Hello, this is Apgujeong Yonsei Baro Dental Clinic.
Even when the teeth are aligned,
“Something feels awkward when I smile”
“My smile doesn’t look pretty in photos”
There are people who have concerns like these.
The reason may not simply be tooth alignment,
but the smile line.
Today, we’d like to introduce a real case in which a natural and beautiful smile line was created with no-prep laminates.

24.01
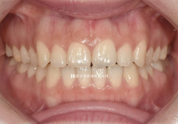
This patient visited for no-prep laminate treatment.

They had already completed orthodontic treatment a long time ago.
The retainer attached after orthodontic treatment came off, and the front teeth have become spaced apart.

24.01
The key point in this patient’s treatment is the smile line.
Q. What is a smile line?
A. It refers to the curve formed by connecting the edges of the upper front teeth visible when smiling.
Simply put,
it is the line of a smile created by the ends of the teeth.

Sometimes, if this smile line is flat like the one above or curved in the opposite direction, the smile looks awkward.
As in the image below, the smile looks most beautiful when the smile line is parallel to the lower lip.
(This is also covered in undergraduate dental school textbooks.)

Let’s look at the patient’s smile line.
The line connecting the teeth is straight.
This is called a reverse flat smile.
It feels awkward when smiling.
When making no-prep laminates, it is better to create a beautiful smile line by adjusting the lengths of the front teeth, lateral teeth, and canines.
Q. What does an unattractive smile line look like?
A. There are representative forms like these.
A line that is too straight and flat
A reverse smile line that curves upward
In such cases,
it can give a stiff or awkward impression when smiling.

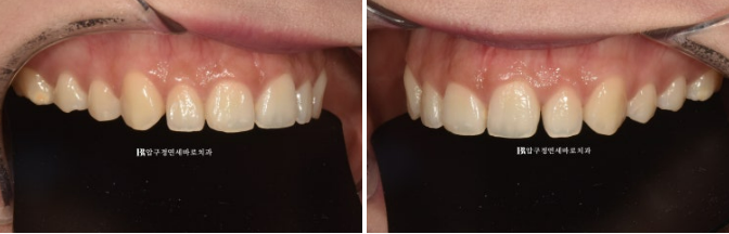
24.01
Fortunately, because the patient had undergone orthodontic treatment before and had a retainer in place, there was spacing, but the teeth were aligned, so we were able to proceed directly with preparation for no-prep laminate fitting.
We decided to proceed with a total of 8 no-prep laminate Gelami restorations on the upper teeth, up to the premolars behind the canines.

24.01
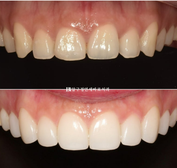
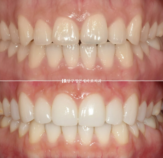
It is noticeable that the two central incisors have been lengthened.

24.01
If the two central incisors are made longer and the lengths are made as short as possible toward the canines, the smile line can be changed.
From the existing flat feeling, it can be changed into a beautiful curve parallel to the lower lip.
With just the smile line, it already looks natural and beautiful when smiling, right?
On the fitting day, in addition to fine-tuning the smile line in detail, we also reflected the patient’s preference for the degree of roundness of the tooth edges before proceeding with the final laminate fabrication.
The patient wanted a slightly more rounded feel than the fitted tooth shape, so the final shape of the actual laminates is as follows.

24.01~24.02
No-prep laminate Gelami is performed 100% without removal, without anesthesia, and without temporary teeth.
Isn’t it just called no-prep, but actually minimal prep is done..?
No. Apgujeong Yonsei Baro Dental Clinic’s no-prep laminate Gelami is truly no-prep laminate.
We place the highest priority on the natural shape and tone of the teeth.

24.01~24.02
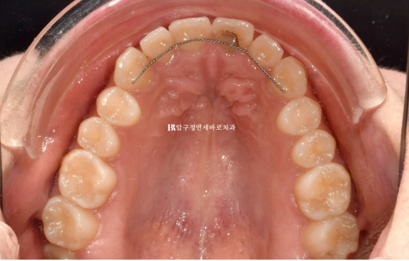
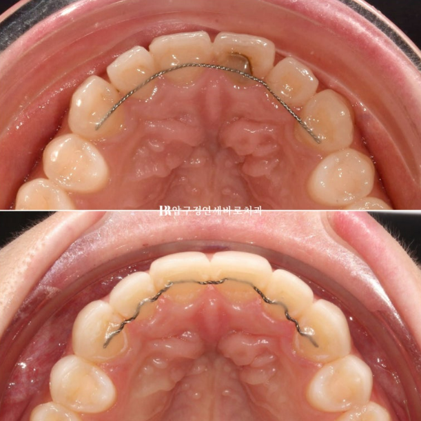
Let’s compare occlusal surface photos so you can get a sense of how thin Gelami is.
The image above is the initial visit, and the one below shows all 8 teeth fitted with no-prep laminates without any removal.
The fact that there is no noticeable difference in thickness shows how thin Gelami is.
At the thinnest point, it can be reproduced down to 0.1 mm.

24.01~24.02
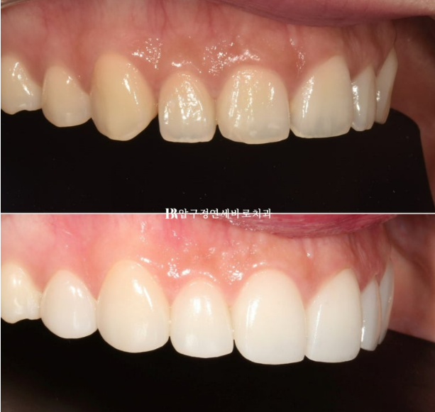
The spaces between the teeth were filled with laminates.
The canines were made to preserve the existing tooth length as much as possible, and from the lateral incisors toward the front teeth, the vertical length was gradually increased,
recreating a smile line with a gentle curved arc downward.
If you look at the front before-and-after photos, the change in the smile line is even clearer.

24.01~24.02
Shall we draw the smile line?

24.01~24.02
A natural smile line changes the impression.

24.01~24.02
A smile line parallel to the lower lip

24.01~24.02
Many people worry that if no-prep laminates are done only on the upper teeth, the color difference from the lower teeth may be too noticeable.
It depends on the patient’s natural tooth color, but for people whose original teeth are not dark, whitening the lower teeth alone can make them blend in well with almost no noticeable difference in tone.
✔ A beautiful smile is not completed by tooth alignment alone
✔ The smile line greatly affects the impression
✔ The curve can be adjusted with no-prep laminates
✔ Improvement is possible naturally without tooth reduction
✔ Front tooth spacing + smile line can be improved at the same time
If your teeth are aligned
but your smile feels lacking,
the problem may not be the alignment,
but the smile line.
A natural and refined smile
may be possible even without shaving the teeth.
Thank you.

