I want to get implants for my mother,
where and how should I do it
so that people will say I did a good job?
For children, it can be hard to decide between wanting to repay their parents and worrying about treatment costs.
Among these, some people focus only on whether health insurance covers implants or on implant costs,
but then end up not being satisfied with the treatment results.

Hello.
We are Smiledi Dental Clinic, with 18 years of accident-free practice.
Today, for those considering implant costs, we will cover the following two topics.
-
Health insurance implant coverage criteria
-
Two criteria for choosing a clinic that really does implants properly
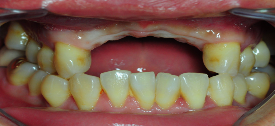
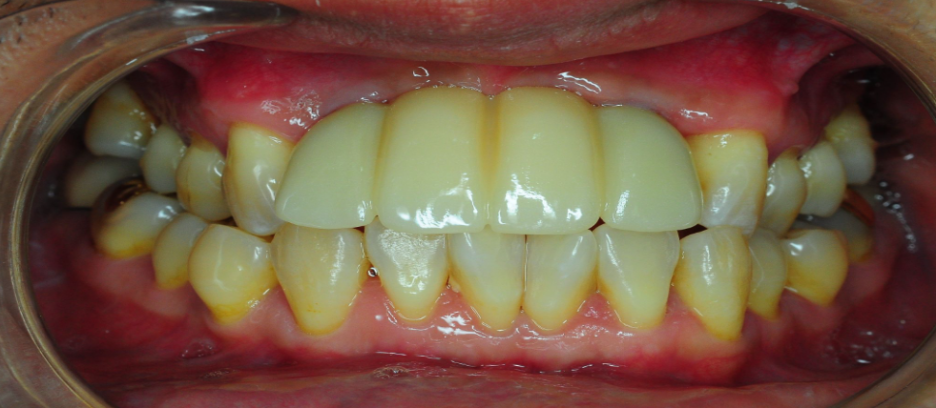
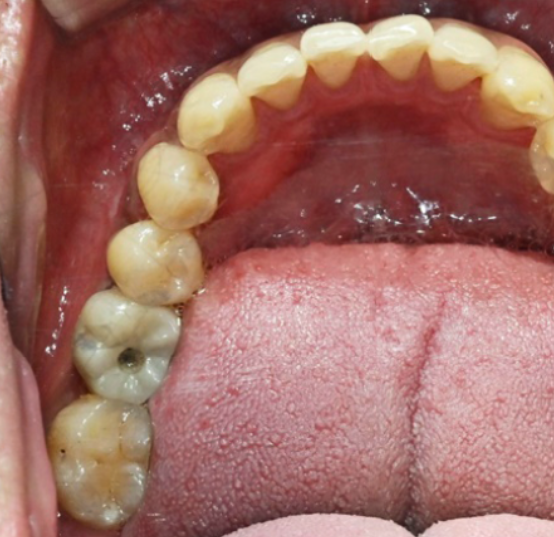
[Some of Smiledi’s implant cases]


Treatment period: 2023.12.25–2024.06.28 (about 6 months)
Treatment performed: Inflammation treatment after extraction, bone grafting, placement of 2 implants, then bridge


Treatment period: 2024.11.03–2024.12.03 (about 1 month)
Treatment performed: Implant after extraction
*Before-and-after photos were posted with the patient's consent, and the photos were taken under the same environment and conditions.
[Smiledi Dental Clinic Information]
| ☎️ Smiledi Dental Clinic Phone Number |
|---|
| 0507-1449-2087 |
| ℹ️ Smiledi Dental Clinic Website |
|---|
| Official website |
| 🎥 Smiledi Dental Clinic YouTube |
|---|
| YouTube |
Who can receive
health insurance implant benefits?
Implant costs
First, let’s address the part many people are most curious about.
Does health insurance cover implants for me too?
To put it simply,
if you are 65 or older and have completely lost a tooth, it is possible.

However, there are a few conditions.
-
Health insurance implant coverage applies to only two implants in a lifetime. (one in the upper jaw, one in the lower jaw)
-
Even with health insurance coverage, about 30% of the implant cost remains as out-of-pocket expense.
-
Also, those with a completely edentulous state are excluded from support.
In fact, many people expect it to be automatically cheap because insurance applies,
but in reality, if you do not properly understand and prepare everything from diagnosis to materials, additional costs can arise.
Any of the following dental implant procedures for those aged 65 or older are entirely non-covered
-
When performed on patients with complete edentulism
-
When placed through the maxilla into the zygomatic bone
-
When performed using one-piece implant materials
-
When prosthetic restorative materials other than a non-precious metal porcelain-fused-to-metal crown (PFM crown) are used
In particular, when bone grafting or gum grafting is needed, items outside insurance coverage may be included.
That is why, for first-time patients, we do not simply check whether insurance applies,
but instead provide only the treatment that is truly necessary after a precise diagnosis of the entire oral condition.

The two things
that a proper implant clinic must do
Implant costs
An implant is not something you do once and it’s over.
How it is placed at the beginning determines the treatment cost 5 or 10 years later.
That is why, rather than simply relying on insurance coverage and looking for the cheapest place,
the accuracy of the initial surgery and the medical team’s experience are much more important.
There are many dental clinics, and everyone says they are “good,”
but a place that truly does implants properly always follows three things.

First, implants last longer when placed after accurately assessing the bone condition.
Implants must be inserted safely and in a way that matches your jawbone so they can be used for a long time without problems.
That is why, before surgery, a 3D CT scan is performed
and accurately identifying the amount and density of bone, as well as the location of nerves, is most important.
If implants are placed carelessly without such precise diagnosis,
they may not properly bond with the bone and become loose,
or nerve contact in the jaw may cause sensory abnormalities,
leading to various problems.

Second, who places the implant is also important.
Even with the same materials and equipment, the results can differ.
Since implants are placed by people,
make sure the procedure is directly performed by medical staff with abundant surgical experience,
especially medical staff who have experience with thousands of cases.

Lastly, check whether the assigned medical staff personally handles the treatment from start to finish.
At some clinics, the consultation is handled by a consultation manager,
the diagnosis by the director,
and the surgery by another outside director.
In such cases, the consistency of the treatment process is reduced, and patients inevitably feel uneasy.
The person who makes the accurate diagnosis should also perform the surgery directly,
and the same medical staff should continue managing the patient after surgery.
I believe that is the basic standard of a place you can trust and leave things to.
And implant treatment does not end once it is placed,
it can be used for a long time only with continuous care and follow-up checks.
You should also check whether there is a well-established regular checkup system and implant warranty policy.
Implant treatment results vary depending on where and how you receive it.
If you are considering implants for your parents,
rather than focusing only on implant costs or whether health insurance covers implants,
start by getting a proper diagnosis and explanation first.
So that patients can understand comfortably,
we will explain it directly,
and the medical staff will stay with you until the end.
This has been Oh Soo-hwan, chief director of Smiledi Dental Clinic.
