Hello,
This is Apgujeong Yonsei Baro Dental Clinic.
Let me introduce no-prep laminate veneers.
Today, I’ll show you a case in which a patient in their 50s first underwent limited front teeth orthodontics and then finished with no-prep laminate veneers, Gelami.
Q1. Is orthodontics + veneers possible even in your 50s?
Yes, it is.
This case involved a model in their late 50s,
and it is an example of improving both front tooth alignment problems and severe overbite at the same time.
Rather than doing veneers alone,
the key was to first correct the tooth position with limited front teeth orthodontics,
and then finish with no-prep laminate veneers.
As a result, we achieved both naturalness and functional improvement at the same time.

23.09~24.08
I’ll show you how the healthiest and most aesthetically complete treatment result was achieved through the combination of limited front teeth orthodontics and no-prep laminate veneers, Gelami.
The patient wanted orthodontic treatment because the two front teeth were lowered and the teeth were spaced apart.

23.09
This patient is in their late 50s and works as a senior model.
Because the two front teeth were significantly lowered, the overbite was severe.

When there is an overbite, every time you bite down, the lower front teeth push the upper front teeth from back to front, causing the space between the upper front teeth to gradually widen and the teeth to protrude forward.

23.09
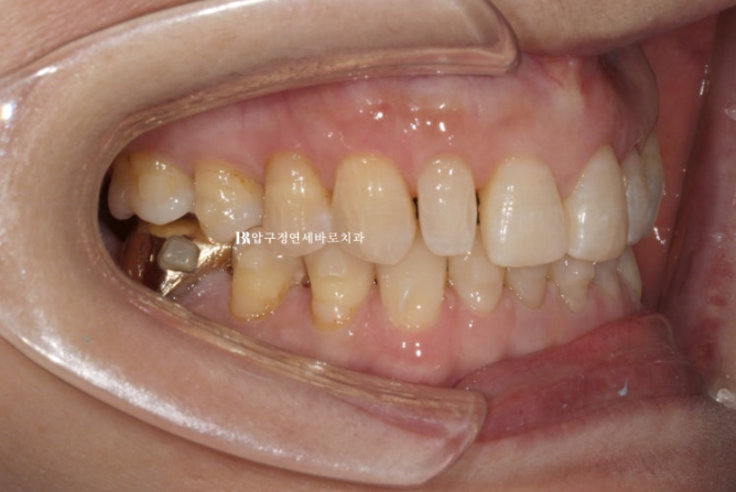
The blue arrow indicates a peg lateral tooth.
On one side, resin had been attached temporarily to fill the gap.
Since orthodontic treatment was planned, the resin used to fill the space was removed, and a scan was taken to make the appliance.

23.09
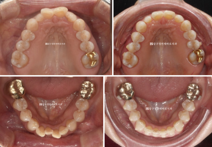
The lower teeth were also crooked.
Originally, after orthodontic treatment, only the peg lateral tooth was to have its size restored with veneers, but later it was decided to place no-prep laminate veneers on all eight front teeth.
There is also wire braces, but since the patient is a model, I recommended Invisalign Lite, a clear aligner, so it would not interfere with daily life.

24.01
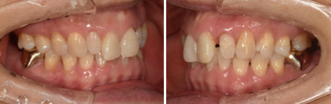
This is what the patient looked like during the first set of treatment.
If you look closely, you can see that the aligner is not fitting closely around the peg lateral teeth on both sides.
The reasons for the mismatch between the attachments and the aligner are as follows.
Either
the aligner was not worn diligently,
or it was worn diligently but not seated properly,
or it was worn very well but, due to various factors, the force was not transmitted properly to the teeth.
There are many causes for reason 3, including cases where the tooth height is short, or where the tooth width is small from side to side, as with peg lateral teeth or lower front teeth.
The flatter the tooth and the greater its width, the more surface area is covered by Invisalign.
Rotation or extrusion are movements that are difficult to achieve well with Invisalign.
The larger the area covering the tooth, the better the force transfer, and the better rotation or extrusion works.
However, if the width is small and the tooth is close to cylindrical rather than flat, then?
Rotation or extrusion becomes difficult.
That is why rotation and vertical control often do not work well in peg lateral incisors or lower front teeth.
This is why, even for similar malocclusions, the appliance I recommend differs depending on each person’s tooth shape.
In this patient as well, the aligner did not grasp the peg lateral tooth well.
That part was corrected again with the additional appliance.

24.03

24.03
The alignment improved by about 60%.
To achieve the remaining 40%, additional appliance fabrication began in March 2024.
After ordering the additional appliance, it takes one month to receive it.
During that month, the last set of 14 aligners was kept in place only while sleeping.
Additional appliance treatment began in April 2024, and after wearing 14 more aligners allowed by Invisalign Lite over the next four months, orthodontic treatment was finally completed in August.

The lowered front teeth returned to their proper position, and the overbite improved significantly.
For the no-prep laminate veneers, the attachments were first removed from the upper front eight teeth.

23.09~24.03
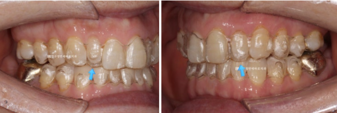
The alignment was well established.

24.08
Do you see the space on both sides of the peg lateral tooth?
The intended space for restoring the tooth size was successfully created.
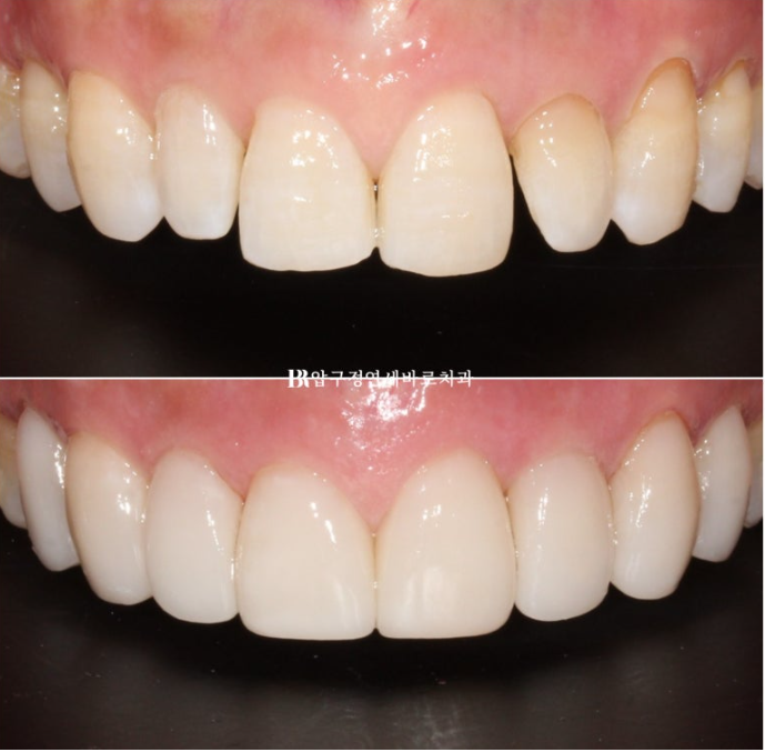
After waiting 10 days for the no-prep laminate veneers, Gelami, to be fabricated, they were finally attached to the upper front eight teeth.
If teeth whitening is done right before attaching Gelami, the original yellowish tooth color can be minimized from showing through.
This patient also had teeth whitening right before Gelami was attached to lighten the base color.

24.08

24.08
To match the patient’s desire for naturalness, the tooth shapes were designed to exclude artificial elements as much as possible.
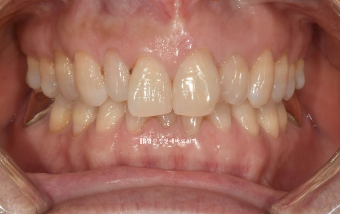
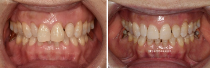
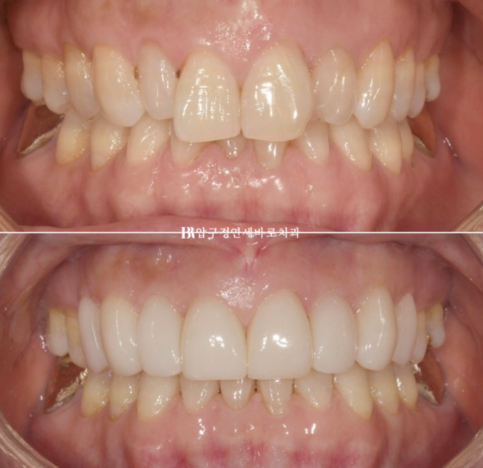
Here is a comparison of the before-treatment and after-treatment photos, including Gelami.

23.09~24.08

23.09~24.08

Who would think this patient is in their 50s?
The teeth and smile look like they’re in their 20s, right?

23.09~24.08
Just as wrinkles increase on the face, our teeth also show their age quite clearly.
The gums gradually recede, and there are more craze lines in the teeth.
There is also more wear, chipping, and darkening in color.

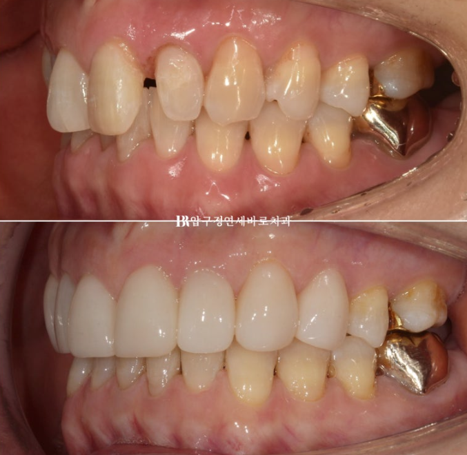
This photo lets you check the thickness of Gelami.
Even though it is no-prep, the teeth do not feel thicker than before.
Thank you.

