Hello,
This is Apgujeong Orthodontic Clinic.
Today, I’d like to share a growth orthodontic treatment story for a child with skeletal Class II malocclusion,
that is, treatment for a retruded chin.

In cases where people visit an orthodontic clinic because of protruding upper teeth, the upper teeth are not always the problem.
Sometimes the lower jaw is small, creating a larger gap between the upper and lower teeth, which makes the upper teeth appear protruded.
This child also came in for protrusion correction, but the cause was a small lower jaw, commonly referred to as a retruded chin, so we performed growth treatment for the retruded chin.

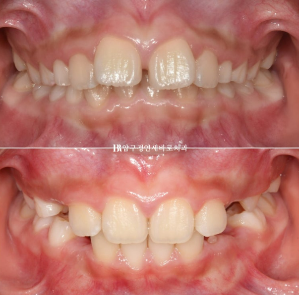
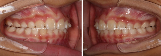
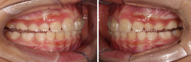
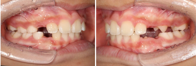
23.04
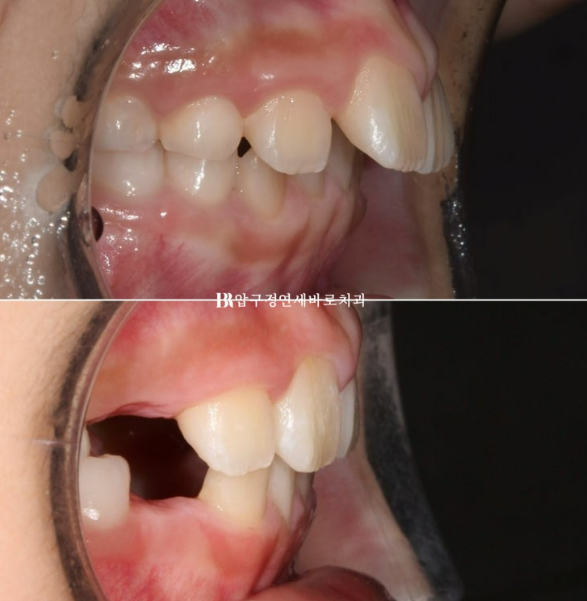
The first thing that stands out is the gap between the front teeth, but this gap may close as the canines erupt, so it is not a major concern.
More notably, the upper teeth overlap the lower teeth too much, so the lower teeth are barely visible.
This is called deep bite.
There is also a midline discrepancy, where the upper and lower dental midlines do not match.

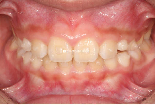
23.04
From the side, the upper teeth appear severely protruded.
However, skeletal analysis shows that this appearance is due to the small lower jaw.

23.04
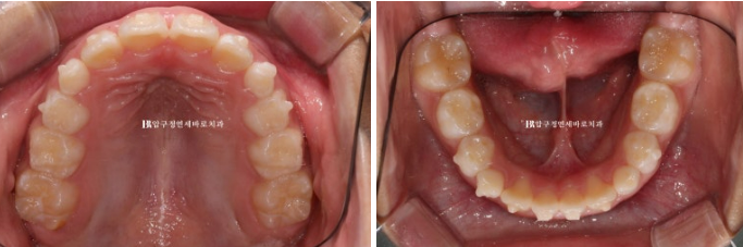
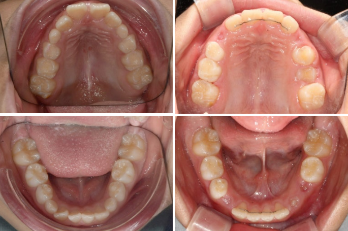
The palate is narrow and the front teeth are crooked.
A hand bone growth plate X-ray showed that the peak growth period was still ahead.
After explaining Invisalign First treatment, we began treatment with the goals of arch expansion, tooth alignment, deep-bite improvement, and growth correction for the retruded chin.
In Invisalign First, there is a function called Mandible Advance, or MA, which is useful for treating a retruded chin.
It serves a role similar to orthodontic appliances such as activators, Frankel appliances, and Bionators, which control jaw position and growth.
The principle is that the Invisalign clear aligner develops a part called a wing, and as these wings interlock when biting, they guide the jaw into the proper position.
Its effectiveness is no less than that of conventional orthopedic appliances, and it may actually cause fewer side effects such as protrusion of the lower front teeth, so it is often used for retruded chin and asymmetry treatment.
In general, arch expansion, front tooth alignment, and deep-bite improvement are completed first, and then the MA phase begins in the middle of treatment.
From April 2023 to September 2023, the patient wore aligners from stage 1 to stage 25 for six months, completing arch expansion, front tooth alignment, and deep-bite improvement.

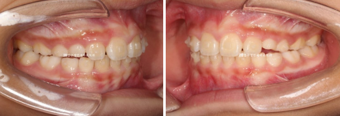
23.09
You can see the aligned upper and lower dental midlines and the improved deep bite.

23.09
The protruding front teeth also moved into place.

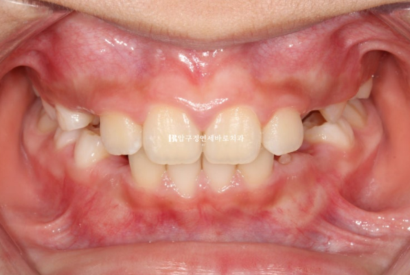
23.09
The narrow palatal arch became wider, and the front teeth became neatly aligned.

According to the ClinCheck treatment plan, this is the dentition expected at stage 25, and because the treatment progress was good, the actual oral condition looked very similar.
Now, the retruded chin growth correction begins in earnest.

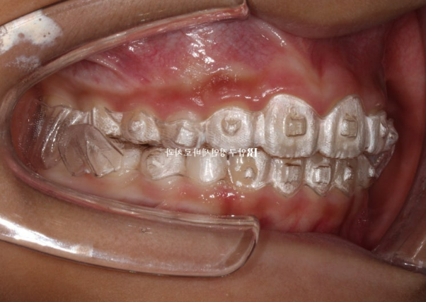
From stage 26 to stage 57, the MA phase guides the lower jaw position. Looking at the appliance, you can see blue-marked wings protruding in two pairs on the upper and lower parts.

23.09
In the mouth, it is actually implemented like this, and unless the lower jaw is brought forward to bite, the mouth cannot close because the wings interfere with each other.

23.09
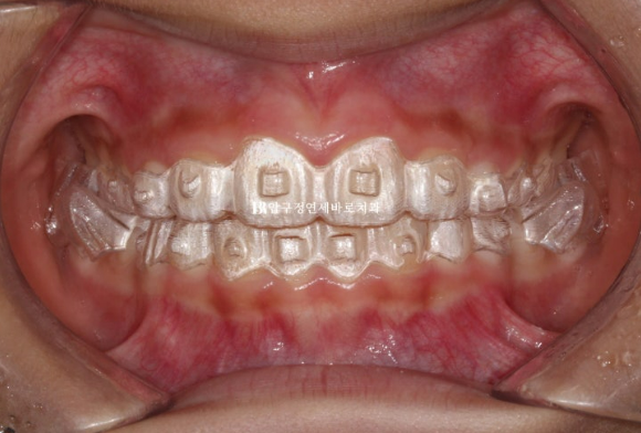
From the front, it looks like this.

24.02
This photo was taken midway through the six-month MA treatment.
During the MA treatment phase, the front teeth touch first while the molars remain open.
This is an unavoidable part of the process.
Later in the MA treatment, trimming the molar portion of the aligner allows the molars to touch naturally again.
There is another reason why the molar portion needs to be trimmed and worn during the latter part of MA treatment.
If treatment for the retruded chin has been successful, the jaw position should remain stable even without the wing portion of the appliance.
This is also to check that point.
If the wings are removed and the aligner is worn, meaning the part that helps bring the lower jaw forward is gone, and the jaw shifts backward again, then the MA phase will need to be continued longer.
For this patient as well, from the final aligners at stages 53 to 57, the molar portions were trimmed so that only the front tooth section remained.
After wearing all 57 aligners over a total of 15 months, including six months of orthodontic correction and nine months of MA, this is the result.

24.06

24.06
From stages 53 to 57, the last five aligners were worn with the molar sections trimmed to help stabilize the bite. Unlike the photos from last February, the molars now contact properly.
In addition, even after wearing the aligners with the wings trimmed off for more than a month, the lower jaw did not shift backward again or require retrusion correction, confirming that the lower jaw position was very stable.

24.06
Everything looks good, but we expected a slight lack of space for the canine eruption site, so we decided to make one additional set of appliances.
From July 2024 to January 2025, after wearing a second set of aligners for seven months to secure more space for the canines, treatment was completed.
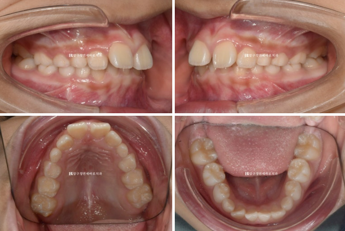
Here are the photos after treatment.

24.01

24.01
The molar bite is good, and the remaining primary teeth in between have mostly fallen out while permanent teeth are erupting.

24.01

24.01
Enough space was secured for the canines to erupt.
A wire retainer was attached to the four front teeth, and a removable appliance for space maintenance was also used to prevent the canine eruption space from narrowing again.

24.01
Retention is important in adult orthodontic treatment, but for children, because the oral environment changes rapidly as primary and permanent teeth are mixed together, careful retention is especially important.
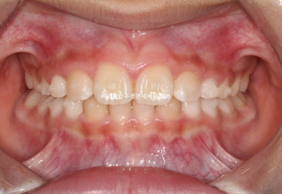
Now let’s look at the before-and-after comparison.
The total treatment period was 22 months.

23.04~25.01

23.04~25.01
Neatly aligned front teeth and sufficient space for permanent teeth

23.04~25.01
The protrusion of the upper teeth improved significantly.
It may seem as if the protruding upper teeth moved backward, but in fact, the upper teeth did not move backward;
rather, the lower jaw bone, which supports the lower teeth, grew and came forward.

23.04~25.01
Improved facial appearance

The ANB value, which indicates skeletal retrusion before treatment, was 6.1, but it became 3.9, within the normal range,
and the growth of the upper and lower jaws occurred in a desirable way.
Invisalign First clear aligner treatment can go beyond simply straightening the front teeth and can also handle complex skeletal issues.

