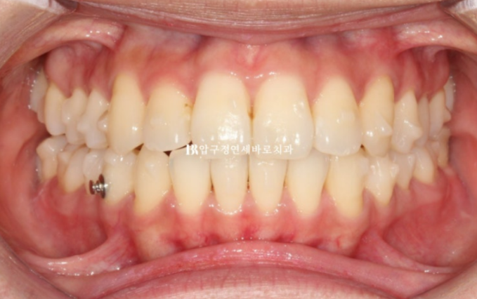
The aligners were received in March, and the patient started wearing them from stage 1, changing them at one-week intervals. All 14 aligners were worn by July.
There was a slight mismatch in the midline, so we decided to correct it with additional aligners.

24.07
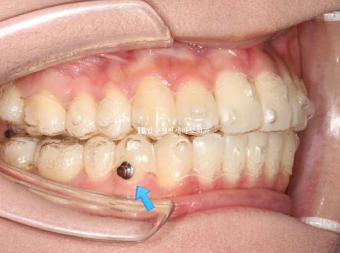
The blue arrow indicates the elastic hook used to correct the crossbite.
And this part

24.07
If elastic bands are hooked between this part and this part on the palate, it helps relieve the crossbite even more.
The additional aligners were worn for three months, from August to October, and the treatment was finally completed.

24.11
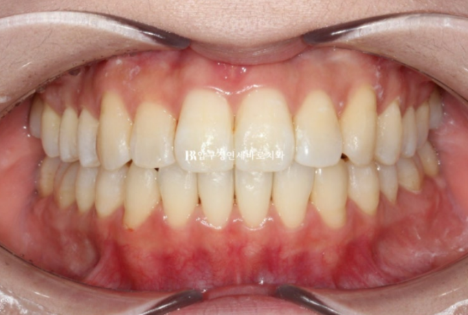
The midline matches precisely.

24.02~24.11

24.02~24.11
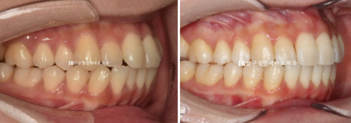
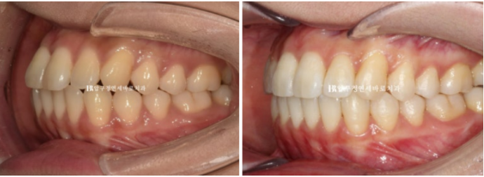
The molar bite is also good.

24.02~24.11
As the molars aligned, the shape of the dental arch became more attractive.

24.02~24.11
The neater smile stands out.

24.02~24.11
The total treatment period was 9 months, but excluding the time spent waiting for delivery after ordering the aligners, the actual time the aligners were worn was 7 months.
It is important to make a confident diagnosis about whether this is a case suitable for Invisalign Lite, which can produce good results in a short period of time and at a lower cost.

