Hello, this is Apgujeong Yonsei Baro Dental Clinic.
When people in their 40s or 50s think about orthodontic treatment,
this is often the biggest reason they hesitate.
👉 “I heard orthodontics makes your gums recede...”
👉 “Won’t there be side effects?”
Especially,
👉 there is a lot of concern about black triangles (dark spaces between teeth).
But on the other hand,
👉 there are also cases where orthodontics actually improves black triangles.
Today,
👉 I’d like to introduce a real case where black triangles were improved through partial orthodontic treatment of the front teeth in a patient in their 40s.

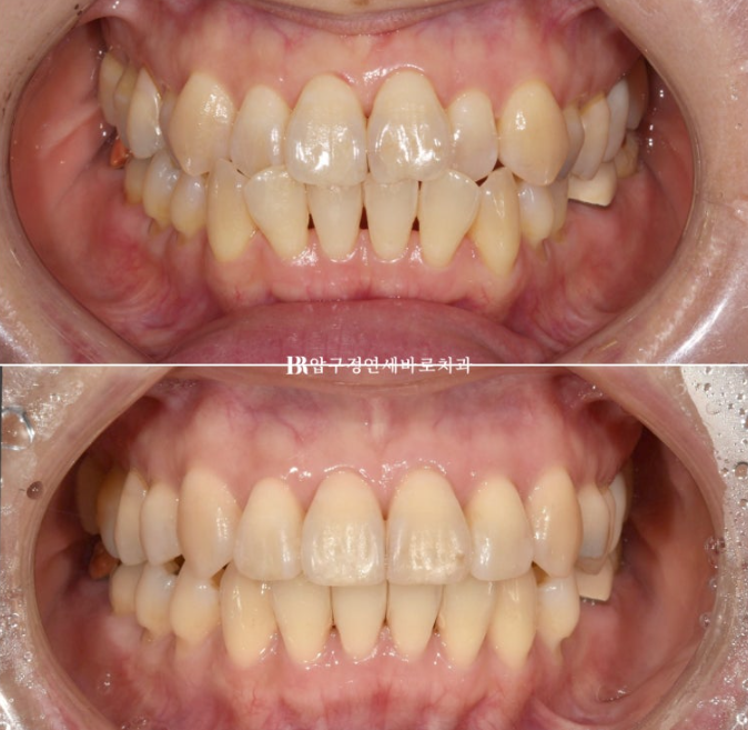
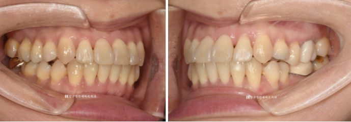
23.06~24.01
But there is also orthodontic treatment that can actually remove these black triangles.
Today’s orthodontic case is for someone in their 40s.
I’ll introduce partial orthodontic treatment for the front teeth in your 40s.
Q. Is orthodontic treatment possible in your 40s?
A. Absolutely.
✔ More important than age is gum health
✔ Tooth movement is possible in adults too
👉 However,
👉 a precise plan that takes gum health into account is important.

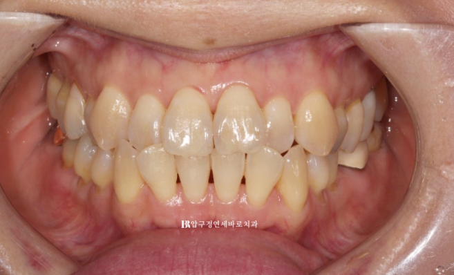
23.06
This patient came in because they wanted to straighten crooked front teeth.
They had never had orthodontic treatment, but there was a black triangle caused by gum recession on the lower front teeth.

23.06
There was also a canines being crowded out of alignment and a crossbite where the bite was reversed.
There were issues in the molar area as well, but due to several circumstances such as treatment time and inconvenience, the patient decided to give up correcting the molar bite and chose partial orthodontic treatment with appliances only on the front teeth.
Partial orthodontic treatment for the front teeth usually does not exceed 6 months.

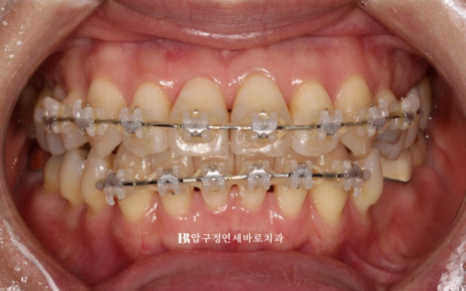
23.07
The patient said it would not be a big issue if the appliances were visible, so we recommended Clippy C appliances.

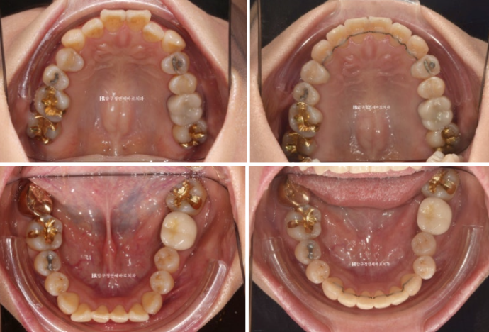
23.11
This is what things looked like 5 months after treatment started.
The midline not matching is a limitation of partial orthodontic treatment, but we balanced the amount of interproximal reduction differently on the left and right to match it as much as possible, and in the finishing stage we reduced the black triangle further through interproximal reduction.

23.11
There are cases where partial orthodontic treatment requires even more work than full orthodontic treatment.
In particular, when space forms behind the last appliance, that area needs to be addressed.
To close the open space, rubber band hooks are sometimes attached to the molars.
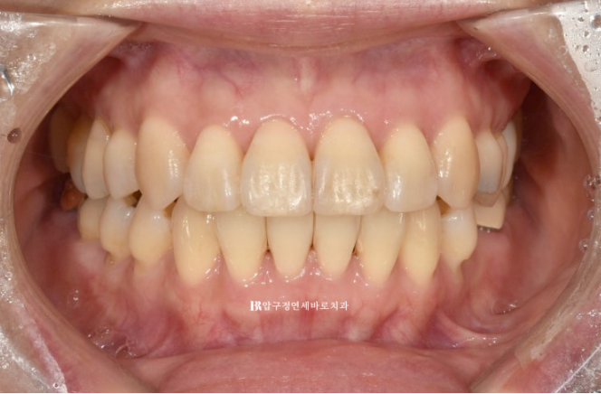
And this month, treatment finally came to an end.

24.01
It took exactly 6 months from appliance placement to removal.
The midline was almost aligned, and the black triangles had disappeared.

24.01

23.06~24.01
The retainers were also placed neatly.

23.06~24.01
Even if only the teeth improve, the shape of your mouth when you smile changes.
Q. Does orthodontic treatment make the gums recede?
A. Not necessarily.
This is one of the most common misunderstandings.
✔ A situation where spaces become visible as the teeth are straightened
✔ Feeling like the gums have receded because of it
👉 In reality,
👉 it is often just that black triangles have become visible.

I’ll end this post with some of the questions many people ask.
Q. Can black triangles be improved with orthodontic treatment?
A. Yes.
✔ Aligning the teeth
✔ Interproximal reduction (IPR)
✔ Adjusting the contact point position
👉 With an appropriate design,
👉 the spaces can actually be reduced.
✔ Orthodontic treatment in your 40s is fully possible
✔ “Gum recession” = mostly a misunderstanding of black triangles
✔ It can actually be improved with orthodontic treatment
✔ Partial orthodontic treatment can be completed in about 6 months
✔ Precise finishing determines the result
Orthodontic treatment is
👉 not just about making teeth straight
👉 it is treatment that changes your impression as well.
If you are worried about side effects,
👉 start with an accurate diagnosis.
You may find that it can be improved
👉 more safely and more naturally than you expected.
Thank you.

