Hello,
This is Yonsei Baro Dental Clinic in Apgujeong.
When people come in for an Invisalign consultation, they often hear things like:
“Lite won’t work for this.”
“You need full orthodontic treatment.”
But for the same case,
one clinic says it’s possible, while another says it’s not.
Why does this difference happen?
Today,
I’ll explain through a real case in which deep bite and an occlusal plane issue were resolved with Invisalign Lite.
Invisalign Lite is a program designed for short-term partial orthodontic treatment within Invisalign, and it is used for malocclusions that can be corrected within 14 aligners.
Even for the same type of malocclusion, whether it can be resolved within 14 aligners depends on the doctor’s treatment experience and know-how.
You may wonder why another clinic says this case cannot be treated with Invisalign Lite, while we say it can.
For those who are curious, we collect treatment cases twice a year and produce a case book that we keep in the waiting room.
We believe that looking at treatment results from patients with similar malocclusions will help you choose a dental clinic.
Why do clinics differ in whether treatment is possible?
A. Because of differences in treatment strategy.
Simple aligner use vs. use of auxiliary devices
Differences in movement range planning
Ability to interpret the case
Even with the same case,
the result changes depending on how it is designed.
I’ll talk about how we corrected the tilted occlusal plane and deep bite with Invisalign Lite.

24.02
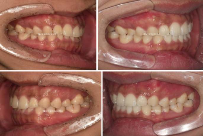
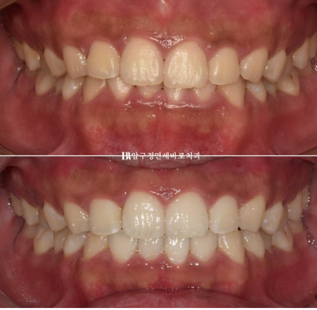
When smiling, the left teeth appear to come down lower.
The patient came in for orthodontic treatment for that reason.
When the upper teeth cover the lower teeth too much, it is called a deep bite.
The lower teeth are barely visible.

In the actual smiling photo, you can see that the occlusal plane is tilted.
The patient’s left teeth are positioned lower.

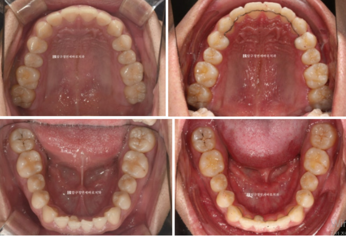
24.02
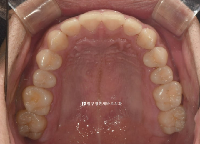
The upper teeth are aligned,

24.02
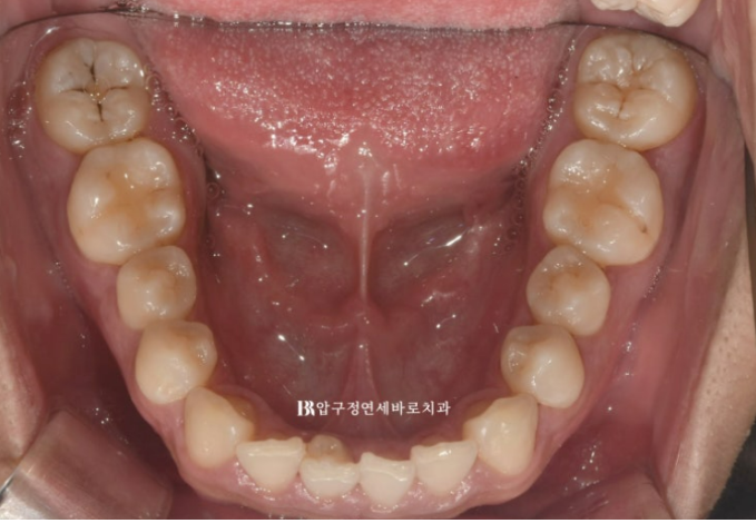
but one of the lower front teeth is crooked.
In particular, one of the lower front teeth shows an abnormal tooth shape.
The protruding part at the back is part of the tooth.
We decided to improve the tilted occlusal plane and deep bite with Invisalign Lite.
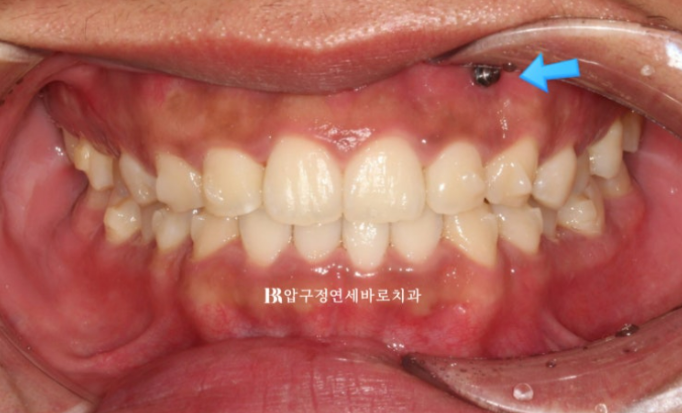
To resolve all of these issues within 14 aligners, it would be good to place one orthodontic mini-screw and use elastics as well.
The Invisalign aligners arrived in March 2024, and treatment began at that time with aligner wear.

24.07
The bite after wearing all 14 aligners for 4 months.
The patient diligently wore the elastics in the blue-arrow area, and over 4 months the tilted occlusal plane and deep bite were successfully corrected.

24.07
When smiling, one side no longer appears to come down lower.
The result was good and the patient was satisfied, so treatment was completed without remaking the aligners.

24.02-24.07
As the deep bite was relieved, the lower teeth are now visible when biting down.

24.02-24.07
The crooked front teeth became aligned, and a wire retainer was made to match the area of the abnormal lower front tooth.
A fixed retainer is essential.

24.02~24.07
These are the changes over 4 months with Invisalign Lite.
The patient’s excellent cooperation, the use of orthodontic mini-screws,
and an appropriate treatment plan created good results in a short period.

24.02~24.07
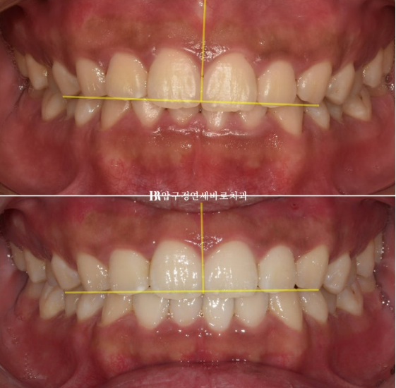
If you draw a reference line, the improvement in the occlusal plane tilt becomes even easier to see.

24.02~24.07
Please smile brighter from now on.
For those who are worried that orthodontic treatment will take a long time, or who feel burdened by braces,
there is Invisalign, a clear aligner system.
And there are also orthodontic treatments that take less time than you might expect, so please start with a consultation.
Orthodontics is about
not so much whether “this appliance works or not,”
but more about how it is designed.
If you are wondering whether Lite is possible,
please check through an in-person consultation.
In many cases,
it can be resolved in a surprisingly short period of time.
To summarize this post:
✔ Invisalign Lite = short-term orthodontic treatment within 14 aligners
✔ Whether it is possible depends on the “case + design ability”
✔ The treatment range can be expanded when auxiliary devices are used
✔ The bite can be improved in about 4 months
✔ Patient cooperation has a major impact on the result
I hope this post was helpful.

