Hello,
This is Apgujeong Orthodontic Clinic.
Let me introduce orthodontic treatment for anterior crossbite and buck teeth.
Rather than applying a textbook standard of normal values uniformly to all patients, treating by considering each patient’s priority values and aesthetic criteria individually is called patient-centered treatment.
What happens if a textbook standard of normal values is applied uniformly to every patient?
<After orthodontic treatment, the doctor says everything looks normal on the X-ray, but I don’t like how my lips look>
Situations like this can happen.
Also, if the patient’s treatment goal is limited to the front teeth, I think it is also a skill to carry out the appropriate treatment within a limited period of time.

23.10~24.01
Of course, if everything is a perfect 100, that would be best, but if reaching 100 requires more than a year and a large cost, then a treatment plan aiming for around 80 points with less time and lower cost is also worth considering.
What is important here is understanding the patient’s needs and circumstances.
Let me tell you about such a case.
This patient is an overseas Korean living abroad.
I will share this orthodontic case for an overseas Korean living abroad.
A patient in their 40s visited for front-tooth orthodontic treatment.
They came to Korea once a year, and this particular stay in Korea was for 4 months.
For a young patient in their teens or twenties, 4 months is by no means an extremely tight period for front-tooth partial orthodontic treatment, but because there was also an anterior crossbite and because of the patient’s age, treatment had to be approached carefully.

23.10
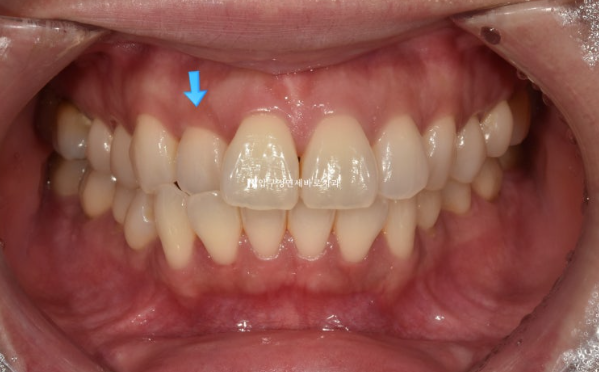
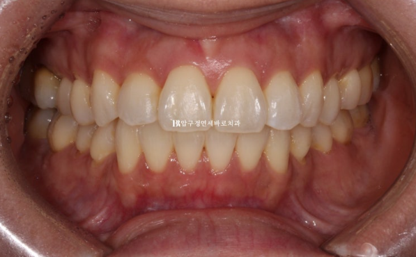
The blue arrow shows the front teeth biting in the wrong direction.

Because the teeth that bite in the wrong direction are positioned backward, the two central incisors appear relatively protruded.

23.10
The molar occlusion is in fairly good condition.
First, the patient’s request was, “I want at least the front teeth to be aligned during the 3–4 months before I leave the country.”
There are rotations and level differences in the premolars, but they are not functionally problematic, and the oral hygiene condition is not bad, so we decided to address those issues later with full orthodontic treatment when circumstances allow.
Since the patient can only come to Korea about once a year after leaving the country, we strongly asked them to come in at least once a year for regular maintenance checks even after the orthodontic treatment was completed.
We had 3–4 months, and although there was also an anterior crossbite, if we used all treatment elements that help resolve the crossbite, it was not impossible.
We planned and began treatment from the start with bite blocks so that the teeth biting in the wrong direction could move over without resistance.

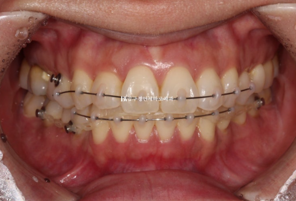
24.01
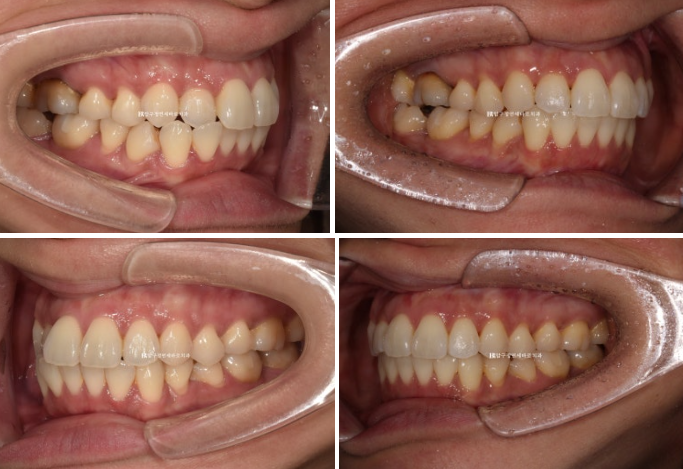
This is the appearance in the fourth month after treatment began.
Interproximal reduction was also performed for front-tooth alignment, and auxiliary appliances and elastic bands were used to eliminate the spaces that formed.

24.01
The blue resin on the molars is a bite block, also called an occlusal pad.
It temporarily raises the bite so that the front teeth do not touch.
It is not commonly used in front-tooth partial orthodontic treatment, but we proceeded with it considering the patient’s situation and the tight schedule.

24.01
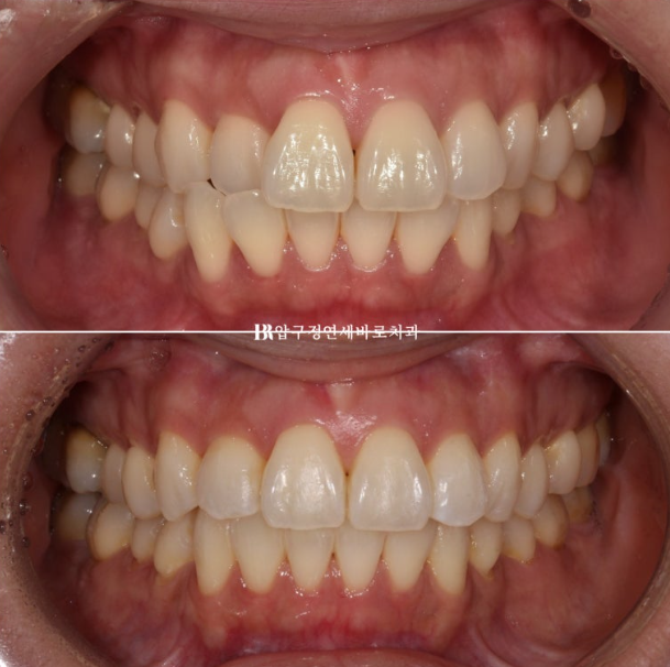
After 4 months of treatment, we finally completed treatment in January 2024.
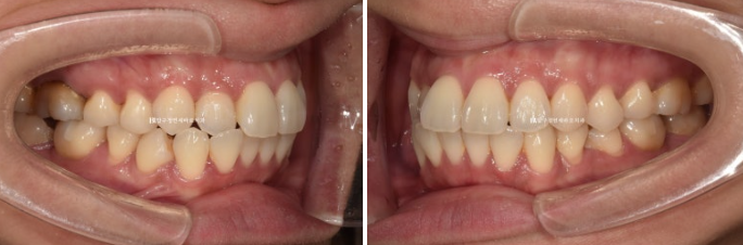
Left - Before treatment / Right - After treatment

23.10~24.01
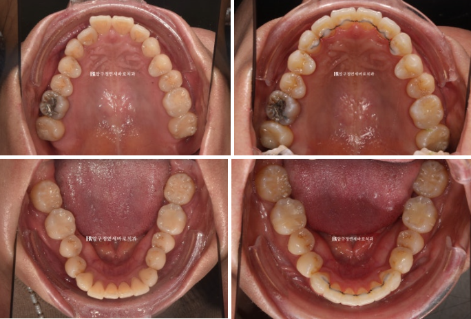
The originally good occlusion was well maintained.
Bite blocks attached to the molars are often used in full orthodontic treatment, but if used for too long, the teeth in that area can become intruded into the bone, causing the bite to open as a side effect.
Because this was short-term partial orthodontic treatment for the front teeth, the bite blocks were used for only 3 months, and after removal, the occlusion in this area remained well maintained.

23.10~24.01
After completing the fixed wire retainer and the removable retainer that can be taken in and out, the patient left the country.
Let’s look at the before-and-after facial photos.

23.10~24.01

23.10~24.01
The treatment was completed successfully, and the patient left the country. They returned after 9 months and visited for a regular checkup.
There were no wire detachments or retainer discomfort, and maintenance had been going well.

