When you fact-check the cost of laminates and before-and-after laminates
Are you considering a laminate procedure?
I just want to make my front teeth look nice.
Is it okay to get it done at a place with a cheap laminate cost?
If you’ve been thinking this way, you’ve come to the right place.

Hello.
I’m Oh Suhwan, the chief director of Smile D Dental Clinic, and I have treated patients for 18 years without a single medical accident.
For a more natural and beautiful smile,
many people consider laminates.
Usually, the cost of laminates ranges from the high 200,000 won per tooth to around 600,000 won.
The laminate cost can vary significantly depending on the materials used, the difficulty of the procedure, and the clinic’s system.
So is it okay to choose a dental clinic based on price alone?
Absolutely not.
In fact, I have seen quite a few people who suffer for life from sensitivity and pain due to wrong diagnosis and treatment.
If you got it done cheaply but feel a foreign-body sensation and can’t even eat soft foods like tofu...
What good are white, pretty teeth?
I don’t want you to make a rash decision just by looking at before-and-after laminate photos,
so I’ll organize the key points you must know before the procedure.
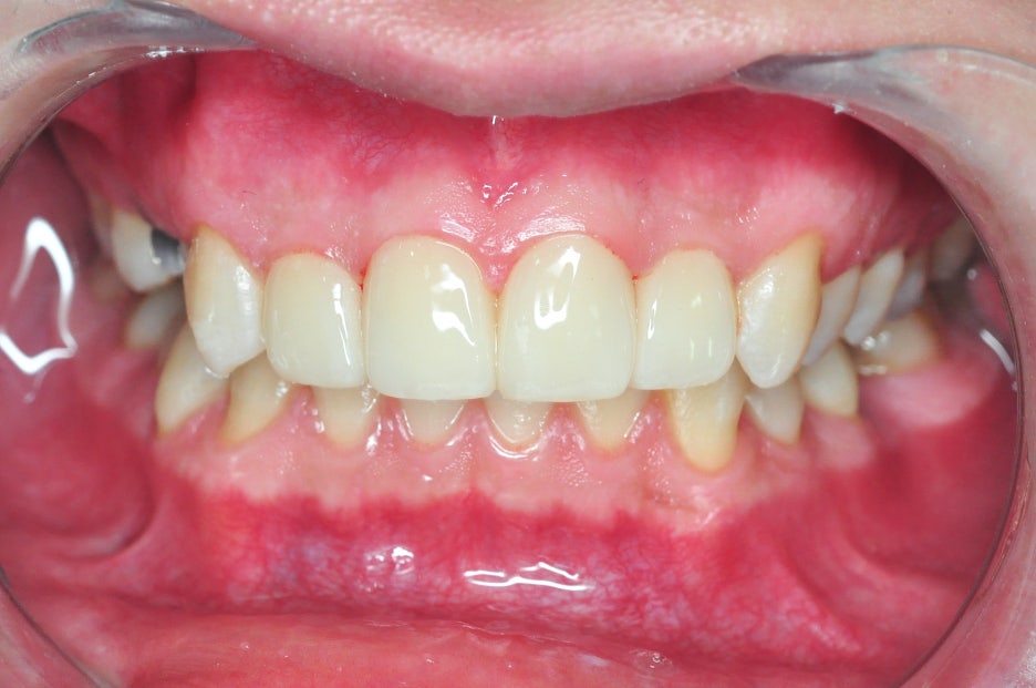
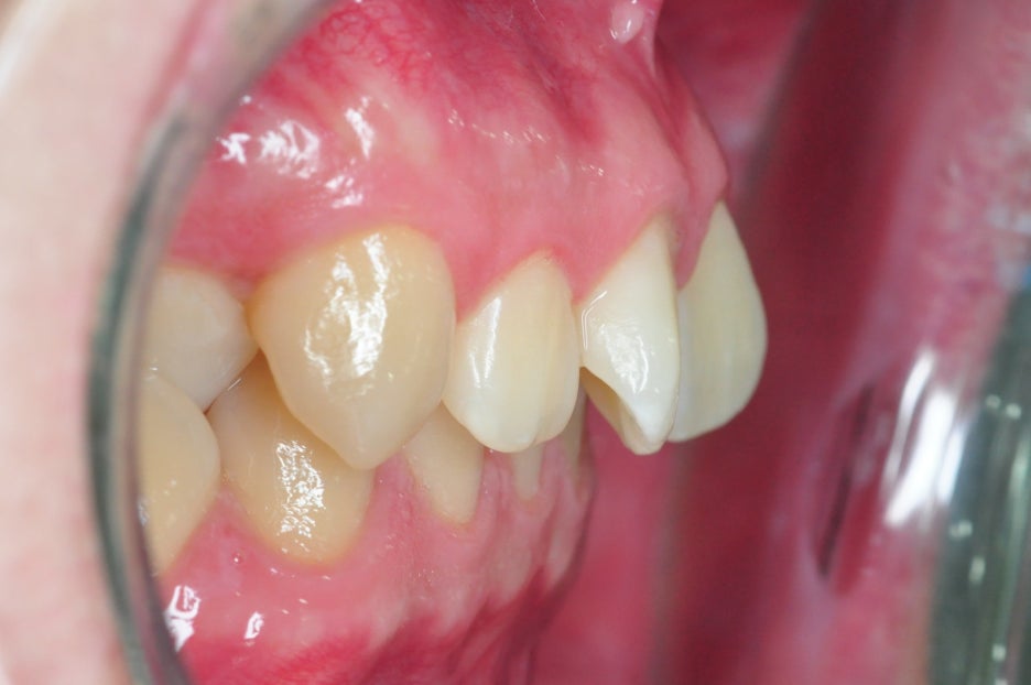
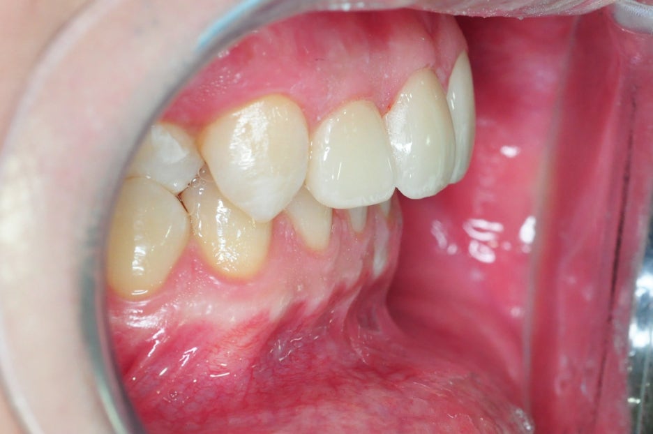
<Before-and-after laminate photos>
Before laminate treatment with minimal removal
After laminate treatment with minimal removal
*Treatment period: 24.7.02-24.07.11
*Treatment period: 24.4.15-24.04.25
*The before-and-after photos were posted with the patient’s consent and were taken under the same environment and conditions.
*Side effects such as pain, gum inflammation, and root damage may occur, and these side effects may vary depending on the individual’s constitution or condition.
[Smile D Dental Clinic Information]
| ☎️ Smile D Dental Clinic phone number |
|---|
| 0507-1449-2087 |
| ℹ️ Smile D Dental Clinic website |
|---|
| Official website |
| 🎥 Smile D Dental Clinic YouTube |
|---|
| YouTube |
What you should look at first,
before the cost of laminates, is OO
Laminates involve shaving the tooth surface thinly,
and then attaching a porcelain prosthetic material on top to improve the shape and color of the teeth.

But once a tooth has been shaved or removed like this, it cannot be restored.
So it can be really dangerous to simply shave down the front teeth because they look unattractive,
or to take an approach of applying laminates to the six front teeth unconditionally.
If too much tooth is removed close to the nerve during the procedure, it can cause pain and sensitivity,
and it may also strain the nerve and lead to side effects such as difficulty eating.

So the key to laminate treatment is removing as little tooth structure as possible.
The first thing to do for that is an accurate diagnosis.
At Smile D, during the first visit,
we carefully check the patient’s tooth alignment, bite, enamel thickness, and even tooth shade.
After that, we determine the minimum removal range within the enamel and begin making the prosthetic material.
Be sure to check whether the clinic has a collaborative treatment system
The next important thing is a collaborative treatment system.
Although laminates may look simple, in reality they require the perspective of multiple departments.
Let me give you an example.
Among our patients, there was someone who wanted laminates because their front teeth looked protruded.
At another dental clinic, they were told to shave all six front teeth and proceed with laminates.
However, when we checked the bite condition,
the patient’s bite itself was unstable.
In cases like this, the problem cannot be solved with laminates alone.
A surface-shaving approach does not improve the bite,
and after laminates, it can even have the opposite effect of making the smile look unnatural.
This is where a collaborative treatment system becomes important.

By collaborating with the orthodontic director,
we analyze the patient’s smile line and jaw position comprehensively,
and if needed, we create a plan that combines partial orthodontic treatment and laminates so the patient can be satisfied.
So don’t decide based only on before-and-after laminate photos,
and take a look at how thoroughly the diagnosis is made and how delicately the improvements are being carried out.
Let’s go back to the beginning.
Where and how should you get laminates?
I always tell my patients this:
"There are many things much more important than the cost of laminates."
Whether the diagnosis is accurate
Whether the principle of minimal removal is followed
Whether there is a collaborative treatment system
Whether the medical staff have enough clinical experience
Whether post-treatment care continues in a systematic way
If these five things are truly in place, the laminate cost will not feel wasted.
I think a truly cost-effective procedure is one that gives you a satisfying result the first time,
so you don’t have to start over.
At Smile D, we have treated a wide variety of cases for many patients over the past 18 years,
and we have tried to provide the safest and most natural laminates possible.
Please visit us and get a consultation.
Even through consultation alone, we can help you find the direction you truly need.
This has been Oh Suhwan, chief director of Smile D Dental Clinic.
