Hello,
This is Apgujeong Orthodontic Dental Clinic.
Today’s post is for people who feel stressed because of white spots on their teeth.
This is a review of icon and resin treatment for white spot lesions.
The mottled white spots on the front teeth are called white spot lesions.

24.12
There are two main treatment methods for white spot lesions.
If the spots are shallow and light, treatment with Icon (product name) can be performed without grinding the tooth.
Are you curious about how Icon works?
The cause of white spot lesions is the reflection of light from tiny pores on the tooth surface. This method opens those micro-pores and fills them by letting a very thin resin with even finer particles flow in.

However, if the spots are deeper and darker in color, it is better to grind away the spot area and fill it with resin.
Many people worry that grinding the spots will be bad for the teeth, but the spots are limited to the enamel layer within the outermost 1 mm, so the grinding depth is very shallow.
So, to reassure patients, after grinding the spots and before filling them with resin, we often show the patient the actually ground area in a mirror.
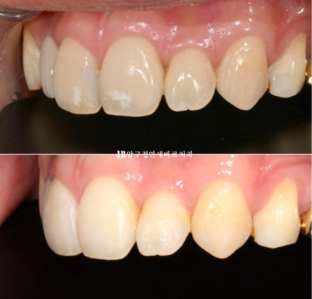
Today, I will share the treatment story of a patient whose white spots had both of these types mixed together.

24.12
White spot lesions can be seen here and there.
Some areas are darker, and some are lighter.
The darker areas are deeper, so the effect of Icon is reduced.
It is better to treat them with resin from the beginning.

24.12
This is the area to be treated with Icon.
The lighter white spot areas are worth trying with Icon.

24.12
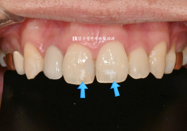
The clearly dark spots on the two front central incisors were expected to respond only minimally to Icon, so resin was recommended.

While we were at it, we also decided to replace the old grayish resin from a previous treatment.
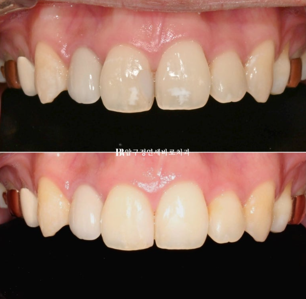
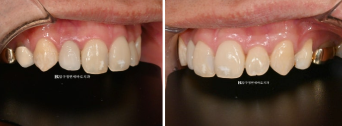
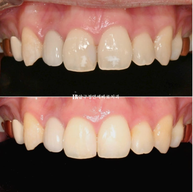
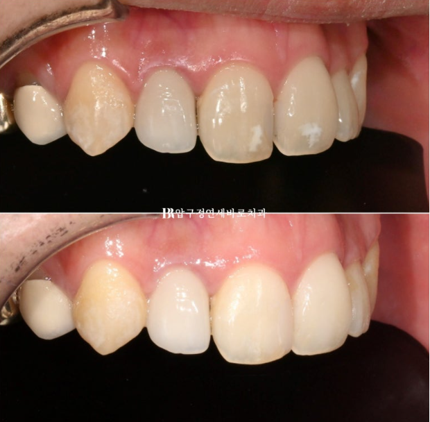
Here are the before-and-after photos.

24.12
The areas treated with Icon no longer show the spots, or they have become lighter.

The wide white spot on the canine became lighter after Icon treatment, but about 50% of it remains.
However, because the area was too wide, grinding it down for resin treatment would have required removing a large amount, so we decided to finish at this stage.


24.12
Today, we looked at treatment methods for white spot lesions.
If you are worried about white spots on your front teeth, I hope this post helps you visit a nearby dental clinic.
If you have any questions, please feel free to contact us anytime.

