Hello,
This is Yonsei Baro Dental Clinic, an orthodontic clinic in Apgujeong.
Today, we will talk about orthodontic retreatment in middle age.
Q. Is orthodontic retreatment possible in middle age?
A. Yes, it is possible.
Patients in their 40s and 50s can absolutely receive orthodontic treatment, and in cases where they have had previous orthodontic treatment, the alignment and bite are often stable, which makes the treatment goals clear.
However, treatment planning centered on changes in the lips, taking soft tissue aging into account, is important.

2022.09
This is a story about intrusion orthodontics, which makes the face look smaller.
Q. What is intrusion orthodontics?
A. It is not simply moving the teeth backward,
👉 It is orthodontic treatment that moves the entire teeth upward (intrusion).
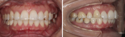
This patient had orthodontic treatment a long time ago.
They are a patient in their 40s who came for orthodontic retreatment in middle age because of protrusion and lip incompetence, where the lips do not close well.
Q. Why does lip incompetence occur?
A. The main cause is protruded front teeth.
When the front teeth are positioned forward, the lips do not naturally close,
so the lips have to be forced to close,
and this often comes with an orange-peel chin.
This patient previously had orthodontic treatment, so the alignment and bite are good.

2022.09
When lip incompetence is present, the mouth does not close comfortably,
and in order to close it so that the teeth are not visible, the upper and lower lips must remain tense, which causes significant discomfort.
Lip incompetence and an orange-peel chin are symptoms caused by the front teeth being positioned forward, making the mouth difficult to close.
With protrusion correction, when the front teeth are moved backward, lip incompetence and the orange-peel chin improve naturally. However, if the degree of protrusion and the chin dimpling are severe, rather than simply moving the front teeth backward, treatment is done through intrusion orthodontics, which lifts the entire dentition from the upper front teeth to the molars upward so that the lips can close more comfortably.
In orthodontic treatment for patients in their 40s and 50s, the main focus is on changes in facial appearance, such as nasolabial folds and lengthening of the philtrum.
Beginning around age 35, when soft tissue aging starts, patients over 35 are at a higher risk than younger patients of having deeper nasolabial folds after extraction-based orthodontic treatment.
Many people preparing for orthodontic treatment worry that their nasolabial folds will look deeper after treatment.
For nasolabial folds to become deeper, the front teeth generally need to be moved back significantly, by 4–5 mm or more, as in extraction-based orthodontic treatment.
In other words, in non-extraction protrusion correction, where the goal is to move the front teeth back by only about 2 mm, issues with nasolabial folds are uncommon.

23.07

23.07
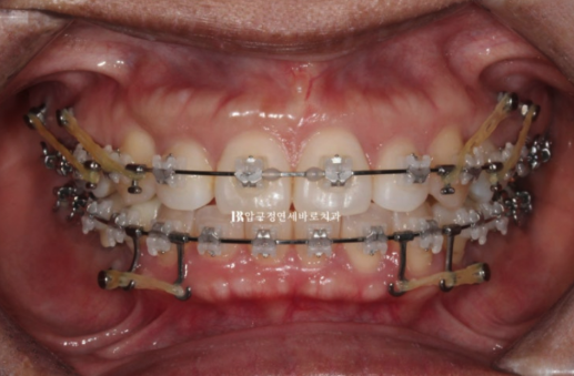
We decided to treat with Clippy-C, and after placing a total of six mini-screws, four in the upper jaw and two in the lower jaw, treatment was carried out.
Below, the entire dentition is being pushed backward, and the upper dentition is being pushed backward while also being moved upward.


22.09~24.04
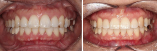
After 1 year and 7 months of treatment, here are the before-and-after comparison photos.
Since the original alignment and bite were good, there is not much difference in the intraoral photos other than improvement in the angle of the protruded front teeth.

22.09~24.04
If you look at the superimposed X-rays before and after treatment, the effect of the retreatment is more clearly visible.
A fairly significant amount of self-rotation of the mandible occurred due to the intrusion and posterior movement of the entire dentition. Although treatment generally aims for about 2 mm, around 3 mm occurred.
The area that appeared to be chin retrusion improved, and the orange-peel chin relaxed, making the line from the lower lip to the chin look more natural.
When self-rotation occurs, the chin tip moves upward, and the vertical length of the lower face looks shorter from the front, making it appear smaller.
Also, due to self-rotation, the chin tip moves forward slightly.
So for chin retrusion with a small lower jaw, intrusion orthodontics is strongly recommended because it also helps resolve the retrusion.
On the other hand, in facial types with a large, developed lower jaw, it is not advisable to recommend intrusion orthodontics because it would make the chin tip protrude further forward, which is undesirable.


22.09~24.04
The most noticeable effect is that protrusion has been corrected, allowing the lips to close comfortably.
The nasolabial folds, which many patients worry about, did not become deeper than they were at the beginning.
If the front teeth had been moved back more than 2–3 mm, the nasolabial folds might have become deeper than they were initially.
All orthodontic treatments produce different results depending on the individual's skeletal structure, dental condition, and soft tissue conditions.
Yonsei Baro Dental Clinic in Apgujeong minimizes side effects through precise diagnosis and establishes treatment plans that also take facial changes into account.

