Hello
Hello, this is Apgujeong Yonsei Baro Dental Clinic.
This is the question international students ask most often.
“Can I get orthodontic treatment while I’m only in Korea for a short time?”
“Can it be completed during vacation?”
To give the answer first:
If the conditions are right, it is absolutely possible.
Today, we’d like to introduce an international student front teeth partial orthodontic case that was completed in about 5 months.
International students usually have a long summer vacation.
If you make good use of the time you are in Korea, orthodontic treatment in Korea is possible.
If you need full orthodontic treatment that takes a long time, there is also enough time to order Invisalign aligners and take them with you.
If short-term front teeth partial orthodontic treatment is possible?
There is still enough time for international students to receive short-term front teeth partial orthodontic treatment.
Q. Can international students get orthodontic treatment in Korea?
A. Yes, they can.
Make use of summer and winter vacations
Set up a short-term treatment plan
Proceed with orthodontic treatment according to the departure schedule
Especially when the schedule is clear
An efficient treatment plan can be designed.
Q. Is full orthodontic treatment also possible?
A. Yes, it is.
When Invisalign (clear aligners) is chosen
After the appliance is made, it can be taken when leaving the country and worn later
Even overseas
This is a way to continue treatment.

24.04~24.08
So today, I’d like to introduce an international student orthodontic case.
In April, a friend who is an international student came in for orthodontic treatment.
The planned departure is in early September.
Q. How long did the treatment take?
A. About 5 months.
Started in April
Treatment completed in August
Matched to the September departure schedule
👉 Matching the international student’s schedule
👉 Accurate time planning is the key


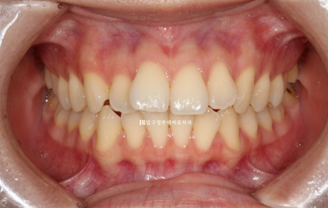
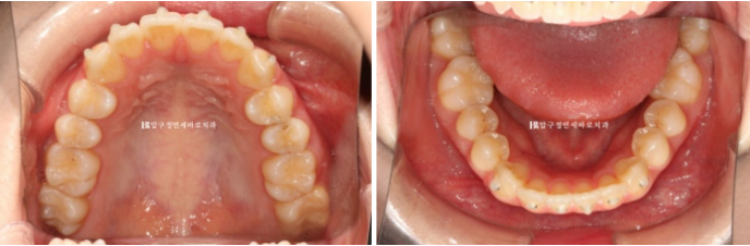
24.04
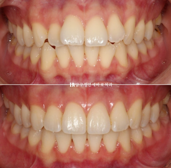
The two front teeth were protruding, and the alignment was uneven.
If Invisalign had been chosen, the appliance could have been made before September, and the patient could have taken the Invisalign aligners when leaving the country.
However, since the molar bite was in good condition, partial orthodontic treatment for the front teeth also seemed possible, so front teeth partial orthodontic treatment was recommended.
Since departure was scheduled for September, orthodontic treatment had to be completed by August.
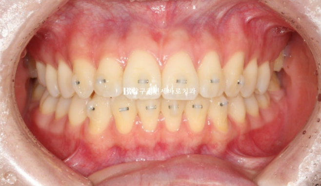
The MTA mini-tube appliance was quickly attached to the six front teeth, and alignment began.
This is what it looked like after two months of alignment.

24.06

24.06
Because the patient was young, the teeth moved well.
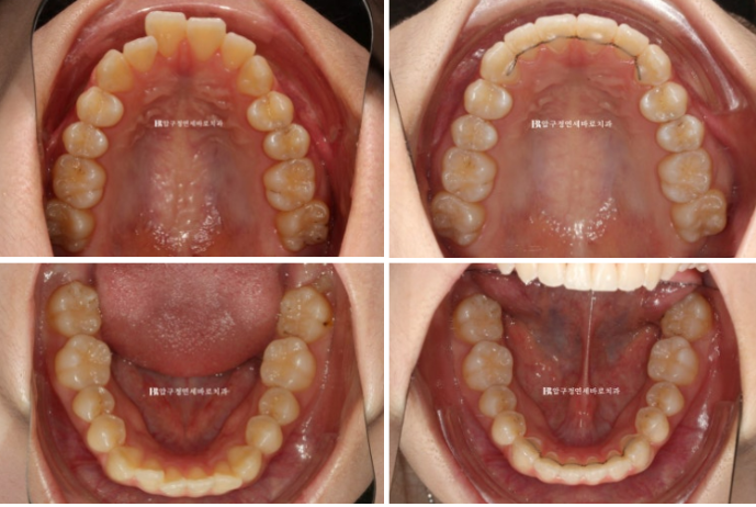
After the finishing process, orthodontic treatment was finally completed in August.
It took about 5 months.

24.08
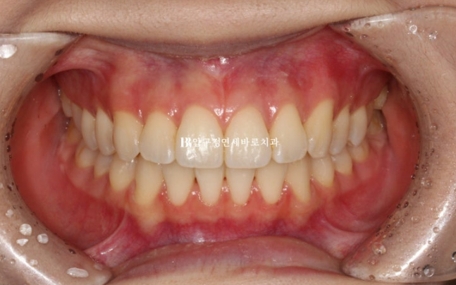
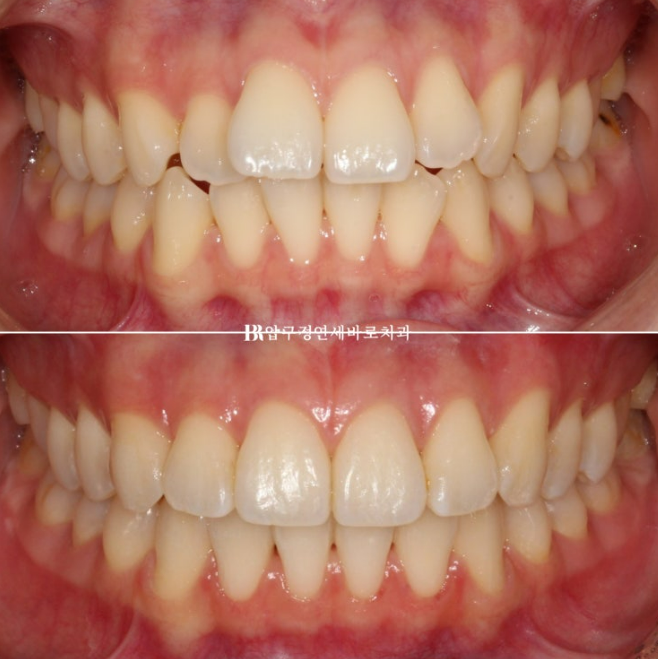
Here is a before-and-after comparison.
The left is the initial examination, and the right is the after-orthodontic photo.
Q. How were the treatment results?
A. Here are the key changes.
Protruded front teeth restored to a normal angle
Improved dental alignment
Midline matched
Existing good bite maintained
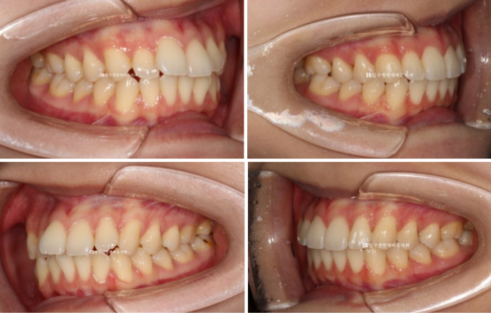
👉 In the end
👉 Aesthetic improvement comparable to full orthodontic treatment

24.04~24.08
The originally good bite was maintained very well, and the protruding front teeth found their normal angle.

24.04~24.08
A fixed wire retainer was also attached.

24.04~24.08
It looks as if full orthodontic treatment was done, with the midline perfectly aligned.

24.04~24.08

24.04~24.08
The period was tight, but the results turned out well.
Considering molar relationships, front tooth angle, and the degree of protrusion around the mouth, we provide the most appropriate and effective orthodontic method based on our experience.
Can international students get short-term orthodontic treatment in Korea? Yes, they can.
The key points of this post are
✔ International students can also get orthodontic treatment in Korea
✔ It is efficient when using vacation periods
✔ Partial orthodontic treatment can be possible within 3–6 months
✔ Invisalign treatment can be continued overseas
✔ Schedule-based treatment planning is the most important
For international student orthodontic treatment
👉 “Time” is the most important factor.
If your departure date is already set
👉 You need to choose the best treatment method for that schedule.
Make use of the time you are in Korea
👉 and receive the most efficient orthodontic treatment.
Thank you.

