Hello, this is Apgujeong Yonsei Baro Dental Clinic.
“Is it okay to get laminate veneers even when you’re older?”
“Won’t a lot of tooth structure have to be shaved off?”
Especially for patients in their 50s,
✔ Changes in tooth color
✔ Resin stains
✔ Wear and chipping
✔ Black triangles
These are the kinds of complex concerns that often bring them to the clinic.
Then,
What is the healthiest way to improve the teeth while preserving them as much as possible?
It is no-prep laminate veneers.

24.04~24.08
Q. Is laminate veneer treatment possible even in your 50s?
A. Yes, it is possible.
However, unlike in your 20s or 30s, there may be tooth wear, color changes, and previous treatments (such as resin), so
it is important to plan treatment by considering not just aesthetics, but also function and structure.
Q. Can no-prep laminate veneers be done for anyone?
A. No. There are conditions.
✔ The front teeth should be well aligned
✔ There should not be severe protrusion
✔ There should not be major occlusal interference
Only when these conditions are met can the veneers be made naturally without shaving the teeth.
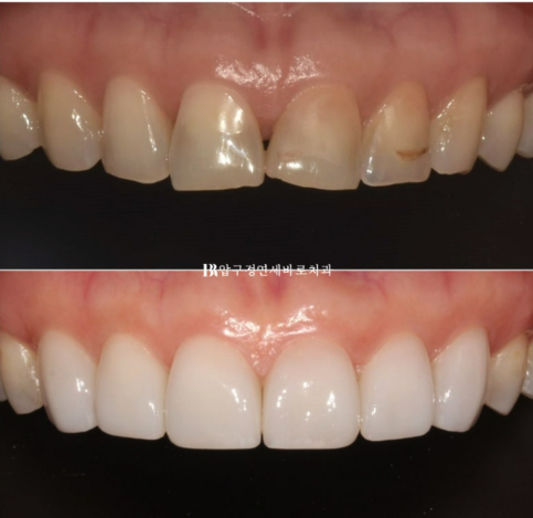
This patient came in to receive no-prep laminate veneers for the front teeth in their 50s.
They wanted to fix the uneven discoloration of the front teeth caused by resin cavity treatments they had received over the years.

24.04
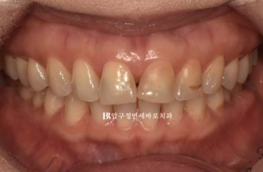
The very center shows a black triangle.

24.04
From a past orthodontic treatment experience, the front teeth are aligned, but the post-orthodontic maintenance was not done well, so the retainers have broken in several places.
The two front teeth are protruding forward from the dental arch.
Then does this mean no-prep laminate veneers are not possible in this condition?
No.
It is possible by reducing the thickness of the two protruding central incisors by shaving them down, or by making the adjacent lateral incisors relatively thicker.
Still, to proceed in the healthiest way for laminate veneers in the 50s, we performed partial orthodontic treatment on only the six front teeth, moved the two protruding central incisors back into their proper position, and then did the no-prep laminate veneers.
That way, protrusion can be prevented and there is no need to shave the teeth.
After the patient understood and agreed, MTA partial orthodontic treatment was performed only on the six upper front teeth.

This is the condition immediately after removal of the orthodontic appliance following 4 months of partial front-tooth orthodontic treatment.
The black triangle is gone, and the tilted tooth axis of the front teeth has improved.

24.08
The two protruding front teeth have also been moved back into place.
Now that the orthodontic treatment is complete, we begin preparing for fitting.

Fitting 24.08
We place mock veneers on the six front teeth and adjust the shape and length.

24.08
This is the result after the final laminate veneer treatment was completed.
The subtle, natural translucency is one of the strengths of Yonsei Baro Dental Clinic’s no-prep laminate veneer, Gelami.

24.08
No-prep Gelami laminate veneers were placed on the six front teeth from canine to canine.
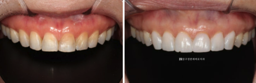
Let’s compare the photos from the initial visit / after 4 months of orthodontic treatment / after Gelami placement.

24.04~24.08
The worn and chipped edges of the teeth have been beautifully covered.
The uneven resin stains have also been concealed.

24.04~24.08

24.04-24.08
The last photo is after Gelami placement.
Even after placement, they are made so thin that there is little difference from the original teeth.
This photo gives an idea of Gelami’s thickness.

24.04-24.08
Q. What are the advantages of no-prep laminate veneers?
A. The key is “preservation.”
No tooth reduction (or minimal reduction)
Maintains the translucency of natural teeth
Covers wear and chipping
Creates more uniform color
Especially in your 50s, this is very important for maintaining the longevity of the teeth.
As teeth age, preservation-focused treatment becomes more important.
It is not simply about making them look “pretty,” but
a treatment that helps create teeth you can use for a long time.
For laminate veneers in your 50s,
rather than shaving them down unconditionally, consider the method first.
Thank you.

